Plates 15–17 (pp. 81–83)
Species affected
Among African fish, infection by coccidia has so far been demonstrated in cichlid fish,
in Clarias gariepinus, and in eels (Anguilla mossambica). Other fish have not been
investigated. Coccidia also infect common carp, goldfish, grass carp and silver carp.
Other tropical fish found to host coccidia are farmed Gouramies (Trichogaster
trichopterus) (Kim & Paperna, 1993b) and, in South America, cichlids (Bekesi & Molnar,
1991; Azevedo et al., 1993) and characids (Serrasalmus niger), both with visceral
coccidia (Calyptospora spp.).
Geographic range
Eimeria vanasi and Goussia cichlidarum occur in cichlid fish in Israel, Uganda and South
Africa (Landsberg & Paperna, 1985, 1987). E. vanasi has also been recovered from
Oreochromis niloticus introduced to Thailand (from Egypt via Japan). Carp and goldfish
in Israel, as elsewhere (Kent & Hedrick, 1985), are infected by Goussia carpelli. A second
species found on Eurasian carp, Goussia subepithelialis (Marincek, 1973), and Eimeria
sinensis in silvercarp and bighead (Molnar, 1976) are absent from Israeli farmed fish.
Introduced cyprinids in South Africa have not, thus far, been examined. Visceral tissue
coccidioses are as yet unknown in African fish, however, liver and gonadal infections by
Calyptospora spp. were reported from South American hosts (as well as from euryhaline
killifishes in the southern USA - Overstreet et al., 1984). The only known coccidia from
Southeast Asian tropical fish is Goussia trichogasteri from Gourami (Szekely & Molnar,
1992).
Description taxonomy and diagnosis:
Piscine coccidia are intracellular organisms of the epithelium (of the gut, the gall bladder,
the swimbladder and the kidney tubules) and tissues (liver) of epithelial origin.
Developing intracellular (endogenous) stages may be detected within their host tissues
by microscopic examination of fresh tissue and stained impressions and smears (with
buffered [to pH 7.2] Giemsa, after being air dried and fixed in absolute methanol).
Oocysts of digestive tract-coccidia may be detected in faeces. The oocyst wall of piscine
coccidia, with a few exceptions (of eels), is soft and fragile and is often lost by the end
of sporulation. Therefore, if sporulation occurs prior to defecation, only the smaller naked
sporocysts may be found in faeces.
Coccidia are identified by the morphometry of their oocysts and sporocysts, the site of endogenous development and their position in the host cell (Dykova & Lom, 1981).
The sporocyst's hard wall is either bivalved and cleaves by a longitudinal suture (in the genus Goussia, Paperna & Cross, 1985), or opens at the sporocyst's apex, at one pole, through a round pore (genus Epieimeria of eels, and some Eimeria s.l.) or a short apical suture. The sporocyst wall of the latter type may also form tubercules or projections and is further enclosed in a veil (genus Calyptospora - Overstreet et al., 1984).
Life history and biology
Piscine coccidia develop either in the cytoplasm of the host cell or inside it's nucleus.
Epicytoplasmic coccidia develop at the apex of the epithelial cell, below its brush border,
bulging as they grow, together with their host cell wall, into the space about the epithelium
(intestinal, swimbladder or excretory lumen) (Paperna & Cross, 1985; Molnar & Baska,
1986). Sometimes the same coccidium species has cytoplasmic, intranuclear and
epicytoplasmic generations (E. vanasi infecting cichlid fish, Landsberg & Paperna, 1987;
Kim & Paperna, 1992).
Extraintestinal coccidia apparently reach their target organ via the blood. G. cichlidarum also underwent endodyogenous division before becoming established in the swim-bladder epithelium of its cichlid host (Kim & Paperna, 1993a).
In the epithelial cell, parasites undergo successive asexual (merogonous) divisions and a sexual process by which microgametes, differentiated from a microgamont, fuse with a macrogamont (macrogamete). The zygote thus formed becomes liberated from the host cell, while being encased in a wall. Through subsequent divisions the zygote divides into four, hard walled sporocysts, each of which further divides into two motile sporozoites.
The pace of development is fast in intestinal coccidia; in E. vanasi 8 days from infection to sporulation (at 24–27°C) (Kim, 1992). In the swimbladder, coccidium (G. cichlidarum) endogenous development to sporozoite-containing sporocysts lasted at least 58 days at 23–26°C (Kim & Paperna, 1993a). These differences between intestinal and extraintestinal species are confirmed by studies of non-African species (Solangi & Overstreet, 1980; Steinhagen, 1991a).
Oocysts of digestive tract and gall bladder coccidia are evacuated with the faeces (Landsberg & Paperna, 1985, 1987; Paperna, 1990, 1991; Kim & Paperna, 1992, 1993b). Sporulation of most gut coccidia is completed before evacuation in the faeces (endogenous sporulation). Some intestinal species, notably G. carpelli infecting carp and goldfish, become trapped in the gut epithelium within degenerate host cells (yellow bodies) (Kent & Hedrick, 1985). Oocysts of another carp coccidium, G. subepithelialis, formed in the epithelium are displaced by the regenerating epithelium into the sub-mucosal layer (Marincek, 1973; Molnar, 1984). Oocysts of the epicytoplasmic coccidium of eels Epieimeria anguillae also infiltrate into the mucosa rather than being evacuated into the lumen (Hine, 1975). Oocysts of visceral and internal cavity coccidia, accumulate, sporulate in the host and will be liberated only after the death of the host (Solangi & Overstreet, 1980).
