
0659-B4
Feraida Castro 1 y Sari Mohali 2
Estudios de laboratorio para conocer los mecanismos de degradación de la madera de pino caribe y melina por acción de los microorganismos presentes en suelos de un bosque nublada cercano a la ciudad de Mérida, Venezuela, contenidos en cajas de plástico y mantenidos permanentemente húmedos. Después de seis semanas, las probetas de ambas maderas se sintieron blandas al tacto y, en los cortes para observaciones microscópicas de luz y electrónico de barrido, se confirmo la presencia de cavidades en las paredes secundarias de las fibras, pequeñas en etapas incipiente de deterioro y más grandes en etapas más avanzadas, características de ataque de pudrición blanda de tipo I, cavidades. En la madera de Melina además se verifico la presencia de erosión de las paredes del lumen de las fibras, característico de la pudrición blanda tipo II, pero no se observo deterioro en los elementos vasculares
La madera, al igual que todos los materiales lignocelulósicos, es susceptible a su degradación por diversos agentes destructores, el proceso de deterioro biológico se inicia generalmente en las células del parénquima radial o longitudinal de la madera, que contienen las mayores reservas alimenticias sin aparente degradación de la pared celular lignificada, aunque resientes investigaciones señalan la posibilidad de que aun en estas etapas iniciales se aprecia cierto grado de deterioro de la pared (Encinas, 1996). En etapas avanzadas del deterioro, ocurre deterioro de las paredes lignificadas y finalmente descomposición completa de la madera. La biodegradación es causada por hongos, bacterias e insectos, que poseen los sistemas adecuadas para utilizar alguno o todos los componentes de la madera como fuente de alimento.
Los hongos destructores de la madera han sido agrupados tradicionalmente según el tipo y características de pudrición que producen, pero se considera este sistema de clasificación no muy preciso ( Blanchette et al., 1990). Los hongos de pudrición blanda aparecen cuando no se ha iniciado el proceso de pudrición marrón y blanca, usualmente hongos basidiomicetes y en situaciones donde existe alto contenido de humedad en el suelo, baja aireación, altas temperaturas, altas concentraciones de nitrógeno, o la presencia de algún componente químico en la madera que favorece su desarrollo (Eaton and Hale, 1993). Estos hongos de pudrición blanda son Ascomicetes y Deuteromicetes. Así los hongos de pudrición blanda ocasionan daños en la madera en servicio en situaciones donde el contenido de humedad es altos durante ciertos periodos del año, como en los suelos de los altos Llanos Occidentales (Encinas, 2000), y se considera que su presencia debe ser común en otros tipos de suelos sometidos a condiciones similares de humedad. Con el propósito de ampliar el conocimiento acerca de los hongos de pudrición blanda, se presenta los resultados obtenidos utilizando un novedoso método que simula las condiciones de campo, pero en laboratorio, utilizando para el efecto cajas de plástico conteniendo suelos no estériles, donde se asegura la presencia de microorganismos propios del sitio de donde provienen, manteniendo los suelos húmedos y en un ambiente con temperatura favorable. Mediante observaciones periódicas de pequeñas estacas de madera, se detecta la acción de microorganismos destructores de la madera presente en ese tipo de suelo; la forma en que se presenta el deterioro en la pared celular permite diferenciar el tipo de pudrición presente y junto con aislamiento de los microorganismos, se puede conocer cuales son los microorganismos que deterioran la madera y sus mecanismos de acción.
Se utilizo el método de suelos no estériles en cajas de plástico, según norma europea (ENV-807, 1995). Simples cajas de plásticos de 50 cm. x 40 cm. x 25cm de profundidad fueron llenadas con suelos de bosque nublado cercano a la ciudad de Mérida, situado a 1.750 msnm, y colocado en un cuarto condicionado a 27 °C de temperatura y 75 % de humedad relativa constante; las cajas se mantuvieron permanentemente húmedas mediante riego periódico con agua corriente y fueron cubierta con plástico grueso para evitar la presencia de otros microorganismos ajeno ha este creado microcosmo terrestre.
