Manmatha Nath Sarker,
Marine Fisheries Survey Management and Development Project,
Cox's Bazar, Bangladesh.
ABSTRACT
Bi-monthly sampling of seaweed from the coastal area of Bangladesh was carried out during July, September and November 1992; January, March and May, 1993; and July and September 1994. Gracilaria spp. was not found during the study. Data regarding the ecological conditions of the coastal areas are presented. Seawater temperatures varied from 25–27 °C, salinites from 21–35 ppt and turbidity from 30–68 cm during the period of the study. Amongst the 19 groups of seaweed collected, most were found only from November to March. The most abundant species were Asparagopsis taxiformis, Hypnea spp. and Sargassum spp. Agar extraction from A. taxiformis showed that the lowest yields (4.23% + 0.70) were obtained during January and highest (12.7 % ± 0.53) were obtained during March. The report recommends the introduction of Gracilaria spp. from neighbouring countries for the specific purpose of improving water quality in shrimp farms and also to manage and exploit resources like Hypena spp. and Sargassum spp.
1. INTRODUCTION
Priority problems in Bangladesh were identified as the taxonomy, ecology and analysis of Hypnea spp. of red seaweeds, but as agreed at the workshop, most participating countries would concentrate on Gracilaria spp. According to the Action Plan of the workshop (Annex I-1), bi-monthly sampling of sea weeds in the St. Martins island and Teknaf beach area of Bangladesh where seaweed is available, was carried out. Altogether, 6 samplings were carried out on: July 17, September 13 and November 12 of 1992; and January 10, March 09 and May 06 of 1993. Two more collections were carried out in July and September of 1994. No Gracilaria was found in any of the samplings so it was not possible to send herbarium or colloid samples to the referral centres at Kasetsart University, Faculty of Fisheries and Biopolymer Research Unit of Srinakarinvirot University, respectively. The ecological data collected from the seaweed growing areas (shown in Figure 1) are presented in Table 1.
Table 1: Ecological data from seaweed growing area at St. Martins Island, Bangladesh.
| Date | Time | Tide | Water Temp (°C) | Salinity (ppt) | Turbidity (cm) | Season | Weather | Remarks |
| 17/7/92 | 17.00 | low | 25.00 | 21.00 | 30.00 | Rainy | Rainy | Seaweeds absent |
| 13/9/92 | 16.00 | low | 25.00 | 26.00 | 45.00 | Autumn | Sunny | Seaweeds absent |
| 12/11/92 | 16.00 | low | 27.00 | 34.00 | 52.40 | Winter | Sunny | Seaweeds available |
| 10/1/93 | 16.00 | low | 25.00 | 34.00 | 67.18 | Winter | Sunny | Seaweeds available |
| 9/3/93 | 16.00 | low | 27.82 | 35.0 | 67.98 | Summer | Rainy | Seaweeds available |
| 6/5/93 | 15.30 | low | 25.60 | 31.0 | 55.85 | Summer | Rainy | No seaweeds found |
| 24/7/94 | 16.00 | low | 25.00 | 21.00 | 30.00 | Rainy | Rainy | No seaweeds found |
| 20/9/94 | 15.30 | low | 26.00 | 25.00 | 45.00 | Autumn | Sunny | No seaweeds found |
Figure 1: The seaweed growing area around St. Martin's Islands, Bangladesh.

2. OBSERVATIONS AND CONCLUSIONS
Bangladesh is situated in the north-eastern part of the Bay of Bengal. The country is blessed with a network of rivers which continually discharge a large amount of silt to the estuarine environment. Most of the time, the coastal waters are turbid and turbidity is higher in the rainy season. As a result, some plant and animals of oceanic origin cannot exist in such waters. A thorough, all year round investigation was conducted in the seaweed growing area but no Gracilaria spp. was found. The reason behind the lack of Gracilaria spp. has not yet been ascertained. The list of seaweeds found is presented in Table 2.
Among the seaweeds available, red seaweed of the genus Hypnea spp. and brown seaweed of the genus Sargassum spp. were dominant. It has been estimated that about 200 tonnes of dried Hypnea spp. and another 1,000 tonnes of dried Sargassum spp. is available in Bangladesh, but there are presently no commercial uses for these species.
Table 2: List of the seaweed resources of Bangladesh.
| Sl.No. | Scientific Name | Type | Abundance |
| 01 | Actinotrichia fragilis | R.S. | + |
| 02. | Asparagopsis taxiformis | R.S. | +++ |
| 03. | Calliblepharis spp. | R.S. | + |
| 04. | Caulerpa spp. | G.S. | ++ |
| 05. | Ceramium spp. | R.S. | + |
| 06. | Chysymenia spp. | R.S. | + |
| 07. | Colpomenia sinuosa | R.S. | ++ |
| 08. | Cthonoplastis spp. | R.S. | ++ |
| 09. | Dictyota spp. | R.S. | + |
| 10. | Galaxaura spp. | R.S. | + |
| 11. | Halymenia spp. | R.S. | + |
| 12. | Hydroclathrus clathratus | B.S. | ++ |
| 13. | Hypnea spp. | R.S. | +++ |
| 14. | Liagora spp. | R.S. | + |
| 15. | Lobophora variegata. | B.S. | + |
| 16. | Padina spp. | B.S. | + |
| 17. | Sargassum spp. | B.S. | +++ |
| 18. | Scinaia complanta | R.S. | + |
| 19. | Vanvoorstea coccina | R.S. | + |
| R.S. | = Red seaweeds |
| B.S. | = Brown seaweeds |
| G.S. | = Green seaweeds |
| + | Nominally available |
| ++ | Moderately available |
| +++ | Abundantly available |
Studies were conducted to find out the agar content of one red seaweed, Asparagopsis taxiformis. The results of agar extraction of A. taxiformis are presented in Table 3, with the percentage of agar calculated in different months. It should be mentioned that the species A. taxiformis was not available during the months of November and December 1992 and April, 1993.
The lowest percentage of extracted agar (4.23 + 0.70) from a dry sample was recorded in January, 1993 and the highest percentage of agar (12.70 + 0.53) from a dry sample was recorded in March 1993. From the minimum value, agar content in A. taxiformis increased gradually and finally in March 1993, it reached its maximum value. Agar contents were lower in the months of January and February and higher in the month of March, 1993.
Table 3: Percentage of agar contents in A. taxiformis in different months during the period of investigation.
| Observation No. | November (%) | December (%) | January (%) | February (%) | March (%) | April (%) |
| 1 | - | - | 4.30 | 9.30 | 13.35 | -- |
| 2 | - | - | 3.34 | 10.50 | 12.73 | -- |
| 3 | 5.08 | 9.68 | 12.03 | -- | ||
| Mean | - | - | 4.23 | 9.83 | 12.70 | -- |
| SD | - | - | +/-0.73 | +/-0.50 | +/- 0.53 | -- |
3. RECOMMENDATIONS
On the basis of a review of historical data and the present study, the following work should be considered in Bangladesh, in co-operation with NACA/ IFREMER, Kasetsart University and Srinikaronvirot University, Bangkok, Thailand:
Research into the possibility of culturing Gracilaria spp. in Bangladesh using introductions from the contiguous coastal areas in Myanmar.
