
0880-B1
Zhang Deqiang[1], Zhang Zhiyi, Yang Kai and Li Bailian
The embryonic root (radicle) development in the mature embryo after germination is essential for the formation of the root organ in plants. In this study, seed radicle development and Amplified Fragment Length Polymorphisms (AFLPs) markers associated with this trait were investigated based on a segregated progeny. The hybrid experiments were carried out by intraspecific controlled crossing between a female Populus tomentosa clone 5082 and male P. tomentosa clone JY. A total of 3 193 seeds were obtained and sown on 1/2 Murashige and Skoog medium. The measurements were made at 15 to 20 days after germination and there were 1 179 seedlings with normal radicle and 376 ones without visual root. The segregation ratio of between rooting versus non-rooting of seed embryos of the offspring was observed to be 3:1 in P. tomentosa. This segregation ratio suggested that seed radicle development character is a qualitative trait and is probably controlled by a single complete dominant gene or a set of tightly linked genes. In order to identify markers associated with radicle development trait, we adopted combining the AFLP technique and the Bulked Segregant Analysis (BSA) strategy. We detected approximately 5 600 selectively amplified DNA fragments ranging in size from 40 to 650 nucleotides between the pools of rooting and non-rooting using 78 primer combinations. Eventually, we identified two AFLP markers (EcoR I + GAG/Mse I + AAT-492 and EcoR I + GAG/Mse I + CCA-502), which were tightly linked to the radicle development-controlling locus in P. tomentosa.
Populus tomentosa is a native species in the section Leuce under Populus in China. It is broadly distributed in the vast area of northern China and many wild and cultivable P. tomentosa with informative genetic variation types were emerged during the long natural evolutional course. It has a lot of good characteristics such as rapid growing, outstanding resistance to diseases, and super wood quality. However, it has a poor ability of intra-sexual reproduction and sterile seriously, which restricted the study of the trait segregation in its progeny. In order to improve the ability of intra-sexual reproduction, Zhang et al explored the investigation on the flowering and bearing habits of clones in the arboretum of P. tomentosa located in Guanxian county, Shandong province and found some female and male clones with higher ability of sexual reproduction for hybrid breeding of P. tomentosa (Zhang et al 1992). A controlled hybrid experiments were carried out by intraspecific crossing between selected ideal female P. tomentosa clone 5082 and clone JY and sown the seed on 1/2 Murashige and Skoog medium for observing the germination and radicle development. The result indicated that segregation ratio of between normal and non-visible root of seedlings of the offspring was fit to Mendelian ratio in P. tomentosa. This segregation ratio implied that the seed radicle development character is a qualitative trait and probably controlled by single or several closely linked loci in P. tomentosa.
Radicle development has become the subject of considerable research in recent years because it plays a crucial role in the life cycle of flowering plants. In most angiosperm plant species the primary root and its shoot meristems are established during embryogenesis (Scheres et al. 1994; Laux and Jurgens 1997; Vernoux et al. 2000). Upon germination the primary root and shoot meritems initiate post-embryonic development by producing root organ. In order to understand the development mechanisms that regulate root formation, previous researchers made great efforts to study root organogenesis in Arabidopsis thaliana with mutant, histological, anatomical analysis strategy. Mutation analysis was mainly used for involving the identification and characterization of major regulatory genes and a number of genes controlling meristem and root organ identities have recently been discovered and characterized (Mayer et al. 1991; Cheng et al. 1995; Kubo et al. 1999). A few genes are known to be required for lateral root development. The ALF4 locus is required for lateral root primordial initiation (Celenza et al. 1995), while the ROOT-MERISTEMLESS (Cheng et al. 1995), ROOT MERISTEMLESS1/CADMIUM SENSITIVE2 (Vernoux et al. 2000) and HOBBIT (Willemsen et al. 1998) genes are essential for root meristems formation in the later steps in Arabidopsis embryo.
However, the analytical techniques described in radicel development research in Arabidopsis are very difficult for identification of the loci controlling radicel development for forest trees. Since associations between molecular markers and economic traits (Sax 1923) as well as the development of Bulked Segregant Analysis (BSA) method (Michelmore et al. 1991) had been reported, combining the molecular markers and BSA strategy has been extensively used to detect the markers linked to economic traits in forest trees (Cervera et al. 1996; Villar et al. 1996; Wilcox PL et al. 1996; Stirling B et al. 2001). These research results showed that BSA is an efficient method to detect markers in specific genomic regions by using segregant populations. In this paper, we described the Mendelian segregation of seed radicel development trait in the intraspecific hybrid progeny and identify the AFLP markers with gene controlling radicel development with BSA method in P. tomentosa.