En las cajas se colocaron probetas de madera de Pino caribe (Pinus caribaea Mor. Var. hondurensis Barreto & Golfari) provenientes de las plantaciones del estado Monagas, y de Melina (Gmelina arborea Roxb.) proveniente de las plantaciones de la reserva Forestal de Ticoporo, Estado Barinas. Las probetas utilizadas fueron de 5 mm x 10 mm en sección transversal y 25 mm de largo, las que se enterraron hasta la mitad de su longitud en los suelos de las cajas. Periódicamente durante ocho semanas, las probetas se examinaron para verificar si mantenían su consistencia original, hasta que, blandas al tacto, se advertía la presencia de degradación por acción de los hongos de pudrición blanda. Las probetas afectadas se retiraron de las cajas y se limpiaron cuidadosamente con una brocha pequeña y de estas probetas aún húmedas se prepararon los cortes longitudinales y transversales para ser observadas en el microscopio de luz y al microscopio electrónico de barrido.
Para las observaciones del microscopio de luz, los cortes finos se hicieron con hojillas de afeitar, se colocaron con azul de anilina al 0,5 % ácido láctico y safranina al 0,1 % en glicerol y fueron observadas con un microscopio de luz normal dotado también con luz polarizada. Las muestras para el microscopio electrónico de barrido se prepararon a partir de pequeños bloques de madera (aproximadamente 5 mm en todas las dimensiones) que fueron incluidas en glutaraldehido al 5 % en buffer de cocadilato de sodio 0,1 M y pH 6,3, para fijación de los tejidos, con postfijación en tetraóxido de osmio al 0,1 en el mismo buffer (Dykstra, 1992). Después de siete días de fijación, las muestras se deshidrataron en una seria ascendente de etanol (20, 50, 70, 80, 90 y 100 %), etanol-acetona (1:1) y finalmente acetona; luego, las muestras se secaron al vació durante 48 horas a 30 °C se recubrieron con plata antes de su observación en un microscopio electrónico de barrido Hitachi S-2500.
De las probetas atacadas, se efectuaron aislamientos y reaislamientos de los microorganismos, para lo que se removieron pequeñas astillas en forma aséptica, que fueron colocadas en solución cloro-alcohol durante tres minutos y luego se lavaron con agua destilada tres veces. Estos fragmentos se colocaron en cápsulas de Petri que contenían malta agar al 2 %. Finalmente se procedió a la identificación de los microorganismos presentes. Para confirmar que los microorganismos aislados fueron los agentes causales de la pudrición blanda, se realizaron ensayos de inoculación de madera sana de pino y melina con los principales microorganismos aislados y, para efectos comparativos de su capacidad degradante, adicionalmente se prepararon otras probetas que fueron inoculadas con Gloephyllim trabeum, hongo de pudrición marrón, Trametes versicolor, hongo de pudrición blanca.
En todas las probetas de Pino caribe y Melina, se aprecio un ablandamiento del tejido detectable por simple presión de los dedos. En la madera de pino caribe este ablandamiento se aprecio a partir de las seis semanas y en los cortes transversales vistos al microscopio se observo que el tejido parénquimatico radial fue parcialmente destruido por el hongo. En la pared secundaria (S2) se observaron perforaciones o cavidades, tanto en la madera temprana como en la madera tardía, cavidades características de la degradación de la madera por hongos de pudrición tipo I (Corbett, 1965), inicialmente en forma aislada y muy pequeñas en etapas iniciales del ataque, que se hacen más grande a medida que avanza el ataque (Fig. 1c), siguiendo la dirección concéntrica de las microfibrillas de la pared celular hasta que finalmente llega a degradar toda la pared secundaria, dejando remanente solo la lámina media que, en etapas avanzadas, también es degradada totalmente
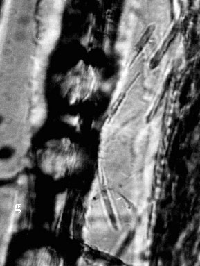
En las observaciones de los cortes longitudinales , tanto en el sentido radial como tangencial, se aprecian líneas traslucidas al microscopio de luz polarizada con una inclinación parecida a las que siguen las microfibrillas de que esta compuesta la pared secundaria, señal que la celulosa de la pared secundaria había sido degradada, observable por la perdida de birrefringencia a la luz polarizada (Nilsson y Daniel, 1998), con mayores aumentos (100 x) en el corte longitudinal fue posible observar la formación de cavidades con puntas en forma de ángulos, con aspecto de diamante, unidos por micro hifas que siguen la orientación de las micrifibrillas de la pared secundaria S2 (Fig, 1g). Esta forma de degradación es típica de los hongos de pudrición blanda (Eaton y Hale, 1993), donde los extremos de estas micro hifas, denominadas proboscis, siguen la dirección de las microfibrillas y luego de un corto recorrido el espacio degradado se amplia tomando aspecto de diamante que vuelve a terminar con la elongación de una nueva fina hifa.