Research into the extraction of phyco-colloids from the available seaweed resources, such as Hypnea spp. and Sargassum spp.
Research into the potential of Hypnea spp. and Sargassum spp. for culture.
Peizhi Lian,
Food Engineering Department,
Fisheries College, Jimei University, China.
ABSTRACT
In 1993, China produced 450 tonnes of agar, 260 tonnes of which came from Gracilaria spp. More than half of the agar produced is consumed locally. Gracilaria spp. is cultured in Hainan, Guangdong and Fujian, with Hainan as the major producer, 28 species of Gracilaria have been reported.
The present study concentrated on G. lemaneiformis, G. asiatica and G. tenuistipitata. As far as possible, with the limited time available, the ecological conditions (mainly salinity and temperature) of the various species (including varieties in some cases, as in G. tenuistipitata) were correlated with the extracted agar yield and quality. The agar contents were high and gel strength was good (<500–608 g/cm2). Different methods of extracting agar were compared. No species was specifically prioritised for culture, but the three species described are already being cultured. Further study was recommended.
1. INTRODUCTION
Due to its fast growth and high agar content, Gracilaria has been one of the main species of seaweed used for extracting agar in the world for the last sixty years. At present, agar is widely utilised in a variety of industries, including food production, pharmacological, chemical and light industries as well as scientific research. The demand for agar is increasing and the agar properties of Gracilaria spp. are very significant for the culture and processing industries.
A number of agarophytes have been used as traditional Chinese medicines for cooling and relieving internal heat for over a thousand years. However, the agar industry in China was initiated only in the 1950's, with wild Gelidium spp. as the main material and Gracilaria spp. as a subsidiary material. With the accelerating pace of advances in culture techniques for Porphyra hainanensis and Gracilaria spp., however, these two species have been the main agarophytes in China since 1980. The quantity of agar produced reached approximately 450 tonnes in 1993, including 80 tonnes of Gelidium spp. agar, 110 tonnes of P. hainanensis agar and 260 tonnes of Gracilaria spp. agar (Table 1).
Table 1: Out put, price and export quantity of agar in China in 1993.
| Seaweed of agar | Output of agar (tonne) | Price (US $/tonne) | Quantity of export (tonne) |
| Gelidium spp. | 80 | 13000–16000 | |
| Gracilaria spp. | 260 | 14000–17000 | 90 |
| Porphyra hainanensis | 110 | 15000–21000 |
More than half of the total output was consumed by the domestic market, mainly for the production of jellies, candies, stabilisers of granulated orange squash, dispersive pastes, drugs, smooth laxatives and
culture medias in bacteriology. The rest was exported to western Europe and other south-east Asian countries in the region, such as Japan, Malaysia and Taiwan. The prices of the agar product varied depending on seaweed species, product quality and demand in the agar market. The price of agar from P. hainanensis with a high agarose content and gel strength, is generally higher than that of the other two. In order to improve the quality of G. tenuistipitata var. liui agar, Gracilaria spp. and P. hainanensis are mixed in a proper ratio before the agar is extracted. Most of the agar yielding plants are distributed over the coastal areas of China, in areas such as Shanghai and the provinces of Shangdong, Fujian, Guangdong, Hainan and Guangdong. Most of the seaweed culture areas are private enterprises. About 35 agar processing plants in Fujian were set up between 1984 and 1987, but only about 10 plants remain now as a result of poor management, lack of circulating capital and free competition. In the northern part of China, the main raw material for agar is mainly Gelidium spp., but Porphyra spp. and Gracilaria spp. are the main species in Fujian, and Gracilaria is the main species in Hainan, Guangdong, Guangxi and Shanghai. In the last three years, the output of agarophytes has failed to meet the demands of processing plants and some plants have had to import Gracilaria spp. from Vietnam, the Philippines and other south-east Asian countries.
Before 1980, the agar industry used wild agarophytes as its raw materials, but supply soon fell short of demand. During 1958–1963, some scientific research units studied the artificial culture of G. asiatica, G. tenuistipitata and G. lemaneiformis with floating raft and floating nets in the inter-tidal zone. Good results were obtained, but the researchers did not attach any importance to them. In 1977, G. tenuistipitata var. liui, which has a very high regenerative capacity and simple culture methods, was found in a low salinity area in Hainan province. Gracilaria culture has spread over Hainan, Guangdong, Guangxi and Fujian. The output of cultivated Gracilaria increased from 107 tonnes in 1982 to 3,340 tonnes in 1993 (Table 2). The yield per hectare was about 1.12–2.49 tonnes. The reason for the low yield was poor management and some of the Gracilaria was sold to Taiwan province.
Table 2: Annual culture area and output of Gracilaria spp. in China.
| Year | Guangdong | Hainan | Fujian | |||
| Culture area (ha) | Output (tonnes) | Culture area (ha) | Output (tonnes) | Culture area (ha) | Output (tonnes) | |
| 1982 | 43 | 107 | ||||
| 1984 | 123 | 120 | 364 | 615 | ||
| 1986 | 330 | 695 | 1,051 | 1,285 | ||
| 1987 | 150 | 200 | 940 | 983 | ||
| 1993 | 233 | 420 | 823 | 2,830 | 80 | 90 |
From 1987–1990, there was a decline in the culture area of Gracilaria due to high profits from shrimp culture and real estate. Some shrimp farmers soon switched back, however, because of serious shrimp disease problems. The depression of the real estate market also meant that fewer seaweed farmers were selling their land. In 1993 and 1994, the price of Gracilaria seaweed increased by over 60 % and it is believed that there will be an upsurge in Gracilaria culture in China in a couple of years time.
2. TAXONOMY OF THE MAIN SPECIES OF GRACILARIA IN CHINA
Gracilaria spp. is distributed all along the coast of China, particularly in southern China including Hainan, Guangdong, Guangxi and Fujian, where warm seawater, rich in nutrients is very suitable for its growth. A total of 27 species (including two varieties) were described by Xia, (1975) in mainland China (Table 3). Among them, the species of wide distribution and suitable for culture were: G. tenuistipitata var. liui; G. asiatica; G. tenuistipitata; G. chouae, G. blodgettii; G. articulata; and G. chorda, but only G. tenuistipitata var. liui has been widely cultured, the rest are undeveloped. The reason for G. tenuistipitata var. liui culture is that this species is a perennial plant which is euryhaline and eurythermal, with vegetative propagation. Its seedlings are also readily available and it grows easily and fast (except for high summer temperatures) and has several good harvests a year. Another species of Gracilaria cultured for abalone forage in Dongshan Island, Fujian province, is characteristic of that of G. tenuistipitata var. liui, but it has no been properly identified yet.