In 2001, a controlled intraspecific cross was made between a female clone 5082 and a male clone JY in P. tomentosa, which gave rise to 3193 seeds. Seeds were sterilized in 0.1% hydrargyrum chloride for 30 s and with 75% ethanol for 2 min. After five washes in sterile distilled water, seed were germinated on flask containing 05´ Murashige and Skoog (MS) mixture, pH 5.8, in 0.8% agar. Flasks were incubated in a near vertical position at 22°C, 70% humidity and a cycle of 16 hr light/8 hr dark.
The measurements were made at 15 to 20 days after germination. We obtained 1555 seedlings totally and 376 of 1555 seedlings with parental appearance segregated the novel phenotype (lacked a visible root). Chi-square tests (d. f. = 1, P < 0.05) were conducted to check Mendelian ratio of between normal rooting seedlings versus non-rooting seedlings.
The AFLP was performed as reported by Vos et al (Vos et al. 1995).
Bulked segregant analysis method to detect AFLP markers associated with seed radicle development trait was conducted as described by Michelmore et al. (1991).
Linkage analysis was performed using the formulas described by Mather (1938) and the genetic distances were calculated using the Kosambi mapping function with centiMorgans (cM) (Kosambi 1944).
In 2000, different crossing combinations were designed to establish mapping populations for construction of genetic maps in P. tomentosa. We adventitiously found some seedlings with non-visible root organ in the progeny derived from the intraspecific crossing between the female clone 5082 and male clone JY (Fig. 1). A total of 354 seeds were obtained in 2000. After germination, we obtained 39 seedlings with non-rooting, which accounted for 26.35% of the total seedlings. To further test the reproducibility of seedlings with non-rooting in the progeny of the crossing combination of between clone 5082 and clone JY, the controlled hybrid experiments were carried out again with very largely scale with the same materials in 2001. As expected, there was the apparent phenotypic segregation for radicle development trait in this progeny. A total of 3193 seeds were obtained and the rate of germination is 48.74%. Therefore, we obtained 1555 seedling totally. Among them, there were 1179 seedlings with normal radicle development and 376 seedlings without visible root organ. The segregation ratio of normal rooting to non-rooting seedlings was 3: 1 in Populus tomentosa and c2 = 0.557 < c 0.05 = 3.84. This segregation ratio suggested that seed radicle development character is qualitative trait and the mutation is recessive to wild type. Segregation analysis of the F1 progeny of these seedlings indicated that a single dominant genetic locus or a set of closely linked loci was responsible for post-embryonic radicle development in P. tomentosa. This result implied that the genotype controlling radicle development loci is Aa in both parents (clone 5082 and clone MXTB01) and produced segregation ratios of 1AA: 2Aa: 1aa of genotype in progeny. This genotype resulted in the segregation ration of 3: 1 seedlings of normal root versus without visible root for phenotype in the F1 progeny in P. tomentosa.
Fig. 1 Seedling appearance after seed germination in P. tomentosa (Top: seedling with normal root organ; Bottom: seedling without visible root organ)

Identification of AFLP markers associated with radicle development in P. tomentosa
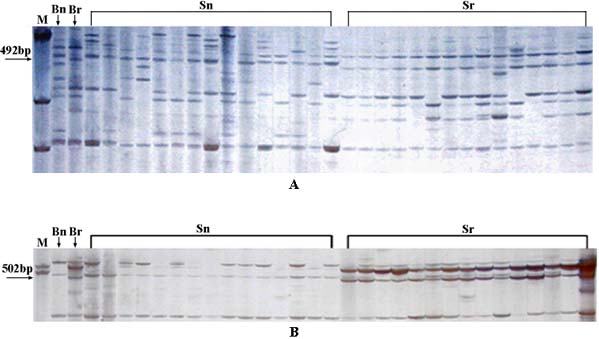
To expedite the identification of the AFLP markers linked to genes involved in the radicle development in the post-embryo for P. tomentosa, Screening for AFLP-polymorphisms was carried out by bulked segregant analysis with bulks (pools) containing preamplified DNA of 15 normal rooting and lacking visible root organ seedlings, respectively. A total number of 78 AFLP primer pairs were used to test bulks and of approximately 5600 selectively amplified DNA fragments ranging in size from 40 to 650 nucleotides were scored. Most primer combinations showed no polymorphic loci between rooting and non-rooting bulks. However, primer pairs E65/M34 (EcoR I + GAG/Mse I + AAT) and E65/M51 (EcoR I + GAG/Mse I + CCA) each showed striking differences between these two bulks (Fig. 2). Candidate these AFLP markers have DNA segment of approximately 492 bp and 502 bp in size, respectively. Then DNA samples from 98 individuals were amplified, which was used to analyze the linkage between these AFLP markers and the radicle development-controlling allele. We identified one recombinant F1 individuals with primer combination E65/M34, and two for primer pairs E65/M51. We therefore have identified two AFLP markers tightly linked to the radicle development-controlling loci in Populus tomentosa and the linkage distance between E65/M34-492, E65/M51-502 and the radicle development-controlling loci was approximately 1.02 and 2.04 cM, respectively.
