Isolation and analysis of CTV dsRNA from citrus bark

Contents - Previous - Next

J. Allan Dodds and T. Jarupat
Department of Plant Pathology University of California (Riverside)
United States of America

Peel green bark from twigs, use 2 g for each sample. Grind to a fine powder in liquid nitrogen. Transfer to a tube, seal and store at 20°C if it is not possible to proceed immediately. Will keep well for years if frozen.

Add 4 ml of STE buffer (0.1 M NaCl, 0.05 M Tris,0.001 MEDTApH6.8),6ml of STE buffer saturated phenol, and 0.6 ml of 10% sodium dodecyl sulfate to bark powder. Shake at room temperature for 30 min.

Centrifuge (8 000 g for 15 min), withdraw clear upper layer to a tube and adjust to a final volume of 10 ml with STE buffer. Add 2.1 ml of 95% ethanol and mix (= sample, in 16.5% ethanol). Use room temperature for this and the following steps.

Make a slurry of 1 g of Whatman CF-11 cellulose powder in STE buffered 16.5% ethanol, and dispense into a 10-ml plastic syringe barrel which has been plugged with a disk of Miracloth (or glass wool) and is held in a test-tube rack. Allow column to settle.

Pour sample through column, and discard the eluate into a pan in which rack is standing.
Pour 10 x 5 ml of STE buffer (ethanol-free) through the column.
Discard first 2 ml. Collect and retain the remainder (= ds RNA solution).

Add 2 volumes of 95% ethanol and 1/10 volume of 3 M sodium acetate pH 5.5 to dsRNA solution, store at 4°C for 1 h or overnight, and then centrifuge (8 000 g for 30 min).

Resuspend pellet in 1 ml of STE buffer, add 2 volumes of 95% ethanol and 1/10 volume of 3 M sodium acetate pH 5.5 to dsRNA solution, store at 4°C for 1 h or overnight, and then centrifuge (8 000 g for 20 min).

Resuspend pellet in 20- 100 ml of electrophoresis buffer + glycerol (10°/c). Use for electrophoresis immediately, or store at 20°C.

Electrophorese 5-20 ml of dsRNA for 3 h at 50-60 ma/gel in electrophoresis buffer (0.004 M Tris,0.02 M sodium acetate, l mM EDTA, pH 7.8), on a 6 % polyacrylamide gel cast in a small vertical slab gel apparatus (83 x 63 x 1.5 mm).

Stain electrophoresed gels in ethidium bromide (25-50 ng/ml) in electrophoresis buffer for 15 min, de-stain in water for 1 -5 min, photograph on a transilluminator (260 nm) using prolonged exposures. (Polaroid type 57 film, 30 sec to 2 min, f8, red wrattan 23A and yellow wrattan 9 filters.)

Comments. Do up to ten columns (for one electrophoresis run) at a time. Two cycles of chromatography and/or RNase digestion in 1.5 M NaCl and/or DNAse digestion will improve purity but are usually not needed for routine analysis of CTV dsRNA patterns. Always include non-inoculated controls.

A more detailed laboratory manual can be obtained by writing to J.A. Dodds. See also Dodds et al.,1987, Phytopathol., 77: 442-447 and the section on Viroid purification and characterization in this handbook for further details on cellulose chromatography and gel electrophoresis.

Isolation and culture of Spiroplasma citri

ISOLATION OF S. CITRI FROM FRUIT ASEPTICALLY WITHOUT FILTRATION S. citri can be isolated from seeds or fleshy tissue in small fruits from stubborn suspect trees. The procedure is as follows:

Wash the fruit in a 1% sodium hypochlorite solution or in soap and water, and dry in the open air or with a sterile towel.

• First flame the equator of the fruit, then cut into the fruit to an approximate depth of 1.25 cm completely around the equator.
• Twist the two halves of the fruit apart.
• Pick out visible aborted seeds with sterile tweezers and place them in a tube of 10 ml of media (use one seed per tube to avoid excessive acid).
• Plug the tubes and incubate at 30-32°C.
• Look for colour change as shown in Figure 215 within 7-14 days.
• Examine a drop from each tube showing a colour change under a dark-field microscope for the presence of spiroplasma. In an actively growing culture the number of small helical organisms is high.