Table 3: Species and distribution of Gracilaria sp. in China.
| No. | Species | Distribution |
| 1. | G. arcuata | Hainan. Kongsha Is.. Xisha Is. |
| 2. | G. articulata | Hainan |
| 3. | G. asiatica var. asiatica | Widely distributed on mainland coast |
| 4. | G. asiatica var. zhengii | Fujian. Guangdong |
| 5. | G. bailinae | Hainan |
| 6. | G. blodgettii | Hainan. Fujian, Guangdong |
| 7. | G. chorda | Hainan |
| 8. | G. chouae | Fujian |
| 9. | G. coronopifolia | Taiwan, Haina |
| 10. | G. cuneifolia | |
| 11. | G. eucheumoides | Hainan |
| 12. | G. fanii | |
| 13. | G.firma | Guangdong |
| 14. | G. gigas | Guangdong |
| 15. | G. glomerata | |
| 16. | G. hainanensis | Hainan |
| 17. | G. lemaneiformis | Shandong |
| 18. | G. lingula | Xiamen city of Fujian |
| 19. | G. longirostris | |
| 20. | G. megaspora | Fujian |
| 21. | G. mixta | |
| 22. | G. salicornia | Hainan |
| 23. | G. spinulosa | Taiwan, Hainan |
| 24. | G. tenuistipitata | Guangdong, Guanxi, Hainan and Fujian |
| 25. | G. tenuistipitata var. liui | Guangdong, Guangxi, Hainan Fujian |
| 26. | G. textorii | Yellow sea |
| 27. | G. yamamotoi | |
| 28. | Gracilaria sp. | Dongshan Island of Fujian province. |
nb: No. 1–27 from Xia, 1985; Zhang and Xia, 1988; Abbott et al 1991; Zhang and Xia, 1992; 1994 ; No. 28 not identified
3. STATUS OF STUDIES ON GRACILARIA CULTURE AND ECOLOGY IN CHINA
Many studies on the ecology and culture methods of the red algal genus Gracilaria have been reported since the 1950's. Some studies in this field over the last twelve years are as follows:
Li Weixin (1982), studied the ecological habits of G. tenuistipitata at Zhanjiang Bay. The results showed that sporelings existed all the year round, but the most luxuriant time was in April–June when the water temperature was 25–29 °C. The vegetative growth of sporelings almost stopped in July–September when the water temperature was 30–35°C. However, the platelets in dormancy began to grow once again in October and became gametophytes and sporophytes in November, when the water temperature was 25–29°C. They grew vigorously throughout the winter and attained the fastest growth rate the following spring. The average growth rate of the generative thalli was 0.5–0.7 cm per day. Spring was the generative season of gametophytes and sporophytes when the water temperature was 22–23°C. They faded away in the hottest months from July to September when the water temperatures were 30–35 °C.
Liu (1989a), tested a new method spray cultivation for G. tenuistipitata. Intermittent spray culture was conducted in a system composed of a shed, a water pond and spraying apparatus. The production of G. tenuistipitata with this system increased by 5.18% as compared to that of the natural open sea. Moreover, natural predators in the open sea could be avoided and harvest was convenient. In addition, the thallus of Gracilaria sp. could make full use of sunlight, accelerating photosynthesis and promoting its growth. The water temperature could also be easily controlled.
In general, the output of G. tenuistipitata by pond scattering culture is low. Liu (1990) tested raft cultivation of seaweed in different layers of seawater and applied fertiliser to the alga in the pond. The results showed that alga near to the surface grew faster than those in deep water. He proposed that if the depth of water was over one meter, raft culture methods for G. tenuistipitata should be adopted with fish and shrimp cultivated in the same pond. Dip testing of the alga with a fertiliser of 2% urea showed that the output increased by 23% after 40 days cultivation as compared to the control group.
Zhang (1986, 1990), studied the relationship between the growth of G. tenuistipitata var. liui, illumination intensity and the specific gravity of seawater. The results showed that the range of suitable specific gravity of seawater was 1.005 to 1.015 and the optimum specific gravity was 1.010. When the specific gravity was more than 1.020, the growth of G. tenuistipitata var. liui decreased.
Branchlets of 1 to 3 cm in length also grew well in seawater of 1.010 specific gravity, the growth rate including the amount of branches per unit length. The growth rates of branchlets of 1 cm in length was better than that of those 3 cm in length. From the point of view of culture, the length of cutting branchlet should be more than 3 cm because the net length of growth was longer in 3 cm branchlets than in 1 cm. The depth of water was related to the temperature and transparency of sea water. In spring and winter when water transparency is 1.6 m, water depth should be kept around 20–40 cm (less than 50cm) when the water temperature is 13.2–17.1 °C . In the summer, water depths of 60–80 cm should be maintained when water temperatures are 31–34 °C and water depths of 40–60 cm should be maintained in the autumn.
Plant growth hormones are used to adjust and control the growth of plants. They were used to culture Gracilaria spp. in China by Liu (1989b), where the algae were immersed in seawater solutions of various concentrations of plant growth hormones for three hours, then cultivated by floating raft method for 20 days. During the experiment, the temperature of the seawater was 17–23°C, the specific gravity was 1.018 – 1.020, pH was about 8.2, and nitrate and phosphate concentrations were about 60 mg/m3 and 40 mg/m3, respectively. The results showed that the output of G. tenuistipitata var. liui increased by 12.1–83.6%, compared to the control group. Optimum concentrations of the various chemicals were as follows: Gibberllin, 70 ppm; 2,4-dichlorobenzoxyacetic acid, 7 ppm; Fengchansu, 0.7 ppm; Colchicine, 10–20 ppm; and a-naphthyl acetic acid, B-indol acetic acid and dipentadecyl carbinol, less than 10 ppm, 5 ppm and 300 ppm, respectively. Higher concentrations of plant growth hormones inhibited the growth of G. tenuistipitata.
Zeng (1990) took advantage of the vegetative propagation of G. tenuistipitata var. liui and the spore propagation of other Gracilaria spp., such as G. asiatica, G. tenuistipitata and G. lemaneiformis, and conducted a cross breeding experiment in laboratory. The results showed that the agar content of the hybrid was 8–13% lower than that of G. tenuistipitata var. liui and 10–12 % lower than that of G. tenuistipitata. The salinity required for growth was 15–17 ppt which was the same as that of G. tenuistipitata var. liui. The preliminary conclusion was that the hybrid could be cultivated in brackish water by vegetative propagation and it is a potential new culture species.
Ren and Chen (1986) studied the effects of temperature on the growth of G. asiatica. The results showed that the suitable temperature for gametophytes and sporophytes was 25°C and 15°C, respectively. The upper temperature limit was about 30°C and the lower temperature limit less than 5°C. Gracilaria spp. matured when temperatures were in the range of 10–25°C . The higher the temperature, the earlier the alga matured. Seedlings mainly came from the disc-like holdfast of old branches in the natural sea. The decrepit algae were replenished by new buds sprouted from new spores. In addition, G. asiatica has two growth periods in Qingdao, i.e., spring and autumn.
