Walter Liese es profesor emérito
del Instituto de Biología de la Madera,
Universidad de Hamburgo, Alemania.
Además de las innovaciones en la elaboración, un mejor conocimiento de las características estructurales y de las diferencias entre especies puede ayudar a promover la utilización futura del rotén.
El proceso de elaboración es fundamental para la industria y la utilización del rotén. El rotén se elabora en diversos niveles de competencia e intensidad: como empresa familiar rural, en fábricas pequeñas y medianas y por compañías mayores.
Los tratamientos después de la recolección -secado, curación en aceite, blanqueo, descamado para retirar la epidermis silícea y fumigación- son necesarios para evitar defectos y aumentar las posibilidades de elaboración y el valor de mercado. La calidad y el valor del producto en los mercados locales e internacionales condicionan la elección de métodos de elaboración.
Este artículo resume los progresos realizados en los últimos 20 años y señalan las deficiencias y limitaciones existentes. Se formulan algunas observaciones derivadas del trabajo de laboratorio sobre características estructurales del rotén como material, que pueden influir sobre su utilización futura y sobre la selección de especies para su utilización comercial.
Tallos de rotén secándose al aire en Kalimantan, Indonesia
- W. LIESE

Es necesario secar debidamente los tallos de rotén para mantener la alta calidad del producto. El contenido de humedad de los tallos frescos varía entre el 130 y el 160 por ciento, aumentando desde la base hacia arriba.
El secado tiene que empezar en el bosque. Tradicionalmente haces de 20 a 30 piezas se mantienen en posición erecta apoyados en un árbol durante una semana más o menos para dejar escurrir la savia y el agua. Los tallos se esparcen después en tierra en un espacio abierto antes de llevarlos al lugar de elaboración, donde se colocan a manera de «tipi» durante dos o tres semanas hasta reducir la humedad a menos del 20 por ciento. Durante el proceso de secado las partes curvas pueden enderezarse colocando pesos sobre tallos apilados horizontalmente.
Es preferible proceder a la recolección y el secado en los meses secos para reducir la humedad inicial y acelerar la acción del aire.
Curación de haces de rotén en un baño de aceite caliente para reducir el contenido de humedad, Malasia - W. LIESE |
|
Curación es la inmersión de los tallos en un baño de aceite caliente para prevenir el deterioro reduciendo el contenido en humedad (Bhat y Dhamodran, 1993; Silitonga, 1989). Es a menudo parte integrante de las operaciones de elaboración.
Los tallos, tan frescos como sea posible, cortados a la medida deseada y atados en haces, se sumergen cierto tiempo en un baño de aceite. El aceite penetra axialmente, siendo casi nula la penetración radial por la piel, dada la estructura anatómica refractaria de ésta.
Se han hecho muchos estudios para determinar los mejores métodos de curación. Distintas combinaciones de gasóleo, keroseno, aceite de palma y aceite de coco, según su disponibilidad, se aplican a temperaturas variables entre 80º y 150ºC durante 10 a 60 minutos, dependiendo la duración del diámetro del tallo. No parece que se hayan advertido diferencias entre especies en cuanto a su respuesta al tratamiento. En general, un tratamiento con aceite de keroseno a la temperatura de 100º a 105ºC durante 20 a 45 minutos (según el diámetro de los tallos) parece el mejor para mejorar el color de la piel.
Tras la curación, se limpia el exceso de aceite frotando los tallos con serrín, bonote (fibra de cáscara de coco) o trapos para retirar las sustancias pegajosas y los depósitos silíceos de la piel. En el proceso ulterior de secado al sol, a menudo en disposición cónica a manera de «tipis» el color cambia del verde al blanco marfil, el más deseable para el rotén. Después de una a tres semanas, según la especie y las condiciones climáticas, los tallos se guardan bajo techo.