Similar aseptic techniques are possible throughout the year using albedo tissue (preferably from immature fruits) and other phloem-containing tissues such as the columella, provided adequate surface sterilization is possible. Ten to 20 ml of media may be needed to reduce the effect of inhibitors.

ISOLATION FROM PLANT TISSUES USING FILTRATION

This is the method of choice for most young leaves, stems and other specimens:

• If the sample is dirty, wash away as much dirt as possible in running water.
• Soak the specimen in 1% sodium hypochlorite for five minutes.
• Rinse in sterile distilled water.
• Place specimen in about 5 ml of medium in a sterile flat dish (such as one-half of a Petri dish) and chop with a sterile razor-blade. This step can also be applied to aborted seed or columella tissue.
• After five minutes or more, filter the medium containing the chopped tissue through a 0.45 µm filter, using slight suction. If penicillin-resistant bacteria are present, finer filters of 0.2 or 0.22 µm may be needed.
• Transfer aseptically 1 ml of the filtrate to about 10 ml of medium; repeat to make duplicate tubes. If filtrate is limited, use 0.3-3 ml of medium. It is best to make more than one dilution because of inhibitors.
• Incubate tubes at 30-32°C until a colour change is noted. If the organism is present, colour will change in seven to 14 days, and tubes should be held for three to four weeks. Always have known positive controls for comparison.
• Whenever colour change is noted, examine a drop from each tube under a dark-field microscope for the presence of spiroplasmas.
• Transfer cultures promptly to avoid deterioration and store or lyophilize as desired.

The medium is a modification of that of Saglio et al. (1971) and Fudl-Allah, Calavan and Igwegbe (1972). The yeast extract is omitted (Igwegbe,1978). The foetal bovine serum may give better results than horse serum, and the serum should be mycoplasma screened by the manufacturer.

Distilled water 780 ml
PPLO broth 21g
Fructose 1g
Glucose 1g
Sucrose 10g
Sorbitol 50g
Tryptone 1g
Phenol red (1 mg/ml) 10 ml
Foetal bovine (or horse) serum 100 ml
Penicillin G (25mg/ml) 25 ml

The pH of this medium is about 7.6 and the colour a pale red. The presence of S. citri or any other contaminating organism will turn the colour to amber or yellow (Figure 215). Other special-medium formulae and modifications are given by Calavan (1980) and Lee and Davis (1984).

REFERENCES

Calavan, E.C.1980. Stubborn. In Bové, J.M. & Vogel, R., eds. Description and illustration of virus and virus-like discuses of citrus. A collection of colour slides. Paris, I.R.F.A. SETCO-FRUlTS.

Fudl-Allah, A.A., Calavan, E.C. & Igweghe, E.C.K.1972. Culture of a mycoplasma organism associated with stubborn disease of citrus. Phytopathol., 62: 729-731.

Igwegbe, E.C.K.1978. Contrasting effects of horse serum and fresh yeast extract on growth of Spiroplasma citri and corn stunt spiroplasma. Phytopathol., 68: 1530-1534.

Lee, I.-M. & Davis, R.E.1984. New media for growth of Spiroplasma citri and corn stunt spiroplasma. Phytopathol., 74: 84-89.

Saglio, P., Laflèche, D., Bonisol, D. C. & Bové, J.M.1971. Isolement et culture in vitro des mycoplasmes associés au stubborn des agrumes et leur observation au microscope électronique. C.R. Ac. Sci. D, 272: 1387-1390.

FIGURE 215 Diagnosis for stubborn disease in culture medium. The presence of Spiroplasma citri causes a pH change and turns the phenol red indicator dye from reddish-orange (right) to amber-yellow (left). Confirmation should be made by taking a drop of liquid from the tube on the left, and observing it under a dark-field microscope

Detection of citrus tristeza virus inclusion bodies using azure a staining and in situ immunofluorescence

R.H. Brlansky

Citrus Research and Education Center
University of Florida (Lake Alfred)
United States of America

INTRODUCTION

Cytopathic intracellular structures, referred to as inclusion bodies, are produced in the phloem and associated cells of citrus trees infected with citrus tristeza virus (CTV) (Schneider,1959). These structures are diagnostic of CTV infection and can be observed in infected tissues with a light microscope after staining with azure A (a thiazin dye) or treatment with a fluorescent labelled antibody specific for CTV (in situ immunofluorescence). The following will describe the use of both techniques for the detection of CTV inclusion bodies.