To date, studies on sources of seedlings by spore propagation have made little progress in China and are still in the experimental stage. There were systematic studies on the rearing of seedlings and culture in the open sea by Tseng et al (1987). In addition, Liu (1990) studied the intensive rearing of seedlings for G. tenuistipitata in the intertidal area.
4. MORPHOLOGICAL AND ECOLOGICAL CHARACTERISTICS OF SEVERAL COMMERCIALLY IMPORTANT GRACILARIA SPECIES IN SUMMER
Various properties of Gracilaria spp. agar are closely related to the species of Gracilaria and ambient environmental conditions. In the last two decades, many studies have been carried out on the discrimination of taxa in the red algal genus Gracilaria (Xia, 1985; Chang and Xia, 1976; Zhang and Xia, 1985; 1988; 1992; 1994; Abbott et al 1991). The ecology of Gracilaria spp. varies with species and region, e.g. the growing season of G. asiatica in the southern part of China is from November to the following April, but in the northern part of China, its growing season is from June to November. Studies on the relationship between various properties of agar and ecological conditions have not been carried out in mainland China.
4.1 Materials and methods
Specimens of Gracilaria spp. were collected from: Rongshan (June 11, July 13, August 16, 1994); Diancheng (June 15, August 18, 1994); Qianton (June 26, 1994); Beihai salt farm (June 13, 1994); Shanyao (June 26, July 31, September 3, 1994); Qingdao (June 1st, July 24, August 27, 1994); and Qiujia (May 18, July 17, August 20, 1994).
Determination of seawater temperature: The temperatures of the surface and bottom layers were determined with a WNY-150 specific digit thermometer. The mean was then calculated.
Determination of salinity: The specific gravity of seawater, both surface and bottom layers, was determined using a specific gravity meter of seawater. The mean was calculated and converted into salinity using the relevant table of temperature, specific gravity and salinity.
Specimen slides: Specimens for mounting on slides were fixed in a solution of 5% neutral formalin, 5% Glycerine and 3% NaCl. Slides were prepared by Lin Hong, Qingdao Oceanographic University.
Identification of species: Conducted by Prof. Lu Baoren, Institute of Oceanology, Academic Sinica.
4.2 Results
1. Gracilaria lemaneiformis (Bory) Weber-van Bosse.
| Locality: | Tai Ping Comer, Qingdao City, Shangdong Province. |
| Date of Collection: | June 1st and August 27th, 1994. |
Description:
Thalli erect, cylindrical, cartilaginous, 10–30 cm in height, solitary or caespitose, with many branches of 0.5-2 mm in diameter growing from large, flat and fresh red disc-like holdfast. Branches irregular, simple, elongated, sometimes with numerous short poliferous branchlets, secund or alternate, branch apex attenuate and without constriction at base. Thalli purplish-red when fresh; dark purplish-red, purplish brown or slightly green, when dried.
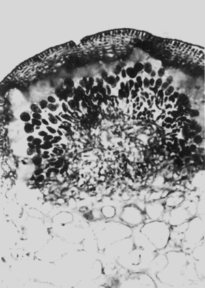
Frond in transverse section consisting of large parenchymatous cells, medulla surrounded by two-three layers of cortical cell which are small and roundish, outermost layer pigmented. Transition of cell from medulla to cortex, abrupt. Spermatangial pattern superficial. Cystocarps protrude prominently, hemispherical or spherical, slightly or non-rostrate, slightly constricted at base. Gonimoblast composed of many small parenchymatous cells. Pericarp consisting of 10–13 layers of cells. Thallus grew on intertidal rock or in rock pools, lush in June when seawater temperature was 23-26°C and salinity was 2.86-3.10 % (June 1st, 1994). In August, however, the upper part of the • alga rotted away and the rest had many cystocarps in branches. Some also existed in the seedlings (Figure 1).
Figure 1: G. lemaneiformis collected from Tai Ping Corner 1st June 1994.

2. Gracilaria asiatica.
| Locality: | Taiping Comer, Qingdao City, Shandong Province |
| Date of Collection: | June 1st and July 24th, 1994. |
Description:
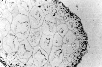
Thallus erect, cylindrical, solitary or caespitose, growing from a small disc-like holdfast, 5–30 cm in height with 1–4 orders of branches. Branches irregularly secund, dichotomous or alternate, slightly constricted or non constricted at base; branches elongated, 0.5–2.0 mm in diameter, with or without many short or long branchlets, gradually tapering toward apices. Thalli purplish brown when fresh, sometimes slightly green or yellow. Dark brown or light green when dried. Frond in transverse section consisting of medulla of large, irregularly roundish parenchymatous cells, 75–250 μm in diameter, 10–32.5 μm in wall, surrounded by 3–5 layers of cortex. Transition of cells form medulla to cortex, gradual.
Cystocarps globose or sub-globose, prominently protruding, nonrostrate or slightly rostrate, without or with slight constriction at base. Pericarps consist of 7–13 layers of cells, of which the outmost layer of cells are elongated. Spermatangia pattern pocket-like.
Thallus grew on intertidal rocks, in rock pools or buried in sand. Cystocarps matured enormously in Qingdao in July (Figures 2 and 3).
3. Gracilaria tenuistipitata Chang and Xia.
| Locality: | Shanyao salt farm Quanzhou City, Fujian Province |
| Date of collection: | June 26th, July 31st, September 3rd, 1994 |
Description:
Thallus terete, cylindrical, cartilaginous, solitary or caespitose, growing from a small disc-like holdfast, 5–30 cm tall, 0.2-1 mm in diameter, slender near base. Branches simple, elongated, dichotomous or alternate, non-constricted at base. Thalli purplish-brown, greenish-brown or purplish-red when fresh.
Frond in transverse section consisting of medulla of large parentchymatous cells at the centre, 120–300 urn in diameter surrounded by 1-3 layers of small cortical cells. Transition of medulla to cortex, abrupt. Tetrasporangia ovoid surrounded by elongated cortical cells. Cystocarps prominently protrude, globes, rostrate, constricted at base. Pericarp consisting of 8-10 layers of cells of which the outmost layer cells are round or ovoid, with a distinct cell wall. Spermatangia in surface, pit-like pattern or textorii-like. Algae grew on muddy substrate in the bottom of a water canal in a salt farm.
There was no Gracilaria sp. growing in the middle of the water canal channel due to rapid flows. Algae grew slowly and some branches had cystocarp when the water temperature was 31.9 °C and salinity was 28.5 ppt on June 26th, 1994. By July 31st, however, most of the algae had died or the upper part of the alga rotted away. Some branches turned white when the water temperature was 31°C and salinity was 32.2 ppt. On September 3rd 1994, part of the algae was buried in mud but had normal growth in the upper part when the water temperature was 29°C and salinity was 23 ppt. The algae was not exposed to air at low tide (Figures 4,5 and 6).
