Oyster culture begins with seed production. The production of oyster seed can be carried out on a large commercial scale, depending on the biological characteristics of oyster, the environmental conditions, and economic factors. Most of the spats for culture are collected along the southern coast of Korea.
The southern coast of Korea is the major producing area of spats due to favourable biological and environmental conditions; it has a large broodstock population, water temperature is suitable for spawning, the environment is suitable for larval growth and the geographical condition is such that collection of oyster larvae is easy.
1. Geographical condition. The major producing area of oyster spat along the southern coast is largely divided into two areas: one is a comparatively deep place, as in Changwon and Goje Bay (Figure 4-1). The other is a shallower place, as in Namhae Island and Gohung (Figure 4-2).
The range of water movement in Changwon and Goje Bay is narrow due mainly to the small tidal range. Thus, the distribution range of oyster larvae is also narrow

Figure 4.1. An example of geographical and environmental situation for mobile spat collection.

Figure 4-2. An example of geographical and environmental situation for fixed spat collection.
The distribution of larvae varies according to tidal current and water movements between the numerous islands near these bays. Dense communities of larvae are formed in these bays (Yoo et al, 1971). The collecting area is the place where a high density community is formed.
The vertical and horizontal distribution of larvae is nearly constant in the bay which relatively shallow.
2. Water temperature. The surface temperature of the Korean coast, increasing from March, is highest between July and September and decreasing gradually from there on. It is lowest between January and February.
The tendency in water fluctuation is related to latitude and water depth. For example, the surface temperatures of Sinhuk-Ri and Sani-Myon in the western coast are below 10 degrees Celsius and those of Ogu-Ri and Limyong-Ri in the southern coast are about 12 degrees Celsius in mid-April. The tendency of water temperature to rise at Sani-Myon is similar to that of Limyong-Ri after mid-April. The temperature in Ogu-Ri, where the water is relatively deep, increases more slowly than in other areas. The temperature in northern Sinhuk-Ri is below 8 degrees Celsius until mid-April and about 12 degrees Celsius until mid-May, after which the water temperature increases rapidly.
At its highest, the surface temperature of Sani-Myon and Limyong-Ri is about 25 degrees Celsius. The decreasing tendency of water temperature during October is similar in all the stations; it gradually increases within the range of 16 to 20 degrees Celsius. In Ogu-Ri and Sani-Myon in the western coast, the surface water temperature decreases rapidly from November until, in winter, it is approximately 0 to 6 degrees Celsius. However, the surface water temperatures of Ogu-Ri and Limyong-Ri decrease more slowly than in other areas; the lowest water temperature in winter is 9 degrees Celsius at Ogu-Ri and 11 degrees Celsius at Limyong-Ri (Figure 4-3). Maturation and spawning phases of oyster undergo changes with the rising pattern of water temperature.

Figure 4-3. Changes in water temperature in some oyster-growing areas.
3. Oyster broodstock and fertility. The origin of the oyster broodstock varies among different localities. In the inner coast and deep waters of Changwon and Goje Bay, oyster broodstock are cultivated from hardened oyster spats. In the tidal zone where the water is shallow, they are mostly from nature.
In oyster broodstock cultivated from hardened spats the amount of spawning can be estimated from the number and density of facilities (Figure 4-4). However, the number of brood oysters changes because the number of facilities for culture varies every year.

