Successful management of any farming system should anticipate several incidental hazards and keep ready remedial measures to deal with the situation. Based on the available data the commonly occurring serious hazards are discussed and remedial measures suggested.
The most common and serious hazard in the composite fish culture ponds is the depletion of dissolved oxygen level in the water. Gulping for air, especially during the early morning hours, is the most common behavioural symptom. The growth rate is seriously affected and very often it may result in a mass fish kill. Depending on the situation and availability of resources all such steps should be taken promptly which may help raise the DO level of the pond. The following steps are recommended:
Add freshwater in the pond by pumping it from nearby sources. To avoid entry of undesirable fish, use a screen around the mouth of the intake pipe.
Agitate the pond water by splashing, beating with bamboo poles, repumping with the help of a pump or using a mechanical churner/aerator.
Apply potassium permanganate at the rate of 2–3 ppm.
Lime at the rate of 200 kg/ha and rake up the bottom.
Cut all the trees/branches shading the pond.
Stop feeding and fertilization till normality is restored.
Algal blooms of Microcystis sp., Euqlena sp., etc., frequently occur causing serious problems again in terms of dissolved oxygen. It creates situations where supersaturation of oxygen occurs during day time and serious DO depletion takes place during the night, sometimes leading to a mass fish kill. The following remedial measures are recommended:
Apply chemical algicide Diuron simazine (Tafazine) at the rate of 3–5 ppm. However, mass killing and decay of algae may also cause DO depletion.
In small ponds cover part of the pond with duck weeds or other floating weed like Pistia to reduce the amount of sunlight entering the pond. This will result in the death of algal cells. Gradually cover the whole pond, part by part.
Add fresh water if possible from nearby sources, taking care to prevent entry of unwanted fish.
Because of early maturity and natural breeding, the rate and ratio of stocking of different carp species in composite fish culture ponds are liable to get greatly altered during the grow-out period. This problem can be overcome by placing at one corner of the pond some floating weeds such as Eichhornia during the breeding season. The common carp will deposit eggs on the roots of the floating plants. The following morning these plants are replaced by fresh plants and eggs are transferred to hatching hapas. By adopting this technique the common carp population is efficiently controlled and sufficient quantity of common carp seed is also produced (Fig. 42).

Figure 42. Eichhornia with attached common carp eggs
During drought the water level drops down to critical levels in some ponds, while during seasons of heavy rains the incidence of flooding is not uncommon.
Keep constant vigil on water level. Before it drops below the 1.25 m mark, water should be added from nearby sources. Keep alternative source of water ready for such occasions. A shallow tube well could be of some help to fight against drought.
Harvest the fish before such a situation is encountered.
Repair and strengthen the dykes before the onset of rains. Entry point and spillway should be properly guarded by strong fine meshed steel netting.
Harvest the fish before the flood season if cost of protection becomes too high.
By far the most important and damaging predators of fish in ponds are otters, snakes, frogs, birds, etc. Otters can be prevented by putting a fence around the pond. Snakes, frogs and birds cause problems mostly in nursery and rearing ponds. Ponds in the vicinity of the fish farmer's home are less likely to be affected by these predators than the ponds that are isolated and seldom visited. Frogs normally lay eggs in shallow pits along the sides of seasonal nursery and rearing ponds during the first monsoon shower. All such spots should be identified and the eggs should be destroyed. Bird-scaring devices, including fire crackers should also be used if the problem becomes severe.
Poaching is perhaps the biggest problem in freshwater aquaculture. High value and ready market for carps make them more prone to poaching. The widely used gears for poaching are cast nets, gill nets and small drag nets. The following measures have been found to be most effective against such forms of poaching:
Place branches of trees and bamboo twigs in the grow-out pond along the sides. Nursery and rearing ponds are usually not prone to poaching.
Stretch and fix barbed wire in criss-cross manner in the pond, especially along the sides.
In large ponds, occasionally row a boat with hooks or barbed wire hanging from its keel to detect gill nets.
Fencing the farm with barbed wire and employing the services of watchmen are efficient means of preventing poaching.
Trained dogs used for night watch minimizes the risk considerably.
Sometimes leakages do occur in embankments and if not checked immediately they could cause extensive damage to the pond embankment. If the leaking water is clear and flow velocity is sluggish it may be seepage water and hence there may not be any immediate danger. In case the water flow is fast and muddy, immediate steps must be taken to locate the hole on both sides of the embankment. Muddy water shows soil erosion and washing away of soil particles. To locate the hole, heavy turf sod should be thrown on the water surface which gets attracted towards the hole and the sod may come out of the pond through the hole. Whirling action of water may be noticed just above the leak if it is big.