Fig. 2 A-B AFLP markers linked to the loci associated with radicle development in P. tomentosa. A represent marker EEAG/MAAT-492£» B represent marker EEAG/MCCA-502; M represent 1Kb DNA ladder (NEB Biolab), Bn represent non-visible root seedlings bulks, Br represent normal rooting seedlings bulks, Sr represent the identified markers by BSA are present in the normal rooting seedlings, Sn represent the identified markers by BSA are absent in the non-visible rooting seedlings.

Recessive mutations in the gene regulating radicle development give rise to the seedlings that contain major organs with a distinct seedling appearance including the normal cotyledons, hypocotyls and epicotyl, but without a visible root organ. This defect phenotypic ratio of offspring (rooting: non-rooting) was 3:1 in P. tomentosa and ¦Ö2 = 0.557 <¦Ö0.05 = 3.84. This segregation ratio suggested that radicle development character is a qualitative trait and probably be controlled by a single complete dominant gene or a set of closely linked gene. This result could be traced back to allelic mutation (from A to a) for radicle development trait in unique parental materials during the long course of natural evolution in the fields. When the individual tree with AA or Aa located in a locus controlling redicle development, the seedlings have the normal radicle development and can be survived, completing full life cycle in the fields. Conversely, the offspring with aa (lethal recessive mutation) derived from the crossing between both parents with Aa genotype have not functional root and ultimately, they were eliminated by the nature because it cant absorb the nutrient materials from soil in the field. The seedlings phenotype with non-rooting is distinct from that of previously described mutants (Scheres et al. 1995; Willemsen et al. 1998; Kubo et al. 1999), which have no visible root organ. To our knowledge, this is the first mutant of poplar to be shown to lack visible root organ and the seedlings with recessive loss of function mutations were made during the long natural evolution course in P. tomentosa. However, mutant is the excellent analytical material for expression and function of gene and it is the presently developmental direction for functional genomics in plant. Therefore, these seedlings without visible functional root obtained from our experiment will provide ideal model system to unravel the genetic basis for organ development in forest trees.
In our study, combination of Bulked Segregant Analysis and AFLP methodology was successfully employed to identify markers associated with radicle development trait and detected two AFLP markers tightly linked to the loci controlling radicle development in P. tomentosa. This method allows rapid detecting the markers tightly linked to the target trait segregating in the F1 progeny, not required in the near-isogenic line, F2 and backcross population. The recent development of AFLP marker is quite ideal technology for tagging of gene with BSA in P. tomentosa. Enough primer pairs, spanning the average-frequency restriction sites, could scan the entire genome at the DNA levels. In our study, we identified two markers E65/M34-492, E65/M51-502 tightly linked to the radicle development trait only using 78 EcoR I + 3/Mse I + 3 combinations in the short time. This indicated that AFLP overcomes the problems of low polymorphisms between intraspecific individuals and it is the fast technique for detecting specific genomic region controlling organ development in poplar. Furthermore, these identified AFLP markers should be converted to a simple, rapid and not costly PCR marker type like STS or SCAR marker to enhance and economize the breeding programs. However, it is required to isolate and clone the gene controlling the radicle development and comparative study the structures and function of this gene to substantiate these putative results. Identified molecular markers tightly linked to target trait is the first starting point for isolation of gene controlling radicle development trait in P. tomentosa.