Figure 4-4. The proportion of gonad size to total size in cross-section of spat oyster.
The fertility of an oyster is also related to the size of the oyster itself. For example, a two-year-old oyster does not only give a bigger spawn; it also yields more eggs than a one-year-old oyster. Generally, a female oyster can spawn tens of millions of eggs. When an oyster meat weighs about 50g, the number of eggs can be estimated to be more than a billion.
A two-year-old oyster cultivated by hanging culture spawn later in the rising period of water temperature or early in the period of falling water temperature (Yoo et al, 1971). Therefore, the number of larvae liberated from a two-year-old adult specimen decreases gradually due to the lowering of the water temperature. In the inner coast where the water is deeper, oyster broodstock are mostly two-year-olds.
At Goje Bay where water is deep and at Namhae-Do (Cha-Myon) where it is shallow the number of brood oysters and the amount of eggs spawned are shown in Table 4-1. The table shows that the number of brood oyster increases annually. Therefore, the amount of oyster that can be collected increases.
The amount of spat produced may also change annually due to environmental factors. The effect of natural conditions on the production of spats is inconsistent.
| Year | Gŏje Bay | Namhae-Do | ||
| Brood oysters | Eggs spawned | Brood oysters | Eggs spawned | |
| 1969 | 1,725 × 104 | 375 × 1012 | 63 × 104 | 128 × 1010 |
| 1970 | 6,025 × 104 | 1,309 × 1012 | 68 × 104 | 139 × 1010 |
| 1971 | 13,075 × 104 | 2,842 × 1012 | 76 × 104 | 156 × 1010 |
| Spat | Mortality (%) |
| Hardened | 18.2 |
| Ordinary | 42.6 |
| Time of exposure | Spat | Hardening period (Sep. to Mar.) | Culturing period (Apr. to Sep.) |
| 8 | Hardened | 7.3% | 18.2% |
| 5 | Hardened | 21.8% | 27.6% |
| 0 | Ordinary | 32.7% | 42.6% |
One method of producing oyster spat consists of the fixed collecting method (a collecting table is set up and collectors are hung on the collecting table). It used to be the only method for producing spat oyster. Recently, however, the movable method (hanging collector) has become popular.
The success of spat collection is influenced by the environmental conditions of the collecting ground. Selection criteria for collecting grounds are as follows:
1. Fixed collecting ground
The place is the natural habitat of oyster and where oyster can be cultured.
Southward coastal areas which are under little influence of waves.
Bottom is not a steep slope and has estuarine silt mixed with sand.
The wind blows towards the collecting sites during the collecting period.
here is little inflow of fresh water without wide variation in salinity values.
Where eddy occurs.
There is abundant phytoplankton for oyster to feed on.
There is no factory in the neighborhood, no industrial or domestic pollution, and the red tide does not occur.
Current is smooth and velocity is in the range of 5 to 7 cm/sec.
Not infested with predators like starfish, gastropod, barnacle, polychaeta and mussels, as well as fouling organisms.
Labour is abundant.
2. Movable collecting ground
The place is a natural oyster ground and where oysters can be cultured.
The place where one can establish facilities made of ropes and rafts in water more than 5m deep.
The wind blows towards the collecting sites, and the inner coast is calm during the collecting period.
There is little inflow of fresh water without wide salinity variations.
Current is slow and velocity is 5 to 7 cm/sec.
Pacific oysters are separate in sex although hermaphrodites occur occasionally. The sex is determined only by examining the reproductive tissue. Adult oysters which can spawn are mostly over one year old.
With the transition of autumn into winter, the water temperature begins to fall and glycogen storage begins. Under normal weather conditions, full ripeness is attained in most of the Korean waters by the end of June. Eggs appear as tiny cream-coloured granules, barely visible to the naked eye; the sperm which is extremely minute is a pure white material and runs in thin streams.
The fertility of a Pacific oyster is related to its size and the state of its nutrition. The number of eggs produced by an average market-sized oyster has been estimated at 50 to 100 million; the number of sperm at much more.
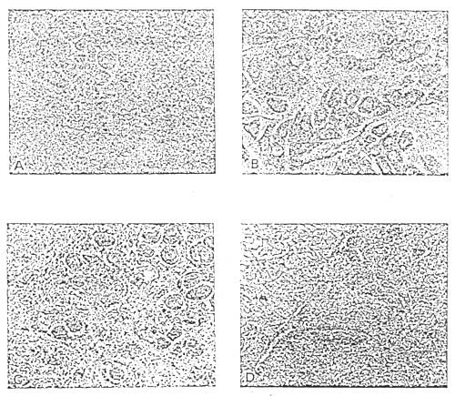
During winter, the surface of a fat oyster is smooth and even, but with the onset of sexual maturity it becomes deeply veined. This veined gonad covers both sides of the anterior end of the oyster and takes up a considerable portion of the body weight. Figure 4-5a shows a section of eggs tightly packed in blind sacs called follicles, and the tubules through which the eggs are discharged.
Details of the seasonal gonadal changes are as follows (Figure 4-5, 4-6):
Spawning of the Pacific oyster may occur anytime between late June and early September but most often in late July and early August. After complete spawning, the body of the oyster is nearly transparent and the gonad follicles tend to collapse and contain only a few gamete cells and tissue fragments. The condition of the oyster at this stage is at its lowest level.
By November the level of winter conditions has been established: the follicles have shrunk to small compact islands of germinal tissue scattered throughout the mass of vesicular connective tissue, which has filled in the inter-follicular spaces as well as the area between the gonad and the epithelium.
The relative amount of this connective tissue determines the condition of the oyster. The main outer gonaduct separates the gonadal area from the outer connective tissue area where no germinal material occurs. At this stage some of the follicles that have not completely closed up may contain a few eggs or sperm; in the few cases of partial spawning, only the outer follicles would be involved.