4. Gracilaria tenuistipitata var. liui.
| Locality: | Qiantou, Rongshan, Beihai salt farm, Diancheng |
| Date of collection: | June 26, 1994 (Qiantou, Quanzhou City) |
Description:
Thalli slender, cylindrical, with numerous short to long flagella forming lateral branchlets of 0.18–0.5 mm in diameter. Branching mostly from percurrent axes, alternate or irregular, without holdfast, the thalli are usually detached and tumble about in fairly large masses. Branches slightly constricted or non-constricted at base. Branchlet apex apiculate, sometimes alternate. Conceptacles are hardly ever found. Thalli colour when fresh depends on the growing environment: meat-red; purplish-red; light-yellow or purplish-brown, usually occur as light yellow in low salinity.
Frond in transverse section consisting of medulla of several large parentchymatous cells at the centre, 175–670 um in diameter, surrounded by 1–2 layers of small cortical cells. Transition of cells from medulla to cortex abrupt (Figures 7 and 8).
5. Gracilaria sp.
| Locality: | Qiujia, Dongshan Island, Fujian Province |
| Date of collection: | July 17th, 1994 |
Description:
Thalli terete, cylindrical, cartilaginous, easily broken, solitary, without holdfast at base, 10–40 cm in height, with numerous alternate, secund or irregularly elongated branches, somewhat chrysanthemum-like or fastigate-like in general outline. Branches slightly constricted at the base. Branchlets gradually taper toward the tip, ending in bifurcate apices. Thalli greenish, yellowish, green or olive-brown when fresh; and dark brown, purplish-brown or pink when dried.
Frond in transverse section consisting of medulla of large, irregularly parenchymatous cells with angle, 140–400 μm in size, surrounded by 1–2 layers of spare arrangement of cortical cells. Transition from medulla to cortex, abrupt. Conceptacles hardly ever found.
The algae grew in shrimp ponds with salinites of 23–29 ppt. The alga was lush on July 17th, 1994 when the water temperature was up to 38°C and salinity was 24.2–28.3 ppt. The thalli colour was purplish-brown at a depth of 80–120 cm and yellowish-green at a depth of 40–60 cm. However, the upper part of the algae rotted away in a depth of 30–60 cm when the water temperature was 28.5 °C and salinity was 21.3 ppt on August 20th, 1994. Perhaps it was affected by the continuous high temperature.
5. YIELD AND PROPERTIES OF GRACILARIA AGAR
The properties and yield of Gracilaria agar vary with species, growing regions and extraction methods. There are no unified testing methods for agar content and properties of Gracilaria spp. in China. In the studies by Shi et al (1988), agarophytes were soaked in 32% NaOH solution at room temperature for five days and then washed until neutral. The agar was finally extracted with 0.1% of sodium hexametaphosphate solution. The yield of agar extracted by sodium hexametaphosphate was higher than that extracted directly by water. In the dilute alkali method of extraction, Gracilaria was treated using 2–6% of NaOH solution at 90°C for 60-90 minutes and then agar under 1 kg/cm2 was extracted.
Figure 2: G. asiatica, collected from Tai Ping Corner, Quingdao. Thallus cross-section of main branch.

Figure 3: G. asiatica, collected from Tai Ping Corner, Quingdao. Thallus cross-section of cystocarp.

Figure 4: G. tenuistipitata collected from Shanyao, Quanzhou (26th June 1994).

Figure 5: G. tenuistipitata collected from Shanyao, Quanzhou (26th June 1994).
Transverse section of main branch and cystocarp.

Figure 6: G. tenuistipitata collected from Shanyao, Quanzhou (26th June 1994).
Transverse section of main cystocarp.

Figure 7: G. tenuistipitata var. liui collected from Qiantou, Quanzhou City,
(26th June 1994).

Figure 8: G. tenuistipitata var. liui collected from Qiantou, Quanzhou City,
(26th June 1994). Transverse section of main stem.

Two new methods of agar extraction are the concentrated alkali-bleaching-organic acid-buffer solution treatment method (Lian, 1987) and the dilute alkali-alcohol solution treatment method. The purpose of this study was to evaluate the relationship between ecological conditions, agar extraction methods and agar properties.
5.1 Materials and methods
i. Extraction of agar
a) 5% NaOH treatment (DAT):
30.0 g of algae was weighed out and placed in 450 ml of 5% boiling NaOH solution, the temperature was kept at 95 ± 3°C for one hour. The alga was filtered and washed with tap water and then neutralised with 0.1 mol/L HC1. The alga was cut into small pieces, put into 750 ml of a boiling solution of 0.1% sodium hexametaphosphate and covered with tin foil with some holes. The solution was heated to boiling on an electric stove and then the breaker was placed in a pressure steriliser for 90 minutes to extract agar at a pressure of 1 ± 0.3 kg/cm2. The breaker was then placed on an electric stove, heated and stirred for 30 minutes. The solution was filtered through nylon gauze of 200 mesh and 250 mesh separately. The residue was extracted once again with 200 ml distilled water at the same pressure for 1 hour and the filtrate combined with the first one (which had been kept at 80°C to avoid gelling), transferred into strips and frozen at -7+l°C for 40–48 hours. The frozen gel was thawed with tap water and washed with 200 ml of distilled water once and finally blown dry with electric fan.
b) 25% NaOH treatment (CAT), as above.
c) 5% NaOH-bleaching-organic acid and buffer solution treatment (BOBT):
50.0g of algae was put into 750 ml boiling solution of 5% NaOH and heated to 105±3°C for 20 minutes. The alga was then filtered, washed with tap water and neutralised with dilute HC1. The alga was then immersed in 750 ml of 0.08% active chlorine (NaCl solution) for 10 minutes, which was adjusted to pH 6 with about 18 ml of 2N HC1. The alga was washed with 750 ml tap water three times, immersed in organic acid for 20 minutes and washed with tap water until the pH was about 6. The alga was then immersed in sodium acetic acid buffer solution for 20 minutes, filtered and chopped at 10,000 rpm for 30 seconds. 1,000 ml of 0.1% sodium hexametaphosphate solution was added to a beaker with chopped alga, placed in an electric oven and kept simmering for 20 minutes. The rest of the procedure was as shown in the DAT method.
ii. Clean anhydrous weight (CAW%)
20.0 g of alga was weighed out and washed with tap water to remove the impurities including mud, calcareous encrustation, sand, salt and other species of algae. It was placed on a tray and blown dry with an electric fan. The alga was then dried in an oven at 105±3°C for 4 hours and the % CAW value was calculated.
iii. Moisture determination of algae and agar
2–3 g (0.0001g) of alga powder or agar was weighed into a weighing bottle and dried in an oven at 105±3°C for 4 hours. After cooling in a desiccator, it was weighed and the % moisture was calculated.