Celenza, J.L., Grisafi, P.L. and Fink, G.R., 1995. A pathway for lateral root formation in Arabidopsis thaliana. Genes Dev. 9: 2131-2142
Cervera, M.T., Gusmao, J., Steenackers, M., Peleman, J., Storme, V., Van, B.A., Van, M.M. and Boerjan, W., 1996. Identification of AFLP molecular markers for resistance against Melampsora larici-populina in Populus. Theor. Appl. Genet. 93: 733-737
Cheng, J.C., Seeley, K.A. and Sung, Z.R., 1995. RML1 and RML2, Arabidopsis genes required for cell proliferation at the root tip. Plant Physiol. 107: 365-376
Kosambi, D.D., 1994. The estimation of map distances from recombination values. Ann. Eugen. 12: 172-175
Kubo, H., Peeters, A.J.M., Aarts, M.G.M., Pereira, A. and Koornneef, M., 1999. ANTHOCYANINLESS2, a homeobox gene affecting anthocyanin distribution and root development in Arabidopsis. Plant Cell 11: 1217-1226
Laux, T. and Jürgens, G., 1997. Embryogenesis: A new start in life. Plant Cell 9:989-1000
Mather, K., 1938. The measurement of linkage in heredity (Methuens monographs on biological subjects). Methuen, London
Mayer, U., Torres, R.R.A., Berleth, T., Misera, S. and Jürgens, G., 1991. Mutations affecting body organization in the Arabidopsis embryo. Nature 353: 402-407
Michelmore, R.W., Paran, I. and Kesseli, R.V., 1991. Identification of markers linked to disease resistance genes by bulked segregant analysis: a rapid method to detect markers in specific genomic regions by using segregating populations. Proc. Natl. Acad. Sci. USA 88: 9828-9832
Sax, K., 1923. The association of size differences with seed-coat pattern and pigmentation in Phaseolus vulgaris. Genetics 8: 552-560
Scheres, B., Wolkenfelt, H., Willemsen, V., Terlouw, M., Lawson, E., Dean, C. and Weisbeek, P., 1994. Embryonic origin of the Arabidopsis primary root and root meristem initials. Development 120: 2475-2487
Stirling, B., Newcombe, G., Vrebalov, J., Bosdet, I. and Bradshaw, H.D., 2001. Suppressed recombination around the MXC3 locus, a major gene for resistance to poplar leaf rust. Theor. Appl. Genet. 103: 1129-1137
Vernoux, T., Wilson, R.C., Seeley, K.A., Reichheld, J.P., Muroy, S., Brown, S., Maughan, S.C., Cobbett, C.S., Montagu, M.V., Inzé, D., May, M.J., Sung, Z.R., 2000. The ROOT MERISTEMLESS1/CADMIUM SENSITIVE2 gene defines a Glutathione-Dependent pathway involved in initiation and maintenance of cell division during postembryonic root development. Plant Cell 12: 97-110
Villar, M., Lefèvre, F., Bradshaw, H.D. and Ducros, E.T., 1996. Molecular genetics of rust resistance in poplars (Melampsora larici-populina Kleb/Populus sp.) by bulked segregant analysis in a 2x2 factorial mating design. Genetics 143:531-536
Vos, P., Hogers, R., Bleeker, M., Reijans, M., Van, L.T., Hornes, M., Frijters, A., Pot, J., Peleman, J., Kuiper, M. and Zabeau, M., 1995. AFLP: a new technique for DNA fingerprinting. Nucleic Acids Res. 23: 4407-4414
Wilcox, P.L., Amerson, H.V., Kuhlman, E.G., Liu, B.H., Malley, D.M.O. and Sederoff, R.R., 1996. Detection of a major gene for resistance to fusiform rust disease in loblolly pine by genomic mapping. Proc. Natl. Acad. Sci. 93: 3859-3864
Willemsen, V., Wolkenfelt, H., Vrieze, G., Weisbeek, P., Scheres, B., 1998. The HOBBIT gene is required for formation of the root meristem in the Arabidopsis embryo. Development 125: 521-531
Zhang, Z.Y., Huang, Z.Y., Zhang, D.F., Su, F.W., Zhang, Y.H. and Dong, F.X., 1992. An investigation on flowering and bearing of clones in the arboretum of Populus tomentosa. J. Beij. Fore. Univ. 14: 41-51
| [1] Institute of Populus tomentosa,
Beijing Forestry University, Beijing 100083, China. Email: [email protected] |