Leakages can be checked by pushing sawdust, bran, etc., into the upstream site. These are carried by water into the leak where it swells and stops the leak. In case of major breaches which may occur and cause severe damage to the embankment, sufficient material and labour resources must be mobilised. The outside of the banks should be protected first to prevent further erosion. A semicircular bundh may be constructed on the inside with brushwood, bamboo nettings and sand bags to facilitate repairing the breached portions with earth and sand bags.
The fish farming system in general is unique in that the cultured animal is cold-blooded or poikilothermic and lives in water, where the respiratory oxygen level is limited and may become lethal at times. Also, metabolic waste products, left-out feed materials and organic load of the pond bottom regularly come into contact with certain vital organs and tissues. In an undrainable pond system no addition of water or aeration is normally done and the accumulated wastes are not usually removed unless provision is made to desilt the pond after a couple of years. All such factors can cause deterioration of fish health and magnify the risk of outbreaks of diseases.
There are two strategies for the management of this hazard, viz. prevention of disease through prophylactic measures and treatment and control of disease outbreaks using fish therapeutics. There is a common saying that an ounce of prevention is worth a pound of cure. This saying has great value in fish health management. Preventive measures have always big advantage over curative practices. If you prevent the disease outbreak you have virtually no loss, but if you want to cure the outbreak you will always have some losses before you treat and cure them. Moreover, the drug may not provide remedies under all circumstances. Also, the drug may not help the host survive the infection until the environment is improved (Kumar et al., 1982). Details about the disease prevention measures and prophylactic treatments have already been discussed under Chapter on “ Fish health monitoring”. Ideally, the aquaculturists should strive to decrease the stress causing factors, eliminate and prevent the entry of pathogenic organisms, etc., by strictly adhering to the fish health monitoring programme.
All the Asiatic carp species cultured under composite fish culture undrainable ponds are prone to many communicable and non-communicable diseases, the most significant among them are described here under four groups:
10.8.2.1 Microbial diseases
About one-third of the economically important fish in the world perish every year through disease and about 60% of these losses are due to microbial pathogens. Virus, bacteria and fungal pathogens come under this category.
Viral diseases - As far as carp species are concerned, mainly two viral diseases are of importance.
Spring viremia of carp (SVC): Spring viremia of carp is an acute systemic viral infection caused by Rhabdovirus carpio (RVC). The disease was known as “ Infectious dropsy of carps ” till the isolation of the virus by Fijan et al., (1971), from common carp (Cyprinus carpio). Fijan (1972) subsequently separated the dropsical syndrome into spring viremia of carp (SVC), a condition caused by Rhabdovirus carpio and Carp Erythrodermatitis (CE), a condition caused by bacterial agent. RVC is pathogenic to all ages of common carp and perhaps to other cyprinids (Ahne, 1981). The main clinical signs are gathering of fish at water outflows, dark colouration, lower respiratory rate, haemorrhages especially over the skin and gills, loss of balance, exophthalmia, inflamed vent, etc. Internally they show haemorrhages in the viscera, airbladder, etc. Frequently there is secondary invasion of the tissues by aeromonads and pseudomonads from the intestine resulting in the bacterial septicaemia. Peritonitis with serious haemorrhage is normally present in acute cases. The virus is shed through faeces and possibly urine. Blood sucking parasites Piscicola qeoimetra and Arqulus foliaceus have been found to be vectors.
There is no method of eliminating the virus from the infected fish and under no circumstances should such fish be used for breeding purposes.
Rhabdovirus diseases of grass carp: A new serotype of rhabdovirus similar to spring viremia of carp virus (SVCV) and Rhabdovirus carpio (RVC) has been isolated from grass carp (Ahne, 1975) which causes large-scale mortality exhibiting more or less similar symptoms like SVC disease such as ventral haemorrhagic inflammation, bleeding in the scale bases, necrotic fins, inflammation of the alimentary canal, serious liquid deposition in the abdominal cavity, swollen spleen, pale liver, opacity of the inner wall of the swimbladder with haemorrhages, etc.
Control methods for viral diseases are restricted as there is no chemotherapeutic measures available at present. Application of antibiotics helps only in prevention of secondary infections. All the measures are directed towards avoidance of the pathogen and propagation of pathogen-free brood stocks. Avoidance requires that sources of virus be detected and the agents identified. In some countries virus-free brood stock are maintained and propagated. In most of the European countries where SVC poses a big problem large-scale vaccination of the stock is undertaken which has lowered the losses to a greater extent. There is also strong evidence that SVC is strainspecific and hence the major outbreak is concentrated in Europe. There are some other disease conditions of common carp suspected to be of viral origin which are yet to be investigated in detail.