Figure 4-5. Gonad sections of female Pacific oyster (C. gigas) showing seasonal changes. A, ripe female with gonad covered with a thin layer of glycogen-rich tissue; B, partially spawned female with a few relict eggs; C, female in fall condition with follicles closing in on the relict ova; D, female in spring condition with early-stage developing eggs on follicle margins. (x100)

Figure 4-6. Gonad sections of male Pacific oyster (C. gigas) showing seasonal changes. A, ripe condition prior to spawning; B, partially spawned gonad with the follicles nearly empty; C, early development of male gonad; D, gonad approaching ripeness with developing cells in the outer portion of the follicle. (x100)
The gonad is generally undifferentiated as to sex at this time (November) and this condition prevails throughout winter. It is not until April that early stages of gonad proliferation and differentiation may be noted. The maximun stage of development has been observed in late April in female specimens. About 25 percent of the gonad area is occupied by follicular material. By mid-May gametogenesis is well underway, and about 50 percent of the potential gonadal area is filled with expanding follicles.
By the end of June all animals are fully ripe with the follicles tightly packed with eggs and sperm. Only a very thin layer of vesicular connective tissue covers the gonad. This condition persists until spawning although an occasional partially spawned individual may show proliferation of connective tissue between the spent follicles.
During the spawning process, the female discharges the ova into suprabranchial chambers, from which they are forced through the gill ostia (apertures) into the mantle chamber. From this chamber, the eggs are ejaculated into a small cloud. This process is accomplished by adjustment of the mantle edges and by vigorous action of the adductor muscle. Discharge of eggs is intermittent, five to ten times per minute. They are propelled at a distance of 12 inches or more from the oyster.
The male oyster discharges its sperm in a thin steady stream, also into the suprabranchial chamber. However, instead of passing through the gill apertures against the current, as do the eggs, they are carried out in the normal exhalant stream of water. Thus the eggs and sperm are discharged on opposite sides of the oyster.
Spawning may be brought about by temperature shock, by chemical stimulation, or by a combination of both. It is thought that the large mass spawnings that occur in molluscs such as the oyster, indeed in a number of other marine animals, are necessary to create the concentration of gametes needed to ensure fertilization when sexual products are discharged freely into the open water. The presence of sexual products of the oyster in waters where other oysters are feeding is usually enough to stimulate spawning. This fact makes it possible to induce large quantities of oysters to spawn.
In Korea, the salinity range for development (breeding) of the Pacific oyster is between 11 ‰ and 32 ‰ the optimum is considered to be between 20 ‰ and 25 ‰ development can take place within the temperature range of 14.5 to 30 degrees Celsius, with the optimum at about 24 degrees Celsius. In Korea, the salinity requirements are easily met, but the optimum temperature occurs rarely.
Oyster and scallop shells are used as collectors. Other types include PVC tubes, cement and other materials but these are not practical because spat oysters become detached from the surface during culture. Oyster shells are used for both long-line and raft culture methods and scallop shells for the long-line method.
Besides PVC tube, polyethylene string, wire and other materials are used as collector accessories.
The oyster cultch that is mainly used in Korea is the uneven right shell. A hole is drilled on the center of the shell and a string is threaded through it. With the scallop shells, a PVC tube is placed between shells. A desirable collecting string can generally accommodate from 60 to 80 shells per meter of hanging string. If scallop shells are used, the PVC tube between shells should be two to three cm long.
The water layer that Pacific oyster can adhere to (except in special waters with vertical mixed current) is from the high tide line to 1 and 2 m below the ebb tide line. In this range, the middle water layer provides the best opportunity for Pacific oysters to adhere.
In the coast, the natural settlement layer of Pacific oyster is generally the exposure time between three and six hours (Figure 4-7). The tendency of Pacific oysters to adhere varies according to water depth or collecting method (Figure 4-8).
If the water in a bay is shallow, the fixed collecting method is generally used. If water is shallow, the vertical adherent range is narrow. Conversely, it is wide where water is deep. On the other hand, where the water depth in a bay is deep, the hanging method for collection is generally used. In this case, Pacific oysters tend to adhere in a concentric manner.
After considering the water depth and the collecting method that best suits the site, collectors are placed in the desired site. There are two methods for collecting spat: the fixed (stick collecting method) and the hanging (raft collecting method).
The fixed collecting facility such as a stick is used in muddy tidal areas. The facility is about 25 m long, 2 m wide and 2 m high. Based on the results of spatfall forecast, the cultch strings are vertically hung to collect pacific oysters. If the collecting bed is narrow and the depth is shallow, the cultch strings is horizontally laid across the collecting bed (Figures 4-9, 4-10). The cultch string used at this time is about three meters long and, if it is suspended vertically, half of it is laid across the collecting bed.
In a floating unit, the cultches are vertically hung, totally submerged in the water. For culturing one-year-old oysters, the string culture method is used from the beginning. The string used for collection is also used for culture.