AZURE A STAINING

The azure A technique, described by Christie and Edwardson (1977) for the detection of inclusion bodies produced by plant viruses, has been used to diagnose virus infections and is one of 49 criteria used for classifying groups of plant viruses. A procedure for detecting inclusions produced by CTV in citrus tissues was described by Garnsey et al. (1980). The method described here is a modification of that procedure.

Tissue selection

Tissue should be selected from a young flush of growth that is fully expanded, but not hardened. Petiole, midvein, or young stem tissue (bark) should be excised using a single-edged razorblade. The young stem bark tissue should be peeled away from the xylem. This is not necessary for the petiole or midvein tissues. Petiole tissue, especially around the abscission zone of the leaf, is preferred since it provides a marker (the abscission zone) for reference. Previous work (Brlansky, Lee and Garnsey,1988) has shown that preferred hosts for inclusion body formation include Mexican lime, Citrus hystrix, C. excelsa and sweet orange.

Sectioning

Both types of tissue must be thin-sectioned prior to staining. Freehand sections can be obtained by placing the tissue into a slit made into a piece of expanded polystyrene or a pith-wood stick and cutting sections with a razor-blade at a 45° angle to the long axis of the tissue. Thin sections are preferred since thick sections are difficult to de-stain and view.

Cryostat (frozen) sections are made by freezing a piece of petiole or young stem tissue on a cutting block or stub in either a drop of distilled water or in an embedding compound such as Tissue Tek or OCT compound and putting this into a cryostat or freezing microtome to freeze. After freezing, thin sections of tissue are cut either longitudinally or transversely. Transverse sections of petioles or midveins are easier to handle and very thin sections are easily obtained. Sections 20-30 xm thick can usually be obtained with a cryostat. Using either a pair of fine-tipped forceps or a small fine-tipped brush, the sections are put into a small glass staining dish containing distilled water or phosphate buffered saline (PBS)(0.01 M phosphate buffer+ 0.15 M NaCl). Prior to staining, the water or PBS is removed.

Staining

A staining solution is made just prior to use by adding one drop of a solution of 0.05 percent azure A in ethylene glycol monomethyl ether (2-methoxyethylacetate) (prepared previously) to 9 drops of 0.2 M Na2HPO4, This staining solution is added to the sections, and the dish with sections is incubated for five to 10 minutes at room temperature. After staining, the solution is removed with a Pasteur pipette and the sections in the dish are de-stained by adding 95 percent ethanol. The sections are de-stained for five minutes and then the ethanol is removed and replaced with ethylene glycol monoethyl ether acetate (2-methoxyethyl acetate). After a few minutes in this solution the sections are removed using thin forceps, and mounted in Euparal on a glass slide and covered with a cover slip.

Viewing

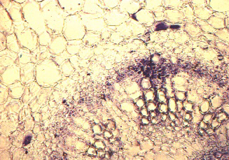
The mounted sections are viewed in a compound light microscope using transmitted light. The area of the phloem is observed for the presence or absence within the cells of purple-stained bodies (Figure 216).

IN SITU IMMUNOFLUORESCENCE

Immunofluorescence has previously been used to detect the presence of plant viruses and their inclusion bodies (Nagaraj and Black, 1961; Brlansky et al., 1982). This technique uses an antibody to the virus in question coupled either directly with a molecule that fluoresces under UV light or indirectly with another antibody that is labelled with the fluorescent molecule. Brlansky, Lee and Garnsey (1988) described a technique for the detection of citrus tristeza inclusion bodies in sections of tissues infected with CTV. The following is a description of that technique.

Tissue selection

The selection of tissue is the same as that described above for azure A staining.

Sectioning

Sectioning of tissues for this procedure is the same as described above for azure A staining. Thin sections of tissue are preferred since the antibody specific for CTV must penetrate the cells.

Antiserum

The antibody specific for CTV must have the IgG (immunoglobulin G) portion separated and used for this technique. The method preferred is the protein A-Sepharose affinity column procedure of Miller and Stone (1978). The concentration of IgG is estimated spectrophotometrically using E 0.1 percent 1 cm = 1.4 (at 280 nary). The anti-CTV IgG and the normal rabbit serum are conjugated to either fluorescein isothiocyanate(FITC) or tetramethylrhodamine isothiocyanate (TRITC), according to the procedure of Blakeslee and Baines (1976) and Brlansky et al. (1982).