Bacterial diseases: Among infectious diseases the role of bacteria has been strongly emphasized as they present many practical problems in nursery, rearing and stocking ponds. They have become increasingly apparent during the last few years and are of serious concern to fish farmers. The actual role of these micro-organisms vary from that of primary pathogen to an opportunist secondary invader. Some of these bacterial diseases, if remained unchecked, have the potential of wiping out entire populations. Although a number of pathogenic bacteria have been isolated from diseased fishes cultured in undrainable ponds (Kumar, Sinha and Farkas (MS), the following are worth mentioning.
Columnaris disease: The causative agent of columnaris disease is a Gram negative bacterium Flexibacter columnaris that moves by a creeping or flexing action. Columnaris disease is commonly occurring throughout the world and affects virtually all species of freshwater fishes. The disease begins as an external infection with lesions appearing on the body surface and gills. The type of lesion varies with the fish species, and as the disease progresses, lesions spread and may cover most of the body. In rohu (Labeo rohita) the necrotic lesions begin at the outer margin of the fins and spread towards the body (Kumar et al., 1986).
Whitish ulcerations and haemorrhages may also be observed. Bacteria apparently gain entrance to the dermal tissues as a result of injury, multiply in the connective tissue and reach the musculature where they form red ulcerations. Erosion of the gill lamellae may also be observed. Diagnosis of columnaris disease in fish is usually based on the presence of the bacterium in typical external lesions on the body.
Outbreaks of columnaris appear to be related to unfavourable environmental conditions such as low oxygen levels and accumulations of metabolic byproducts (Meyer, 1968). The stress of crowding (Wedmeyer, 1974), handling (Kumar et al., 1986) or holding them at above normal temperatures as well as the stress of external injury, facilitate the transmission and outbreak of the disease.
Environmental improvements, especially increased oxygenation, control of organic addition, etc., are the most valuable supportive therapy. Practical control of outbreaks of columnaris is possible with a number of drugs, including copper sulphate (0.5–1.0 ppm) and potassium permanganate (2–3 ppm) in pond treatment.
Various other treatments are also employed including dip treatment for 1–2 minutes in 1:2 000 copper sulphate colution. If the fish are able to feed, incorporation of oxytetracycline in the feed at the rate of 8 g/100 kg of fish/day for 10 days is also effective.
It should be noted that fish may harbour cutaneous lesions, systemic infections or both. As long as the disease is confined to ;external lesions, control can be successfully achieved, but once the infection has become systemic the disease is usually fatal.
Bacterial haemorrhagic septicaemia is used to designate septicaemic diseases caused by Aeromonas hydrophila and Pseudomonas fluorescens in carp and other species.
Aeromonas hydrophila (organisms previously described as A. punctata and A. liquefaciens) is a gram-negative bacillus, ubiquitous in nature occurring in water column and top sediment of most freshwater ponds. It affects most of the cold-blooded aquatic vertebrates including Asiatic carp species and causes acute and fatal septicaemias, which may be accompanied by external abscesses, ulcers, exophthalmia and abdominal distensions (Figure 43). Aeromonad infection is usually associated with concomitant environmental stress, especially high temperature and/or overcrowding.
Infectious dropsy condition among cultured major carps in India is the most common example. The causative agent is a species of Aeromonas and by inoculating a pure culture of the isolate the disease has been experimentally produced in fingerlings of catla (Catla catla), rohu (Labeo rohita) and mrigal (Cirrhinus mrigala) (Gopalkrishnan, 1961). Recently, several cases of dropsy condition in catla caused by mixed infection of Aeromonas hydrophila and myxosporidian species has been described (Kumar, Mishra and Dey, 1983). Toor, Sehgal and Sehder (1983) have also observed haemorrhagic septicaemia in common carp and rohu caused by heavy infection of Aeromonas sp. and the fungus, Saproleqnia sp.
In some cases the disease, caused by aeromonads in catla was restricted to the eye. However, in acute cases the brain and optic nerves were found to be affected (Gopalkrishnan, 1961). The disease was found to be seasonal in nature with maximum intensity during the month of October, November and December. Similar septicaemiasis have also been reported in silver carp (Hypophthalmichthys molitrix) caused by Pseudomonas fluorescens and Aeromonas hydrophila (Kumar and Dey, 1985).