iv. Ash content of algae and agar
After determination of moisture content, the alga or agar was put into a weighed crucible which had been ignited and cooled in a desiccator and weighed soon after attaining room temperature. The crucible was placed in a muffle furnace at not greater than 450 °C and the temperature was gradually increased to 525 °C. The sample was incinerated for about 4–6 hours until a constant weight was obtained. If it remained dark after cooling 1 ml H2O2 was added to the sample and it was evaporated in an electric oven and then incinerated. The sample was cooled in a desiccator and weighed soon after room temperature was attained and the % ash content was calculated.
v. Determination of gel strength of agar
1.5 g of dried base of agar was weighed and put into a 250 ml flask. 100 ml of distilled water was added and the sample was soaked for 12 hours at room temperature. The mixture was then heated in a reflux condenser until it dissolved completely. 25 ml of the resulting solution was poured into three or four 50 ml beakers separately and gelled at room temperature for 1 hour. The samples were then kept at30±0.1°C in a constant temperature bath for 12 hours. The gel strength was measured on a Rowerbal weighing machine which added increasing loads until the gel ruptured, the weight was read as the gel broke. The mean strength of the three or four samples is taken as the gel strength.
vi. Melting temperature of agar gel
50 ml of 1.5% agar solution was poured into a test tube (25 x 200 mm) to 10 cm in height. A thermometer was inserted through a rubber stopper into the centre of the solution and the solution was left to congeal at room temperature for 12 hours. Two steel balls (0.3 mm) were placed in the gel, one 5 mm under the gel surface, another in the centre of the gel. After this, the test tube was immersed in a water bath of 60°C for 10 minutes so that the meniscus of the gel was 4 cm below that of the water. The water was then heated at a rate of about 1 °C/min until it reached 80°C, the temperature was then increased at a rate of about 0.5°C/min. The temperature was recorded when the ball dropped down through the solution. The average of both surface and centre temperatures was calculated.
vii. Sulphate content of algal material; and agar
0.1 g (0.0001g) of agar or alga was weighed out and put into a test tube 15 x 150 mm with a stopper. 10 ml of IN HC1 was added and the sample was left immersed for 12 hours at room temperature before it was hydrolysed in an oven at 107±3°C for 6 hours and 12 hours respectively for agar and algae. After cooling, the hydrolyse was neutralised with 5 mol/1 NH4OH until the pH was 6–7. 0.2 g of activated carbon was added and the solution was stirred for a while with a vortex mixer. The solution was filtered with No. 102 qualitative filter paper into a 50 ml volumetric flask and diluted to the mark. 10 ml of the filtrate was pipetted into a 25 ml of beaker and 1-2 ml of standard potassium sulphate solution and 10 ml of distilled water were added. To this solution, 1 ml of 6 mol /1 HC1 and 5 ml of 70% sorbitol were added, the solution was stirred with a magnet mixer for 1 minute, left to stand for 5 minutes and then stirred for 15 seconds. The absorbance of the suspension was read in a 721-spectrophotometer at 470 nm. A blank of distilled water was used as a reference.
5.2 Results and Discussions (See Tables 4–6)
i. Effect on properties of agar by agar extracting methods
a) Yield
Table 4 shows that the average yield of No. 1 and No. 2 samples extracted by DAT was 47.6% which was less than that by CAT (58.2%), shown in Table 5. The alkali solution showed “sol” phenomenon when cooled and the agar contained in the alga ran off. In view of this, the CAT method should be used to get a higher yield of agar from G. lemaneiformis and G. asiatica.
When Gracilaria spp. of Qiujia, (G. tenuistipitata var liui and G. tenuistipitata) was treated using DAT and CAT methods (Tables 4 and 5), the average yield of Gracilaria. spp. agar was 51.3% and 50.6% for DAT and CAT respectively. In sample 5A, the yield of agar was 49.7% for DAT and 44.4% for CAT i.e., the agar yield extracted by CAT was less than that extracted by DAT. From the point of view of industrial production, the DAT method should be used to treat these seaweeds due to low consumption of alkali. The yields of samples number 2, 3 and 6 extracted by BOBT were higher than those extracted by CAT and DAT methods.
b) Ash content
The agar extracted by BOBT has good solubility and lustre. The ash content was also far less than that of similar material and those agars extracted by DAT and CAT methods. The ash of agar extracted with CAT and DAT was similar to, or higher than, that of similar material,. Sample 3A alga and those agars extracted by DAT and BOBT had 5.46, 10.1 and 1.65% ash contents, respectively. For sample 6A, 11.82, 9.72 and 3.84% ash contents were measured for alga, DAT agar and CAT agar, respectively. The low ash contents of agar extracted by BOBT suggests that most of the mineral must be removed after treatment with bleach and organic acid.
c) Gel Strength
The gel strength of agars extracted by the CAT method were all slightly less than those extracted by the DAT method. The gel strength of agars extracted by BOBT varied irregularly, e.g. the gel strength of sample 2A was 620g/cm2 for BOBT and 682 and 578/cm2 for DAT and CAT, respectively. Sample 8A had a gel strength of 551g/cm2 for BOBT and 360g/cm2 for DAT. Generally speaking, molecules of agar can be decomposed by acid and bleach, which results in low gel strength. However, it may be inferred that the effect on agar molecules of acid and bleach can be counteracted by the reduction in minerals as a result of this treatment.
d) Melting Temperature
The variation in melting temperature of agar extracted with DAT was similar to that of gel strength in samples No. 3 and No. 5. For instance, the melting point of sample No. 3 agar was 92.5 °C for June, 95 °C for July and .103°C for September. The relevant gel strengths were 482, 634 and 1001 g/cm2. The variation in gel strength of sample No. 5 was 93.5°C for June, 99.2°C for July and 97.2 °C for August. The gel strengths for the same months were 363, 720 and 440 g/cm2, respectively. Irregular melting temperatures were found for sample nos. 1, 2 and 6. The lowest melting points were from samples 3A and 7A agar extracted with BOBT and were 80°C and 83°C separately.