Figure 4-7. Depth range where natural setting of the Pacific oyster occurs.

Figure 4-8. Distribution of oyster larvae by water depth.
1. Environmental Factors and Spawning
There are physical and chemical factors that induce oysters to spawn but the most common are water temperature and specific gravity. Pacific oysters from Korea spawn mainly at 20 to 25 degrees Celsius and specific gravity of 1.014 to 1.021. However, the period of reproduction varies according to the locality. Depending on the spawning period of oyster at various sites, the collecting period can be divided into prior-collection and post-collection.
a. Prior seed collection
Prior seed collection is carried out before water temperature begins to rise, which is in early summer. After seed collection, either of these activities is gradually carried out:
After two to three weeks, the untrained spats are transported to the culture sites.
The spats are left at the collecting site until the end of September, and when they reach a size of 10 mm, they are placed in hardening racks.
b. Post seed collection
Post seed collection is carried out towards the end of an ascending period, or at the beginning of a descending period of water temeprature, usually around August to September. If left for a long time after collection, adhered spats become feeble or a lot of them are lost by current movement. Thus spats have to be trained at hardening racks two weeks after settlement.
Merits of hardened seed (Tables 4-2, 4-3)
It is treated easily in relatively small size.
None is lost in handling.
Mortality during culture is less than with ordinary spat because it is more resistant.
Culture period is relatively short because of rapid growth.
Culturist can make plans for culture management.
2. Relation of exposure time and adherence of spats
The fixed collectors may become fouled with organisms like barnacles if exposed for some time. The hanging method faces no such problem because the collecting string is suspended in water. The best place where spat oysters adhere is exposed from two to four hours (Table 4-4).
3. Vertical distribution of oyster larvae
With the hanging method, the collecting layer is determined by the vertical distribution of oyster larvae. Oyster larvae are not always uniformly distributed vertically and horizontally because of rapid changes in environmental conditions. These larvae generally gather in a place where current flows across or eddy occurs. The distributional layer of oyster larvae also depends on the tide. Oyster larvae usually concentrate in the upper 2m of the water column as indicated in Table 4-5 and Figure 4-8.

Figure 4-9. Structure of a rack for oyster seed collection

Figure 4-10. Seed-collecting rack of the Pacific oyster
| Description | Period of time for exposed | ||
| 2 hrs. | 4 hrs. | 6 hrs. | |
| Collecting strings | 59 ea. | 55 ea. | 54 ea. |
| Settled seed oysters | 1,829 ea. | 1,829 ea. | 1,695 ea. |
| Settled seed oysters for each cultch | 2.38 ea. | 3.10 ea. | 2.41 ea. |
| Station | No. of oyster larvaea | Remark | |
| Namhae | Changwon | ||
| 1 | 26 | 24 | Inner coast |
| 2 | 17 | 31 | |
| 3 | 9 | 3.1 | |
| 4 | 3 | 3.7 | |
| 5 | 4 | 31 | |
| 6 | 2 | 6.9 | |
| 7 | 1.6 | ||
| 8 | 53 | Outer coast | |
4. Investigations needed for collection of seed oyster
Spatfall forecasting predicts the proper times, water areas and water layers for collecting oyster larvae. The season for spat collection is when the number of settled spats increases more and more.
For the forecasting of seed collection, the following activities are performed:
Environmental investigation: Water temperature, salinity, current direction and velocity, wind direction, turbulence and rainfall are investigated, if possible.
Larval investigation
horizontal investigation - after selecting a given station, a sample is collected by towing a plankton net (diameter 30 cm, mesh size XX 20) at a depth of 30 cm to 100 m.
vertical investigation - after selecting a given layer, a sample is collected by towing vertically a plankton net (diameter 30 cm, mesh size XX 20).m