Pond treatment with potassium permanganate (2–3 ppm) followed by addition of oxytetracycline with feeds at the rate of 70–80 mg/kg fish/day for 10 days are the most effective and practical measures. Although most treatments are generally ineffective, certain water additives during the transport or handling of fish are helpful. Acriflavin was found very effective for such purposes when used at the rate of 3–10 ppm.
Carp erythrodermatitis: This disease (CE) is probably the most widespread disease of carp in European ponds. Skin inflammation is followed by exophthalmia, oedema of all organs and finally anaemia. The causative agent is the Aeromonas salmonicida complex. For the control and treatment of CE, chemotherapeutics are applied as bath, intraperitoneal injection or with food. Oxytetracycline at the rate of 7.0–8.0 g/100 kg of fish/day for 8–10 days, oxytetracycline or chloramphenicol or furazolidone in baths (80–200 g/m3) or oxytetracycline or chloramphenicol as intraperitoneal injections at the rate of 10–30 mg/kg have been found to be very effective (Fijan, 1976).

Figure 43A. Aeromonad septicaemia in rohu (Labeo rohita)

Figure 43B. Aeromonad septicaemia in catla (Catla catla)
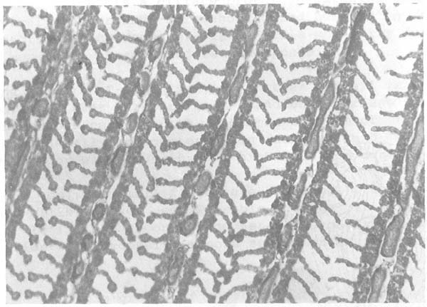
Bacterial gill disease: Recently gill hyperplasia syndrome has been detected most frequently in common carp fry and fingerlings causing retarded growth and poor survival. Myxobacterial complex have been found in the affected gills causing hyperplasia (Fig. 44). The disease is found to be widespread and infectious in nature. Common carp is observed to be more susceptible than other Asiatic carp species. Short baths for 5–10 minutes in 3% common salt solution has been found to be more effective than treatment with antibiotics. Two subsequent treatments after an interval of one week completely cures the disease (Kumar et al..,1986).
Fungal diseases: Fungal fish diseases also sometimes cause extensive losses. Species of the genera Saproleqnia sp., Branchiomyces sp. and Achlya sp. are usually implicated in fungal infections, but they are considered to be secondary invaders following physical or physiological injury brought about by rough handling or attack by primary pathogens. The ubiquitous fungus, Saprolegnia sp. can affect a wide range of fish species including most of the carp species, especially the brood stock, during the postspawning period. Initially it appears as white mats over the skin which gradually spread and invade the deeper tissues causing mortality. All the stages including the eggs are attacked. Branchiomyces sp. is another filamentous fungus which obstruct the blood vessels in the gill filaments causing discolouration and finally dropping off altogether leaving the cartilaginous support exposed. Malachite green (zinc free grade), formalin, potassium permanganate, copper sulphate, salt, etc., are the common therapeutics for effective use. Malachite green at the rate of 0.1 ppm for pond treatment, 1% solution as a swab and 65 ppm concentration as short bath/dip for 30 seconds are used. Copper sulphate may be used for pond treatment at the rate of 0.5 to 1.0 ppm depending on total alkalinity.
10.8.2.2 Parasitic diseases
Parasitic diseases are usually encountered more frequently than microbial diseases. The presence of high level of organic matters in undrainable ponds, encourages multiplication of parasite organisms and resulting in extensive parasitic infection.
Protozoan diseases are among the most significant of all parasitic diseases in carps. The following are the most important protoizoans parasitizing carp species in undrainable pond culture system.
Ichthyophthirius multifilis: “Ich” or white spot disease is probably one of the most detrimental diseases caused by this parasite which affects all the species of Indian major carps and Chinese carps as well. The most common symptom is the presence of pinhead size white spots on the skin, fins and gills (Fig. 45). It causes simple hyperplasia of the epidermal cells around the site of infection forming blisters. “Ich” is a ciliate protozoan parasite characterized by its relatively larger and horseshoe shaped nucleus in adults and large trophozoites. Incidence of large-scale mortality due to this infection is common in nursery and rearing ponds.