Direct transmission by feeding on evacuated, sporulated oocysts has been demonstrated in several intestinal species, including those in carp Goussia carpelli (Steinhagen & Korting, 1988) and in cichlids E. vanasi (Kim & Paperna, 1992). It has also been experimentally demonstrated that tubificid oligochaetes, of the genera Tubifex and Limnodrilus, serve as paratenic hosts: sporozoites of G. carpelli when ingested by the worms, excysted and invaded their gut epithelial cells. Such sporozoites remained infective, when fed with the worm, to carp 9 weeks later (Steinhagen, 1991b). Some eimerine coccidia (Calyptospora funduli) require an obligate intermediate host (grass shrimp) for transmission (Fournie & Overstreet, 1983).
Transmission via predation and necrophagy seems to be the route of transmission not only for extraintestinal coccidia but for endogenously sporulating intestinal coccidia, while still in their host gut tissue or in the intestinal lumen (Molnar, 1984).
Pathology
The economic damage done by coccidiosis to warm water pisciculture has apparently
been grossly underestimated. Since coccidiosis in fish usually manifests itself as a
chronic infection, mortality is gradual and is overlooked in most farms. Losses only
become evident when yields are checked at the end of the growth period.
Cyprinids and cichlids contract intestinal coccidioses as soon as they hatch. Infection (of G. carpelli) has been identified in 8-day-old goldfish, with mortality occurring 30–45 days later. G. carpelli seems to be more pathogenic to goldfish than to carp (Kent & Hedrick, 1985). In cichlids (cultured Oreochromis hybrids), intestinal infection (of E. vanasi) was detected in fry by the end of nursing in their parents' mouth, losses became evident when infection reached maximum levels by two or three weeks after hatching (Kim, 1992). Heavy infections in carp fingerlings (25–50 mm long) have been found to coincide with severe emaciation. Emaciation also occurred in infected cichlid fry. Surviving fish demonstrated spontaneous recovery, infection was low or absent in carp and goldfish or cichlids older than 2 months. Nonspecific defence response parameters (leucocytosis, eosinophylia, activation of phagocytes and elevation of natural antibody titer and of coeruloplasmin) were detected in carp infected with G. subepithelialis (Studnicka & Swicki, 1990).
Damage caused by intestinal coccidioses occurs principally by the rupture of the epithelium by the escaping merozoites and oocysts (in G. carpelli and E. sinensis - Molnar, 1976, 1984; Kent & Hedrick, 1985). In the intestine of cichlid fry infected with E. vanasi, most damage is caused to the mucosal cells by the developing intracytoplasmic parasites (Landsberg & Paperna, 1987). Epicytoplasmic infections seem to have less effect on the gut epithelial layer and the damage induced through consumption of the nuclei by the intranuclear generations has not yet been evaluated. Inflammatory changes in intestinal coccidioses only occur following disintegration of the mucosal layer and in response to accumulated cellular debris. In nodular coccidiosis, caused in carp by G. subepithelialis, the accumulation of oocysts in the lamina propria induces inflammation with intense leucocyte infiltration (enteritis) (Marincek, 1973a; Molnar, 1984). The G. cichlidarum epicytoplasmic infection leads to an intense desquamation of the swimbladder epithelial lining in cichlids (Landsberg & Paperna, 1985). Proliferation of the mucosal epithelial cells, observed in intestinal (Molnar, 1984) and in swimbladder infections, blocks the release of oocysts from the epithelium, resulting in a condition similar to that observed in nodular coccidiosis.
Swim bladders of cichlids with late infections turn opaque white. The pathogenicity of the swim bladder coccidiosis to juvenile cichlids still needs to be critically evaluated.
Coccidia of Clarias gariepinus have not been studied. They form yellow bodies similar to those of G. carpelli. Data on the pathological effect of Epieimeria anguillae infections are available from cultured New Zealand eels (Anguilla australis and A. diffenbachii) (Hine, 1975). Oocysts which aggregate within or below the gut mucosa (in the lamina propria) induce inflammatory infiltration. In more severe infections, the condition is reminiscent of nodular coccidiosis, the basal membrane breaks and, following the aggregation of oocysts, the sub-mucosal tissue degrades and the loosened epithelial mucosa is sloughed off. Mature oocysts and sporocysts are passed out with necrotic tissue, eels become severely emaciated and die (Hine, 1975). Infected A. mossambica in South Africa passed free sporulated oocysts, and their intestines seemed to be normal.
Host response to oocyst aggregation in the livers of fish with visceral coccidioses (Calyptospora funduli in American killifish, Fundulus spp.), even when replacing up to 85% of the organ's volume, was limited to formation of a thin fibrotic capsule sometimes with collagen, or melanin (Solangi & Overstreet, 1980; Bekesi & Molnar, 1991).