Los operarios locales de las aldeas realizan una clasificación elemental del rotén - W. LIESE |
|
En algunos tipos de rotén, en especial algunas especies Calamus, la parte exterior del tallo o epidermis tiene fuertes incrustaciones de sílice amorfa que obstaculiza la elaboración. En las especies muy silicatadas es preciso descamar la capa de sílice. Para ello se curva el tallo, repitiendo la operación a intervalos longitudinalmente.
La clasificación de tallos de rotén por categorías es parte muy importante de la elaboración, aunque todavía controvertida. Es esencial para el comercio y determinante para productores, artesanos, exportadores, importadores y usuarios finales.
La primera etapa de la clasificación es obra de los operarios locales en las aldeas o, en mayor escala, de intermediarios o centros comerciales. Los criterios en esta etapa son las dimensiones (grosor, longitud y distancia internodal), la dureza y los defectos. Los tallos suelen dividirse en categorías de gran y pequeño diámetro; 18 mm es el límite más utilizado. La dureza (que depende de las características anatómicas, las diferencias entre especies y la edad de la planta) se comprueba curvando el tallo a mano y observando si recobra pronto o lentamente su forma original, o si se quiebra.
Limpieza de un tallo de rotén en Malasia - W. LIESE |
|
Una segunda etapa de clasificación, principalmente estética, se basa en el color de superficie después de la elaboración.
Las reglas y procedimientos de clasificación difieren mucho de un país a otro. En la mayoría de los países productores no tienen una formulación precisa. Su terminología es a menudo confusa, las prácticas no son uniformes, y la consecuencia es que se producen artículos de rotén de baja calidad. Es necesaria una cierta simplificación y unificación entre los países para el comercio interior y exterior (Bhat, 1996). A partir de una amplia encuesta, Bhat (1996) propuso unas normas modelos de clasificación de rotén con una terminología normalizada (compuesta por 20 términos), definición de defectos (nueve términos), métodos de clarificación, nomenclatura de especies comerciales de rotén y reglas de clasificación para tallos de gran y pequeño diámetro y rotén escindido. La aplicación de reglas generales de clasificación sería beneficiosa para el comercio, contribuiría a la normalización del mercado y reduciría las pérdidas de material.
En las aldeas, los tallos se curvan y se les da forma ablandándolos previamente con un soplete de soldador, como en este caso en Kalimantan, Indonesia
- W. LIESE

La elaboración secundaria consiste en peladura, escisión, tratamiento al vapor, curvatura, tinte, pulimento y acabado. la peladura (retirada de las capas externas dejando el núcleo central) y la escisión se suelen hacer a mano con simples cuchillos tradicionales o por medio de máquinas sencillas.
En los talleres de elaboración se utilizan cámaras de vapor para ablandar los tallos para poder curvarlos; si falta este tratamiento (por carecerse de cámaras de vapor, por ejemplo), la curvatura puede dañar el tallo. En las aldeas se usa a menudo un soplete o lámpara de soldador para ablandar los tallos y darles forma. Es preciso después rascarlos y pulirlos para borrar, al menos en parte, las quemaduras hechas por el soplete.
Pueden aplicarse varias medidas para mejorar el aspecto de superficie, que es el criterio principal para la comercialización. Los tallos parduscos pueden blanquearse con peróxido de hidrógeno u otros productos químicos. Los tallos descoloridos (véase el Recuadro) se colorean a menudo artificialmente con diversos colores; la capa exterior del rotén absorbe muy bien el líquido colorante. Para un acabado liso se usa un revestimiento de melamina. La fumigación con bióxido de azufre no sólo esteriliza el material sino que mejora la calidad de la superficie.