Figure 44A. Gill Section of Major Carp showing Normal Structure (H & E Stained)

Figure 44B. Gill Section of Major Carp showing Lamellar Hyperplasia due to Bacterial Gill Disease (H & E Stained)

Figure 45. Ich Disease Ichthyophthirius multifilis)
Trichodina sp.: Trichodina is another small saucer-shaped protozoan parasite that harbours gills and body surface of the host fish. Excess mucous secretion is a common symptom of this disease. Epizootics are usually encountered in nursery and rearing ponds associated with poor water quality and high stocking density.
Ichthyobodo sp.: A small flagellate external protozoan parasite of skin and gills causes considerable damage in fry and small fingerlings. It is an oval or kidney-shaped organism which produces severe irritation with excessive mucous secretion causing patches over the body.
Treatments for this group of parasites are varied and many are successful. Pond treatments with 15–25 ppm formalin have yielded excellent results. However, if a pond has dense plankton population, sudden death and decay due to formalin application may cause oxygen depletion. Mixed treatment of malachite green and formalin is most effective against “Ich” disease. Pond treatment with 0.1 ppm malachite green and 25 ppm formalin gives a better result against Trichodina sp., Costia sp. and Ichthyophthirius sp. For “Ich” disease three applications of the therapeutic mixture on alternate days are essential (Leuteux and Meyer, 1972). Some other chemicals such as copper sulphate, sodium chloride, methylene blue, etc., can also be used.
Myxosporidian and microsporidian species: Myxosporidian and microsporidian parasitic infections are very frequent in major carp species. Reports of large-scale mortalities of fry and fingerlings of carp species are common due to such infections. Several species of Myxosporidia have been found to infect all the carp species and form cysts on the body surface, fins, gills and internal organs such as the kidney and spleen (Fig. 46). However, when large numbers of oocysts are present on the gills, breathing of the fish is adversely affected (Dey, Kumar and Mishra, 1986). Renal infections lead to the damage of most of the renal tubules in the form of vacuolar degeneration of the tubular epithelial cells (Mishra et al., 1982). Microsporidian infections are most common in catla among Indian major carps. The parasite harbours the intracellular spaces of the epithelial cells of the renal tubules (Dey and Kumar, 1985). The most common symptoms of the disease are weakness, emaciation, scale protrusion, loss of scales, abnormal pigmentation and presence of parasites in renal tubular epithelial cells.
There is no known effective treatment against myxosporodiosis and microsporodiosis. Spores released from the infected and dead fishes remain viable for quite a long period in the pond bottom before they infect new hosts. Infected fish should immediately be removed and, if possible, the pond should immediately be dried and disinfected. In undrainable ponds where drying is not at all possible, the pond should be disinfected with chlorinated lime.
Worm diseases are caused by trematodes, cestodes and leeches. Many of these parasites do not apparently cause much harm to carp species in undrainable ponds. However, some have been known to be of serious concern. Among monogenetic trematodes, Gyrodactylus sp. and Dactyloqyrus sp. are most important as sometimes they cause extensive damage. Gyrodactylus infects skin and gills, whereas Dactyloqyrus effects only the gills. Carp fry and early fingerlings up to 3–4 g are more prone to this infection, sometimes resulting in heavy mortality. Excessive mucous secretions, decolouration of body and dropping of scales are the diagnostic features.
Treatment with 25 ppm formalin in ponds or 250 ppm formalin for 1 h bath usually controls the monogenetic trematode infections. Other compounds which may be used include potassium permanganate at the rate of 5 ppm or potassium dichromate at the rate of 20 ppm. Bath in 3% sodium chloride solution till the fish start showing distress is also an effective control measure.
Black spot disease is a frequently occurring disease in nursery and rearing ponds causing extensive damages at times. The disease is caused by posthodiplostomum and appearance of black pigmented area on the skin around the cysts of metacercariae is the common symptom (Fig. 47). Molluscs act as the intermediate hosts and hence eradicating molluscan population and clearance of weed are the two steps for controlling the disease. Pond treatment with bleaching powder, copper sulphate or malathion at usual doses kills the free living stages of the parasite/mollusc population.
Several genera of cestodes have been found to infect major carp species, apparently causing little harm. Brothiocephalus sp. for example is becoming an important menace in nursery and rearing ponds in many European countries. Another important member of this group of fish parasites is Liqula intestinalis. It causes abdominal distension and in advanced cases it may cause rupture of the abdominal wall.
Crustacean diseases: Two crustacean parasites are most widespread and commonly found parasitizing major carp species sometimes causing large-scale damage in nursery, rearing and stocking ponds. These are Lernaea sp. or anchor worm and Arqulus sp. or fish louse.