Table 4: Relationship between the ecological conditions of Gracilaria spp. and properties of agar extracted by DAT.
| Locality | Species | Date (D/M/Y) | Salinity (%) | Temp (°C) | S04 (%) | Alga Ash (%) | Yield (%) | H20 (%) | Ash (%) | 5% NaOH (P g/cm2) | Mpt. (°C) | S04 (%) | |
| Qingdao | G. lemaneiformis | (1A) | 01.06.94 | 2.98 | 23–26 | 2.27 | 9.09 | 46.4 | 18.7 | 7.65 | 848 | 93.5 | 1.56 |
| (1B) | 27.08.94 | 3.26 | 5.04 | 47.6 | 19.2 | 6.91 | 872 | 91.0 | 1.64 | ||||
| Qingdao | G. asiatica | (2A) | 01.06.94 | 2.98 | 23–26 | 3.42 | 12.0 | 44.1 | 19.9 | 7.45 | 682 | 90.0 | 1.43 |
| (2B) | 24.07.94 | 5.30 | 6.96 | 52.3 | 20.1 | 8.85 | 534 | 92.0 | 1.62 | ||||
| Shanyao | G. tenuistipitata | (3A) | 26.06.94 | 2.85 | 30.3 | 2.96 | 5.46 | 38.2 | 20.0 | 10.1 | 482 | 92.5 | 1.60 |
| (3B) | 31.07.94 | 3.23 | 31.3 | 2.70 | 6.29 | 44.7 | 16.6 | 6.41 | 634 | 95.0 | 0.88 | ||
| (3C) | 03.09.94 | 2.30 | 29.6 | 2.98 | 4.87 | 35.0 | 18.6 | 7.21 | 1001 | 103.2 | 0.776 | ||
| Qiujia | Gracilaria sp | (4B) | 17.07.94 | 2.83 | 38.0 | 4.38 | 5.48 | 48.7 | 19.6 | 10.2 | 609 | 96.8 | 1.65 |
| (4C) | 17.07.94 | 2.42 | 38.0 | 3.23 | 6.76 | 57.5 | 19.8 | 9.29 | 576 | 93.0 | 1.44 | ||
| (4D) | 20.08.94 | 2.31 | 28.5 | 3.30 | 6.29 | 47.6 | 19.7 | 8.06 | 549 | 94.0 | 1.24 | ||
| Rongshan | G. tenuistipitata var. liui | (5A) | 11.06.94 | 0.503 | 28.6 | 2.83 | 5.96 | 49.7 | 20.0 | 9.26 | 363 | 93.5 | 2.19 |
| (5B) | 13.07.94 | 0.967 | 29.0 | 3.98 | 6.00 | 38.0 | 20.4 | 7.64 | 720 | 99.2 | 1.14 | ||
| (5C) | 16.08.94 | 0.798 | 30.1 | 3.54 | 6.47 | 33.3 | 20.0 | 7.90 | 446 | 97.2 | 1.85 | ||
| Dianheng | G. tenuistipitata var. liui | (6A) | 15.06.94 | 2.04 | 29.0 | 4.00 | 11.8 | 40.8 | 20.4 | 9.72 | 543 | 92.0 | 1.83 |
| (6B) | 18.08.94 | 0.00 | 27.2 | 3.50 | 4.85 | 36.6 | 20.8 | 3.87 | 153 | 93.8 | 1.53 | ||
| Qiantou | G. tenuistipitata var. liui | (7A) | 26.06.94 | 1.17 | 34.7 | 4.93 | 6.55 | 44.9 | 19.4 | 8.64 | 373 | 92.8 | 0.994 |
| Beihai | G. tenuistipitata var. liui | (8A) | 13.06.94 | 2.21 | 34.7 | 2.20 | 9.6 | 42.8 | 20.9 | 6.22 | 360 | 94.5 | 1.48 |
Editorial Note: The agar yield and ash content are high, possibly owing to the extraction technique of adding 0.1% sodium hexametaphosphate during extraction. This may have also caused the elevation of gel strength and melting point. The quality of the extracted agar may be different from the international specification for commercial agars.
Table 5: Relationship between the ecological conditions of Gracilaria spp. and properties of agar extracted with CAT.
| Locality | Species | Date (D/M/Y) | Salinity (%) | Temp (°C) | Alga | Yield (%) | Ash (%) | 25% NaOH (P g/cm2) | Mpt (°C) | S04 (%) | ||
| S04 (%) | Ash (%) | |||||||||||
| Qingdao | G. lemaneiformis | (1A) | 01.06.94 | 2.98 | 23–26 | 2.27 | 9.09 | 57.0 | 7.20 | 820 | 89.4 | 1.40 |
| G. asiatica | (2A) | 01.06.94 | 2.98 | 23–26 | 3.42 | 12.0 | 59.3 | 6.77 | 578 | 86.2 | 1.51 | |
| Qiujia | Gracilaria sp | (4B) | 17.07.94 | 2.83 | 37–39 | 4.38 | 5.48 | 56.7 | 8.98 | 556 | 89.0 | 1.07 |
| Gracilaria sp | (4C) | 17.07.94 | 2.42 | 37–39 | 3.23 | 6.76 | 44.4 | 11.5 | 300 | 85.0 | 1.01 | |
| Rongshan | G. tenuistipitata var. liui | (5A) | 11.06.94 | 0.503 | 28.2–29.0 | 2.83 | 5.96 | 44.4 | 9.55 | 355 | 94.9 | 1.88 |
Table 6: Relationship between the ecological conditions of Gracilaria spp. and properties of agar extracted by BOBT.
| Locality | Species | Date | Salinity (%) | Temp(°C) | Alga | Yield (%) | 5% NaOH-Bleacher-Acid-Buffer | S04 (%) | |||||
| S04 (%) | Ash (%) | H20 (%) | Ash (%) | P(g/cm2) | Mpt(°C) | ||||||||
| Qingdao | G. asiatica | (1A) | 01.06.94 | 2.98 | 24.5 | 3.42 | 12.0 | 24.1 | 20.6 | 5.13 | 620 | 93.0 | 1.50 |
| Shanyao | G. tenuistipitata | (3A) | 26.06.94 | 2.85 | 31.1 | 2.96 | 5.46 | 21.2 | 1.85 | 748 | 90.2 | ||
| Diancheng | G. tenuistipitata var. liui | (6A) | 15.06.94 | 2.04 | 29.0 | 4.00 | 11.8 | 48.2 | 21.5 | 3.84 | 457 | 94.0 | 1.45 |
| Qiantou | G. tenuistipitata var. liui | (7A) | 26.06.94 | 1.17 | 34.7 | 4.93 | 6.55 | 44.9 | 21.5 | 1.30 | 277 | 83.0 | 0.635 |
| Beihai | G. tenuistipitata var. liui | (8A) | 13.06.94 | 2.21 | 34.7 | 2.20 | 9.60 | 29.7 | 21.6 | 1.72 | 551 | 91.0 | 0.596 |
e) Sulphate Content
Alkaline treatment can change the L-galactose 6-sulphate of agaropectin into 3,6-anhydro-l-galactose and thus reduce the sulphate content of the agar. The sulphate content of the algae was 2.2–5.3 %, with an average content of 3.46% (Tables 4-6). The sulphate content of the algae dropped to 0.6-2.19%, with an average content of 1.35% after different alkali treatments. The average sulphate content of agar extracted by DAT, CAT and BOBT were 1.46%, 1.37% and 0.99%, respectively. Moreover, the sulphate content of samples 3A, 7A and 8A agar, extracted by the BOBT method almost approached that of agarose, that is, BOBT was superior to two other methods (DAT and CAT).
ii. Effect of ecological conditions on agar properties
a) Salinity-Gel Strength: (Tables 4–6)
Samples 4B and 4C collected at the same time had different salinity gel strengths which were 609 and 576g/cm2 when salinity was 28.3 and 24.2%. Sample No. 5 had gel strengths of 363, 720 and 446g/cm2 when salinities were 4.38–5.08, 9.04-10.3 and 7.33-8.62%, respectively. Sample No. 6 had gel strengths of 543 and 153g/cm2 when the salinity of seawater was 20.4% and 0.0% i.e., the gel strength of agar extracted by DAT increased with increases in environmental salinity.