Treatment of tissue sections

Tissue sections are removed from PBS and immediately placed in drops of the primary anti-CTV IgG diluted 1 :20 with PBS. After an incubation of 1 h at room temperature or 30 minutes at 37°C, the sections are washed by flooding the dish containing the sections with PBS. After a 10- to 20-minute wash, the sections are mounted on microscope slides in "Aqua Mount" and covered with a cover slip.

Viewing

The sections are observed with a fluorescence microscope in the 560-590 nm wavelength range for TRITC fluorochrome or in the 380-420 nm wavelength range for FITC. Positive samples should have large fluorescing structures in the phloem while controls or negative samples should have no fluorescing structures associated with the phloem (Figure 217). Fluorescing inclusions may be photographed using Kodak Technical Pan 2415 black-and-white film. For colour slides, Ektachrome colour-slide film, ASA 400, is recommended.

SOURCES OF SUPPLY

Azure A - (A37730) Pfaltz and Bauer, 126-02 Northern Blvd, Flushing, NY 11368, United States of America

Euparal - Carolina Biological Supply, Burlington, NC 27215, United States of America

Tissue Tek II - Fisher Scientific, 711 Forbes Ave., Pittsburgh, PA 15219, United States of America Forceps No. 5, stainless steel - any scientific equipment supply company

Aqua Mount Mounting Medium - Lerner Laboratories, New Haven, CT 06513, United States of America

Tetramethylrhodamine isothiocyanate (BBL brand) - Fisher Scientific

Fluorocein isothiocyanate - Fisher Scientific

Conjugated antisera- Organon Teknika-Cappel,

One Technology Court, Malvern, PA 19355.

United States of America.

REFERENCES

Blakeslee, D. & Baines, M.G. 1976. Immunofluorescence using dichlorotriazinylaminofluorocein (DTAF) 1. Preparation and fractionation of labeled IgG. J. Immunol. Methods, 13: 305-320.

Brlansky, R.H., Lee, R.F. & Garnsey, S.M. 1988. In situ immunofluorescence for the detection of citrus tristeza inclusion bodies. Plant Disease, 72: 1039- 1041.

Brlansky, R.H., Lee, R.F., Timmer, L.W., Purcifull, D.E. & Raju, B.C. 1982. Immunofluorescence for the detection of xylemlimited bacteria in situ. Phytopatilol., 72: 1444-1448.Christie, G.G. & Edwardson, J.R. 1977. Light and electron microscopy of plant virus inclusions. Fla. Agric. Exp. Stn. Monogr. Ser. 9. 155 pp.Garnsey, S.M., Christie, R.G., Derrick, K.S. & Bar-Joseph, M.1980. Detection of citrus tristeza virus. II. Light and electron microscopy of inclusions and viral particles. In Calavan, E.C., Garnsey, S.M. & Timmer, L.W., eds. Proc. 8th IOCV Conf.,., p. 9-16. Riverside, CA, IOCV.

Miller, T.J. & Stone, H.O. 1978. The rapid isolation of ribonuclease-free immunoglobulin G by protein A-Sepaharose affinity column chromatography. J.Immunol. Methods,24: 11 11:25.

Nagaraj, A.N. & Black, L.M.1961. Localization of wound tumor virus antigen plant tumors by the use of fluorescent antibodies. Virol., 15: 289-294.

Schneider, H. 1959. The anatomy of tristeza-virus-infected citrus. In Wallace, J.M., ed. Citrus virus diseases, p. 73-84. Berkeley, CA.

FIGURE 216 Azure A stained citrus tristeza inclusion bodies in citrus tissue as viewed through a compound light microscope. The purple-stained inclusion bodies are clearly visible in the area of the phloem (250X)

FIGURE 217 Citrus tristeza inclusion bodies In the phloem cells of citrus tissue. The tissue was treated in anti-CTV IgG conjugated with a fluorescein isothiocyanate and observed through a fluorescence microscope. Inclusion bodies fluoresce and are highly visible (250X)


Contents - Previous - Next