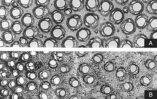
La estructura del rotén puede servir para distinguir las especies idóneas para ser utilizadas (p.ej. una especie Calamus, véase A) de las especies menos prometedoras (p.ej. una especie Plectocomia, véase B)
- G. WEINER, W. LIESE

Defectos causados por manchas y ataques de insectos Por su alto contenido de almidón, el rotén está particularmente expuesto a infestación por hongos e insectos. Los defectos derivados de infecciones con manchas de hongos y ataques de insectos coleópteros pueden producir graves pérdidas. Los hongos alteran el color de los tallos, mientras que los insectos producen agujeros a manera de alfilerazos o de mayor tamaño. Las manchas más corrientes son las de hongos azulados que penetran con sus hifas profundamente en el tallo, utilizando el almidón y el azúcar. Se calcula que las manchas alcanzan al 20 por ciento de los tallos recolectados. La invasión de hongos puede producirse en el día que sigue a la corta. Las manchas pueden prevenirse mediante pulverización o inmersión en una solución protectora, pero rara vez se aplica el tratamiento profiláctico en el plazo de 24 horas necesario por las dificultades derivadas de los procedimientos de recolección, almacenamiento y transporte. Además, el peligro de contaminación ambiental y eventualmente las normas contra el uso de sustancias químicas restringen la aplicación de medios químicos de protección. El rotén que llega al lugar de elaboración para ser secado al aire está con frecuencia ya infestado. A menudo se colorean los tallos manchados para ocultar el defecto. Tras intensivas campañas de promoción, los muebles de varios colores se han puesto de moda. Sin embargo, el material muy manchado no puede utilizarse para muebles, por su menor resistencia a la curvatura, y suele utilizarse para cestas y otros productos perecederos, o incluso como leña. Muebles hechos con rotén pintado de negro para ocultar las manchas azules, Kalimantan, Indonesia - W. LIESE
También los mohos pueden afectar al color de los tallos si éstos se transportan o almacenan en condiciones húmedas. A diferencia de las manchas azuladas, esta descoloración es sólo superficial y puede eliminarse, aunque reduciendo el brillo de superficie (Kumar, 1993; Mohanan, 1993). Con una humedad de más del 20 por ciento, los hongos de podredumbre pueden atacar también el rotén. Muchas veces estas infecciones se advierten sólo más tarde, cuando aparecen los esporangios, y pueden producir una grave degradación estructural del rotén ya elaborado. Los tallos curtidos con un contenido de humedad del 50 al 100 por cien son vulnerables al ataque de insectos, sobre todo de la carcoma de la madera. Los insectos depositan sus huevos en los poros anchos axilares y las larvas se alimentan del contenido de almidón. La presencia de un polvillo amarillento bajo los tallos revela la infestación. El material infestado debe ser esterilizado o quemado. La protección contra la carcoma requiere la aplicación muy temprana de un insecticida, generalmente por inmersión o impregnación. Como se ha dicho, hay que tener en cuenta las consecuencias de la contaminación. La disponibilidad y la licitud de preservantes idóneos varían según los países. Los artículos destinados a la exportación pueden ser esterilizados en contenedores en el puerto por una agencia reconocida. Si se descubre en el desembarque un material ligeramente infestado, la opción entre fumigación y eliminación con el fuego corresponde a las autoridades y al comprador. |
Como las diversas especies de rotén difieren notablemente por sus propiedades estructurales y estéticas, el número relativamente reducido de especies utilizadas es una importante limitación. Sólo unas 50 de las 600 especies conocidas se utilizan comercialmente en todo el mundo; en Filipinas se utilizan 12 de 68 especies (Tesoro, 1988). Rao, Ramanatha Rao y Williams (1998) han compuesto una lista prioritaria de 21 especies Calamus a partir de los criterios de tamaño del tallo, potencial comercial, cantidades disponibles y propiedades para la elaboración y la utilización.
El contenido de sílice varía mucho según las especies (0,9 a 2,7 por ciento). Para determinados productos como cuerdas y ataduras son preferibles las especies de bajo contenido silíceo.
El color de la piel es un criterio importante. El Calamus caesius es idóneo para productos de alto valor por su color amarillento cremoso brillante. Se desconoce todavía la base anatómica de este aspecto.