Lernaea sp.: It has a slender, wormlike body with the head embedded in the flesh of the fish which causes unsightly lesions (Fig. 48). The embedded head bears branching processes that resemble an anchor and hence the name anchor worm. Early infections may cause the fish to swim about erratically; in the later stages it causes haemorrhagic and ulcerated areas at the point of penetration. Main injuries are caused by loss of blood and openings in the skin which allow entry of secondary pathogens. Lernaea may be found at the bases of fins or scattered about the body surface.

Figure 46. Myxogoan cysts on gill

Figure 47. Black Spot Disease in Fry/Fingerlings of Indian Major Carp

Figure 48. Common Crustacean Parasites
Arqulus sp. infection is widespread and frequently appears in undrainable ponds. Sometimes it causes serious problems resulting in high mortality. They are large copepods and consequently they are conspicuous objects on the fish that they inhabit. Fish with advanced infestations are characterized by erratic swimming, restlessness, haemorrhagic areas and lesions over the body with attached parasites. The parasite is easily recognised by flat, leaf-like carapace with emerging appendages (Fig. 48). Although a number of therapeutics have been recommended for the control of Lernaea sp. and Arqulus sp. infections, including potassium permanganate and sodium chloride, they have been found to be of partial success in field conditions. Malathion is an easily available organophosphate having relatively low toxicity to humans and has been found to be very effective in controlling copepod parasitic infections when applied at the rate of 0.25 ppm. Two subsequent treatments at the interval of one week completely eradicate the parasite.
10.8.2.3 Environmental and nutritional diseases
Diseases known to be occurring due to nutritional deficiencies and environmental disorders are of little importance. Proper monitoring and management of pond ecosystem and provision of adequate quality of supplementary feed will avoid occurrence of such diseases which sometimes appear in ill-managed ponds. Liver lipoid disease (LLD) in catla and gas bubble disease in early fry of rohu are worth mentioning.
10.8.3.1 General considerations
Four key factors are of utmost importance whenever a chemical application is contemplated (Meyer and Warren, 1975). They are the water, the fish, the causative agent and the chemical. Complete information about each of these factors must be in hand before any therapy is planned. Knowledge concerning the fish includes the species affected and unaffected, the number and size of the fish and their specific requirements. Information about the causative agent is based upon correct diagnosis and the vulnerable stages in its life cycle. Data about the pond water temperature, pH, alkalinity, dissolved oxygen, total water volume, etc., are also required for the selection of the most suitable drug. When all of the foregoing data are in hand, one may then begin to consider which drug or chemical should be used. Selection of the therapeutic compound must be based on the following considerations:
effectiveness against the causative agent;
adverse effects, if any, on the host;
possibility of penetrating the site of infection;
effectiveness under the existing water chemistry;
local availability;
cost considerations;
convenience of application.
It is reemphasized that the success of therapy depends very much on the correct diagnosis of the problem. Moreover, it should also be considered that disease outbreak is the indication of more basic environmental problems and hence such problems should also be identified and corrective measures taken.
10.8.3.2 Methods of therapeutic application
Therapy can be applied in two ways:
external treatments;
treatment via diet;
External treatments: There are two methods of application of external treatments.
Immersion in chemical solution: The most common method of administering therapeutic agents to fish is immersion in water soluble compounds (Fig. 49). Depending on the available facilities, severity and nature of the disease and local conditions, three types of immersion treatments are suitable for undrainable pond culture situations. These are baths in lower concentration of chemicals ranging from short to prolonged periods and dips where the fish are dipped into a chemical solution of high concentration for a very short period ranging from a few seconds to 5 minutes. Indefinite bath is suitable for pond treatment where the chemical is applied at a low concentration for an indefinite period and the chemical is allowed to gradually dissipate or detoxify naturally.

Figure 49. Treatment of Fish by Immersion in Tnerapetic Solution
Swabs: Swabbing is application of drugs in high concentration when dealing with individual fish with localized external infections. For better convenience it is desirable to immobilize the big-sized fish prior to swab application.
Treatment via diet: This method is usually applied for treating the systemic bacterial diseases or gut parasites by incorporation of the drug into the feed. Loss of appetite is one of the first signs of a disease and hence in such cases the use of drugs in proper doses through supplementary feeding becomes difficult. Leeching of drug is another problem. If some of the water soluble drugs are properly mixed with vegetable oil prior to its final mixing with the feed, such losses may be minimised. Generally, feeding medicated feed is considered to be a prophylactic rather than a therapeutic measure.