The gel strengths of wild G. lemaneiformis, G. asiatica and G. tenuistipitata and cultivated Gracilaria. sp, were all higher than 450g/cm2. The highest gel strength was 1,001 g/cm2 for sample 3C and this had nothing to do with alkali treatment methods and collection date. It is evident that they can be used to produce high quality agar.
From this investigation, it can be inferred that algae growing in less than 0.6% of salinity can be used to produce low gel strength of agar. It is necessary to conduct further research to ascertain the optimum ecological conditions in order to obtain high yield and quality of agar materials.
b) Salinity -Ash content
The variations of ash content of algae and relevant agar were consistent with those of environmental salinity. The difference in environmental salinity of samples 6A and 6B was 20.4% and the differences of ash content of algae and relevant agar was 6.97 and 5.85%, respectively. As for samples 5A and 5B, the differences of salinity, alga ash and agar ash were 5.92%, 0.04% and 1.62%, respectively. In spite of the low ash content in samples 6B compared with 6A, its gel strength was less than that of 6A. The main reason was that it had rained for about two months resulting in low salinity which affected biosynthesis of the molecular of agar in alga.
6. CONCLUSIONS
The yield and properties of agar varied with the extraction method used. Therefore, the quality of algae cannot be judged by using only one kind of extraction method.
G. asiatica and G. lemaneiformis should be treated with concentrated alkalis not with dilute alkali solution, except when adding other chemical reagents.
When the algae were treated by BOBT and the agar extracted, the yield and properties of agar were superior to that produced by the DAT and CAT methods.
From the point of view of the yield and gel strength of agar, Gracilaria sp. of Qiujia, G. tenuistipitata, G. asiatica and G. lemaneiformis were good agar materials.
G. tenuistipitata var. liui cannot be used to produce agar with high gel strength, particularly when growing in environmental salinities of less than 0.6%
Gracilaria sp. of Qiujia relies on vegetative propagation with fast growth rates, high agar content and quality. Its culture is worth studying and spreading.
7. EXISTING PROBLEMS AND RECOMMENDATIONS
The ecological conditions of Gracilaria spp., such as seawater temperature, salinity, illumination intensity and nutritive sources directly affect the yield and properties of agar. Therefore, a systematic investigation should be carried out to obtain precise results.
It was reported that the lush season of Gracilaria spp. is November to the following April in southern China, but the collected samples for this research were grown in the off season, i.e., June to September. It is necessary to study materials from other seasons.
NACA should standardise the methods of agar quality determination again, e.g., yield of agar and sulphate content. In addition, differences of experimental instruments and operation in turn affect research results. For this reason, NACA should further fund and supply relevant instruments, such as gel strength measuring instruments, pocket salinity meters, pocket pH meters and turbidimeters for researchers in each countries.
REFERENCES
Abbott, I. A., Zhang, J. F. and Xia, B. M. 1991. Gracilaria mixta sp. nov. and other western species of the genus (Rhodophyta, Gracilariaceae). Pac. Sci. 45 (1): 12–27.
Chang, C.F. and Xia, B. M. 1976. Studies on Chinese species of Gracilaria. Stadia. Marine. 11:91–163. Li, W. X. 1982. Ecological studies on G. tenuistipitata at Zhang Jiang Bay. Marine Science. (1): 32-34.
Lian, P. Z.,1987 A industrial test on extracting agar from Porphora haitanesis. Proceedings of the Fourth Chinese Fishery Society Academic Symposium.
Liu, S. J. 1990. Tests on intensive rearing of seedlings for G. tenuistipitata in intertidal areas. Journal of Zhangjing Fisheries College, 10 (2): 89–91.
Liu, S. J. 1989a. Test on spraying cultivation method for G. tenuistipitata. Journal of Zhanjiang Fisheries College. 9 (1–2): 87-93
Liu, S. J., 1989b. Studies on the effects of plant growth hormones on G. tenuistipitata. Journal of Zhangjiang Fisheries College. 9(1–2): 105-109.
Liu, S. J. 1990. Experiment on two harvests of G. tenuistipitata using floating raft culture method in shallow waters. Journal of Zhangjiang Fisheries College. 10 (2): 49–52.
Ren, G. Z. and Chen M., 1986. Effects of temperature on growth of G. asiatica. Oceanologia et. Limnologia Sinica. 17 (4): 283–291
Shi, S. Y., Zhang, Y. X., Fan, X., i,L Z. and Liu W. Q. 1988. The effects of alkali treatment on agar from Chinese species of Gracilaria. Journal of Fisheries of China. 12 (2): 145–155.
Tseng, C. K.., Wang, S. J., Lui, S. J., Guo, X. K., Zhang, D. M. and Liao, G. R. 1985. Marine Phycoculture. Scientific and Technological Publishing House of Shanghai.
Xia, B. M. 1985. Gracilaria from China: key list and distribution of species. In: Taxonomy of Economic Seaweeds. Vol. 1, p.71–76.
Xia, B. M. 1986. On G. salicornia (Agardh) Dawson. Chinese Journal of Oceanology and Limnology. 4 (1): 100–107.
Zeng, S. F., 1990. Cultivation of a new species of Gracilaria. Journal of Zhanjiang Fisheries College. 10 (1): 23–27.
Zhang, J. F. and Xia, B. M, 1985. On G. asiatica sp. nov. and G. verrucosa (Huds) papenfuss. Oceanologia et Lhmnologia Sinica. 16 (3): 175–180.
Zhang, J. F. and Xia, B. M. 1988. On two new Gracilaria (Gigartinales, Rhodophyta) from South China In: Taxonomy of Economic Seaweeds, vol. 2, pp. 131–136.
Zhang, J. F. and Xia, B. M. 1992. Studies on two new Gracilaria from South China and a summary of Gracilaria species in China. In: Taxonomy of Economic Seaweeds, vol. 3, pp. 195–206.
Zhang, J. F. and Xia, B. M. 1994. Three foliose species of Gracilaria from China. In: Taxonomy of Economic Seaweeds, vol. 4, pp. 103–110.
Zhang, J. R. 1986. The relationship between the growth of G. tenuistipitata var. liui. and the specific gravity of sea water. Journal of Xiamen Fisheries College. (2) 1–8.
Zhang, J. R. and Chen, C. S. 1990. The relationship between the growth and illumination intensity of G. tenuistipitata var. liui.. Journal of Xiamen Fisheries College. 12 (2): 15–20.