En la elaboración y utilización del rotén influye mucho la composición estructural del tallo, que presenta diferencias considerables en los distintos puntos de su longitud. A diferencia de las maderas blandas y duras, las fibras del rotén están todavía vivas, y las paredes de la fibra aumentan en espesor con la edad. Por lo tanto, desde la base hasta los internodos altos, y también desde la periferia hacia el centro de un internodo determinado, el porcentaje de fibra y el grosor de la pared celular de la fibra decrecen, mientras que el diámetro de los vasos aumenta. En consecuencia, las partes más bajas del tallo tienen mayor densidad (y por ello más fuerza), mientras que las partes altas tienen mayor contenido de humedad y están más expuestas a perder volumen. El encogimiento y la distorsión pueden causar problemas cuando se utilizan tallos prematuramente recolectados o las partes altas de los tallos.
Las características anatómicas de contenido de fibra, espesor de la pared celular y diámetro de los vasos varían también según las especies y pueden hacer que un rotén sea más rígido y quebradizo, según el lugar del tallo y según la especie (Bhat, Liese y Schmitt, 1990). Si la parte alta de un tallo se utiliza como componente de un mueble, puede quebrarse más fácilmente por las menores paredes de sus fibras. Análogamente, algunas especies con bajo contenido de fibra, fibras de paredes más finas y vasos del xilema relativamente anchos, como Calamus metzianus, son más quebradizas.
Las diferencias de composición del tallo entre los 13 géneros de rotén, e incluso entre algunas especies de un mismo género, han hecho imposible diseñar una clave de identificación para 284 especies investigadas (Weiner y Liese, 1993). Esta diversidad anatómica tiene un valor práctico especialmente para la identificación del material elaborado, lo que puede ser útil en disputas comerciales.
La anatomía del rotén se ha utilizado también para identificar las características estructurales propias de un rotén «comercializable», lo que hace posible analizar especies antes no utilizadas con miras a su posible elaboración (Weiner y Liese, 1991). Por ejemplo, la caracterización anatómica sugiere que los géneros de rotén de África occidental Eremospatha, Laccosperma y Oncocalamus tienen las mismas estructuras básicas que los tipos más utilizados en Asia, es decir que deberían ser idóneos para fabricar muebles, aunque hasta ahora no se hayan utilizado debidamente para ello (Weiner y Liese, 1994).
La disponibilidad de materia prima, ante todo de la valiosa especie Calamus manan, se define a menudo como el problema más apremiante para la industria del mueble en los países de origen, así como en los principales países europeos productores de muebles como Francia, Alemania, Italia y el Reino Unido. En la medida en que la prohibición de exportar rotén ha afectado al desarrollo de la industria del mueble en países no productores del material, otros países como Myanmar, Viet Nam, República Democrática Popular Lao y Papua Nueva Guinea han incrementado la recolección de plantas de calidad diversa. Actualmente se diseñan muchos muebles que requieren sólo tallos de menor diámetro. Las fábricas se desenvuelven utilizando tallos de calidad inferior, a menudo manchados y que requieren coloración. Una importante compañía alemana con grandes fábricas de muebles en Java, Indonesia, consideraba la escasez de materia prima, combinada con el precio de mercado, como factor decisivo para estimular la producción (comunicación personal). Por ejemplo, el comerciante puede prescindir de la clasificación inicial para poder obtener el mayor número posible de tallos a un precio razonable.
La escasez de rotén ha conducido también a su sustitución parcial o incluso total en los muebles por otros materiales como plástico. El plástico «imitación de rotén original» que se ofrece en el mercado puede ser colorido, más barato y de diseño atractivo.
Otros problemas importantes se refieren a la tecnología de producción, a la financiación y a la comercialización del rotén. Hay muchos artesanos que trabajan el rotén en las aldeas con herramientas muy sencillas, diseños anticuados y escasos conocimientos técnicos. Su acceso al mercado se ve limitado por la calidad inferior de sus productos (Belcher, 1999).