Las observaciones de las muestras en el microscopio electrónico de barrido confirmaron las observaciones hechas con el microscopio de luz; en las etapas iniciales del ataque, las pequeñas cavidades se circunscriben a la capa S2 de la pared secundaria (Fig. 1d), pero en etapas más avanzadas estas cavidades pueden presentarse también en áreas próximas a las capas S1 o S3, que no son atacadas inicialmente (Fig. 1e y 1f). En las etapas avanzadas, inclusive la lamina media es degradada por acción del hongo.
En la madera de Melina, también se verificó, aunque en menor proporción que en la madera de Pino caribe, la degradación por el hongo de pudrición blanda: primeramente es atacada la madera temprana y posteriormente la madera tardía. No se apreció degradación de los vasos. Además de las cavidades típicas de la pared S2, se observo en el lúmen de las células de la madera tardía, erosión de la pared celular, forma muy característica de degradación de la pared celular conocido como pudrición blanda tipo II (Corbett, 1965); este tipo de erosión es apreciado en cortes longitudinales de la madera, se observa como finas y traslucidas líneas entramadas.
Los hongos de pudrición blanda son capaces de metabolizar la celulosa, principalmente aquellas que no está conjugada con la lignina, en particular la del tipo guayacil (Eriksson et al, 1990)lo que explicaría la presencia del hongo solamente en la pared secundaria de las células en etapas iniciales del ataque, sin atacar la lamina media ni el tejido vascular de las maderas de latífoliadas (Rayner y Boddy, 1988). También pueden degradar fácilmente las células epiteliales poco lignificadas de los canales resiníferos de las confieras (Zaber y Morrel, 1992). Sin embargo, en etapas avanzadas del ataque los hongos de pudrición blanda logran finalmente degradar todos los tipos de tejidos en la madera de confiera y latífoliadas. Un patrón semejante de degradación de las maderas, ha sido observado en un ensayo de campo en la reserva forestal de Ticoporo en estacas de madera de pino caribe sin tratamiento químico y también en estacas tratadas con triazoles, pero no en maderas tratadas con cobre (Encinas, 2000), y en madera recolectada en terrenos húmedos del pie de monte andino.
Los aislamientos y reaislamientos efectuados en las maderas con 8 semanas en las cajas conteniendo suelos no estériles, permiten señalar que las maderas ensayadas fueron colonizadas por hongos imperfectos identificados como Clodosporium sp, moho celulolitico según Herring and Dickinson (1999), Penicillium y Trichoderma sp (mohos), Fusarium sp y Doratomyces stemonitis también conocido como Cephalotrichum stemonitis, reportados cono hongos de pudrición blanda por producir cavidades en la pared celular (Mckarg, 1984). Además de estos hongos imperfectos también se aislaron bacterias, como Bacillus sp y otra Gramm negativa que aún no ha sido identificada.
Fusarium sp y Doratomyces stemonitis son los que tienen importancia en esta investigación, debido al ser clasificados como hongo de pudrición blanda son capaces de degradar la madera. Monocultivos de maderas de pino caribe y melina, sin tratamiento, incubadas durante ocho semanas, realizada siguiendo la metodología de Eaton and Hale (1993),produjeron síntomas similares a los observados en las muestras de las cajas con suelos no estériles, confirmando su capacidad degradadota en las maderas ensayadas se observo que Doratomyces stemonitis y Fusarium sp producen pérdidas de peso hasta del 5 % después de ocho semanas de incubación, tanto en la madera de Pino caribe como en la de Melina (Figura 13), bastante similar a las perdidas de peso ocasionadas por cultivos de G Traveum, pudrición marrón, aunque menores que la producida por T. Versicolor, pudrición blanca, en el mismo periodo.
Algunas especies de Fusarium sp pueden degradar la madera de Betula pendula tratada con CCA después de 12 meses en contacto con el suelo, y otros hongos imperfectos como Clodosporium resinae y Penicillium , pueden degradar la de Eucalyptus maculata y Pinus sylvestris, también tratadas con CCA (Leightley y Francis, 1980). Doratomyces stemonitis y Penicillun son hongos imperfectos que han sido reportados degradando las maderas de Fagus sylvatica y Pinus sylvestris tratados con propiconazoles (Herring y Dickinson,1999), resultados que se obtuvieron en condiciones muy similares a la adoptada en este trabajo. Doratomyces stemonitis y Fusarium sp, producen pérdida de peso en las probetas de madera y cavidades en la pared secundaria de las fibras, típicas de los hongos de pudrición blanda, por lo que se debe considerar agentes causantes de pudrición blanda en las maderas de Pino caribe y Melina en contacto con suelo no estéril del bosque nublado


Figura 1.
a y b) Sección transversal de la madera de melina observaciones con microscopio electrónico de barrido, Degradación de las fibras desde el lumen hacia el interior de la célula, degradando la capa S3 y la S2. Se observa la presencia de cavidades en la capa S2, además la pared del vaso el cual no es degradado como el parénquima alrededor del vaso.
c) Corte transversal de madera tardía de pino caribe atacada por pudrición blanda, se diferencian los diferentes grados de ataques, tal como se observa en el microscopio de luz, donde se observan cavidades características pequeñas se presentan en la capa S2 de la pared celular, posteriormente las cavidades se hacen más grandes y degradan la pared secundaria en la secuencia que se ilustraron las macrofotografías de la Fig. d, e y f, obtenidas con el microscopio electrónico de barrido en probetas diferentes pero de la misma madera.
g) Corte longitudinal radial de pino caribe visto al microscopio de luz. Se observan cavidades con puntas angulares, con aspecto de diamante, siguiendo la dirección de la micrfibrillas de la capa S2. se aprecian los extremos de las cavidades mostrando probocis, microhifas que también siguen la dirección de las microfibrillas.

Figura 2. Pérdida de peso de las maderas de Pino caribe y Melina, ocasionada por los hogos estándar T. versicolor y G. trabeum y por los hongos de pudrición blanda Doratomyces stemonitis; Fusarium sp, identificados de suelos no estériles del bosque nublado.
1. Blanchette, R.; Nilsson, T.; Daniel, G. And Abad,a. 1990. Biological degradation of wood.
2. Corbett, N. 1965. Micromorfological studies on the degradation of lignified cell walls by ascomycetes and fungi imperfcti, J. Inst. Wood Sci. 14: 18-29
3. Dykstra, M. J. 1992. Biologicañ electron Microscopy. Theory, Thechniques and troubleshooting. Plenum press. New York. 360 pp.
4. Eaton, R. and Hale, M. 1993. Wood: Decay, pest and protection. Chapman & Hall, London.546 p.
5. Encinas, O.1996. Development and Significance of Attack by Lasiodiplodia theobromae (Oat) Griff. & Maubl. In caribbean pine wood. Doctoral thesis. Acta Universitatis Agriculturae Sueciae. Silvestria 8. Uppsala, Sweden.
6. Encinas. O. 2000. Biodegradación de maderas venezolanas en ensayos de cementerios de estacas en los Llanos Occidentales. Acta Científica Venezolana 51: 39-44.
7. ENV - 807. 1995. Wood preservatives. Test for determining the toxic efficacy against soft rotting microfungi and soil-inhabiting microorganisms
8. Eriksson, K.; Grünewald, A.; Nilsson, T. And Vallanden, L. 1980. A Scanning Electron Microscopy Study of the Grown and Attack on Wood by tree White-rot Fungi and Their Cellulose-less Mutants. Holzforschung.
9. Herring I. and DiCkinson, d. 1999. The use of organic wood preservatives in ground contact and the suitability of laboratory test procedures to determine their efficacy. The International Research group on Wood Preservation. North Carolina, USA. Document IRG/WP/2210
10. Leightley, L. and Francis, D. 1980. Soft rot stake test. Site 03 Australia, Progress report. The International Research group on Wood Preservation. Rosenheim, Germany. Document IRG/WP/99-20175
11. Mckarg, Peggy. 1984. Developments in unsterile soil soft rot testing. The International Research Group on Wood Preservation. Stockholm, Sweden. Document IRG/WP/2210.
12. Nilsson, T. 1976. Soft rot fungi, decay patterns and enzyme production. Material u. Organismen 3: 103 - 112.
13. Rayner, A. and Boddy, L. 1988. Fungal decomposition of wood. Its biology and ecology. Jhon Wiley and Sons. London.
14. Zabel, R. y Morrell, J. 1992. Wood microbiology and its prevention. Academic press, San Diego. 476p.
1 Ing. Ind. Forestal, MSc. Profesora Universidad Nacional Experimental de Guayana, Upata, Venezuela. [email protected].[email protected].
2 Ing. Forestal, MSc. Profesor facultad de Ciencias Forestales y Ambientales, ULA, Mérida, Venezuela.