En cuanto a la elaboración primaria en el campo, se podrían reducir las pérdidas y mejorar la calidad con tecnologías avanzadas de preservación y secado. A menudo se aplican métodos trabajosos y procedimientos baratos sencillos para pelar, escindir y curvar. Con perfeccionamientos técnicos en la industria de elaboración se podría elevar el valor de los productos y con ello también los precios de la materia prima.
Se ha progresado en lo que se refiere a mejores herramientas manuales e instrumentos, mejores tecnologías de elaboración y mejores acabados y coloraciones. Pero la investigación descuida todavía las cuestiones de propiedades estructurales, relaciones del producto, protección y utilización de desechos. La verdad es que apenas han cambiado las necesidades prioritarias de investigación sobre bambú y rotén enumeradas hace diez años en un informe para el Centro Internacional de Investigación para el Desarrollo (CIID) (Williams et al., 1991):
Por último, es importante recalcar la necesidad de estudios de mercados para identificar la demanda y determinar lo que pide el mercado.
Bibliografía
Belcher, B. 1999. The bamboo and rattan sectors in Asia: an analysis of production-to-consumption systems. INBAR Working Paper No. 22. Beijing, China, (INBAR).
Bhat, K.M. 1996. Grading rules for rattan -a survey of existing rules and proposals for standardization. INBAR Working Paper No. 6. Nueva Delhi, India, INBAR.
Bhat, K.M. y Dhamodran, T.K. 1993. Rattan harvesting and processing technology in India: present and future. En Rattan management and utilization, p. 233-243. Proceedings of a seminar, Trichur, India, 1992. Peechi, India, Kerala Forest Research Institute.
Bhat, K.M., Liese, W. y Schmitt, U. 1990. Structural variability of vascular bundles and cell wall in rattan stem. Wood Science and Technology, 24: 211-224.
Kumar, S. 1993. Protection of canes. En Rattan management and utilization, p. 304-308. Proceedings of a seminar, Trichur, India, 1992. Peechi, India, Kerala Forest Research Institute.
Mohanan, C. 1993. Biodeterioration of post-harvest rattans. En Rattan management and utilization, p. 266-280. Proceedings of a seminar, Trichur, India, 1992. Peechi, India, Kerala Forest Research Institute.
Rao, A.N., Ramanatha Rao, V. y Williams, J.T. eds. 1998. Priority species of bamboo and rattan. Serdang, Malasia, Oficina Regional para Asia, el Pacífico y Oceanía del Instituto Internacional de Recursos Fitogenéticos (IPGRI-APO)..
Silitonga, T. 1989. The effect of several cooking oil compositions on manau (Calamus manan Miq.) canes. En Recent research on rattans, p. 187-181. Proceedings of the International Rattan Seminar, ChiangMai, Tailandia, 1987, Universidad Kasetsart, Bangkok, Tailandia.
Tesoro, F. 1988. Rattan processing and utilization research in the Philippines. En Proceedings of the National Symposium on Rattan, Cebú, Filipinas, p. 41-54.
Weiner, G. y Liese, W. 1991. Anatomical comparison of commercial and non-commercial rattans. En Proceedings of the National Seminar on Oil Palm Trunk and Other Palmwood Utilization, Kuala Lumpur, Malaysia, 4-5 March 1991, p. 360-367. Kuala Lumpur, Malasia, Ministerio de Industrias Primarias.
Weiner, G. y Liese, W. 1993. Generic identification key to rattan palms based on stem anatomical characters. IAWA J., 14: 55-61.
Weiner, G. y Liese, W. 1994. Anatomische Untersuchungen an westafrikanischen Rattanpalmen (Calamoidae). Flora, 198: 51-61.
Williams, J.T., Dransfield, J., Ganapathy, P.M., Liese, W., Salleh M.N. y Sastry, C.B. 1991. Research needs for bamboo and rattan to the year 2000. Washington, DC, Estados Unidos de América, International Fund for Agricultural Research.