Epizootiology
In Israel it would be difficult to find cichlid fry, less than 25 mm in length, of any species,
wild or cultured, from earth ponds or from the hatchery, free from infection with Eimeria
vanasi. In all these young fish, irrespective of species, intracytoplasmic, epicytoplasmic
and intranuclear forms occur simultaneously. Infection declines only after the surviving
fish reach 40–50 mm in length (2–3 months old). Infection in all its three forms also seems
to be widespread in South African cichlids, similarly affecting all local species. Heavy,
morbid infections occurred in larger fish, up to 50 mm in length (O. mossambicus, and
Tilapia sparmanii during winter). Persistence, or recurrences of infection, occurred where
defence responses were apparently compromised due to low temperature (<13°C) or
other stress conditions. Merogonic stages remaining inactive in on-growing fish are
suspected to provide the source for renewal of infection in the new generations of fry in
the following reproduction season (Paperna, unpublished).
Swimbladder coccidiosis infections occur only in Oreochromis spp. and Sarotherodon galilaeus. Due to the longer endogenous development, prevalence of infection extends to a wider range of age/size classes, while being absent in very young fish (less than 2 months old, (<40–50 mm long). In ponds, often all fish eventually become infected. Infection is retained in O. mossambicus entering marine habitats in South Africa.
Coccidioses in Israeli carp and goldfish are not as frequent as in cichlids, but quantitative data on infections among fish in warm water habitats are lacking.
Control
An established protocol for chemotherapy and preventive management has not yet been
formulated.
Cryptosporidium is a common parasite of the stomach in wild and cultured cichlid fry (Oreochromis spp.) in Israel (Landsberg & Paperna, 1986). Meronts and gamonts of this minute (about 5×3 μm) coccidium appear as dense spherical or mushroom-like structures located at the brush border apices of the stomach epithelium. The attached parasite is encased within the host cell wall, whose rudimentary microvilli are visible when viewed with a scanning electron microscope (Paperna, 1987). Host-cell microvilli are completely lacking in Cryptosporidium of other vertebrates. A further unique feature to piscine Cryptosporidium is the retreat of the mature zygote into the stomach mucosa or submucosa, where sporulation is completed (into eight naked sporozoites), instead of being released into the gut lumen, as occurs in the non piscine forms. Apart from cichlids, Cryptosporidium has been reported to infect carp (in Czechoslovakia - Pvalasek, 1983) and a few marine fish. It is difficult to establish whether Cryptosporidium is pathogenic to cichlid fry, as this infection occurs concurrently with enteric coccidiosis. Data from other infections are insufficient to be conclusive. Control methods are unknown.
REFERENCES
Azevedo, C., Matos, P. & Matos, E., 1993. Morphological data of Calyptospora spinosa n. sp. (Apicomplexa, Calyptosporidae) Parasite of Crenicichla lepidota Heckel, 1840 (Teleostei) from Amazon river. Europ. J. Protistol., 29: 171–175.
Bekesi, L. & Molnar, K., 1991. Calyptospora tucunarensis n. sp. (Apicomplexa: Sporozoea) from the liver of tucunare Cichla ocellaris in Brazil. Syst. Parasit., 18: 127–132.
Dykova, I. & Lom, J., 1981. Fish Coccidia: critical notes on life cycles, classification and pathogenicity. J. Fish Dis., 4: 487–505.
Hine, P.M., 1975. Eimeria anguillae Leger & Hollande, 1922, parasitic in New Zealand eels. New Zealand J. Mar. & Freshwater Res., 9: 239–243.
Fournie, J.H. & Overstreet, R.M., 1983. True intermediate hosts for Eimeria funduli (Apicomplexca) from estuarine fishes. J. Protozool., 30: 672–675.
Kent, M.L. & Hedrick, R.P., 1985. The biology and associated pathology of Goussia carpelli (Leger and Stankovitch) in goldfish Carassius auratus (Linnaeus). Fish Pathol., 20: 485–494.
Kim, Soo-Hyun, 1992. Developmental biology of tilapia coccidia: Eimeria vanasi in the intestine and Goussia cichlidarum in the swimbladder. MSc Thesis, Faculty of Agriculture of the Hebrew University of Jerusalem.
Kim, Soo-Hyun & Paperna, I., 1992. Fine structure of epicytoplasmic stage of Eimeria vanasi from the gut of cichlid fish. Dis. Aquat. Org., 12: 191–197.
Kim, Soo-Hyun & Paperna, I., 1993a. Development and fine structure of intracytoplasmic and epicytoplasmic meronts, merozoites and young macrogamonts of the cichlid fish swimbladder coccidium Goussia cichlidarum. Dis. Aquat. Org., 15: 51–61.
Kim, Soo-Hyun & Paperna, I., 1993b. Endogenous development of Goussia trichogasteri (Apicomplexa: Eimeriidae) in the intestine of gourami Trichogaster trichopterus. Dis. Aquat. Org., 17: 175–180.
Landsberg, J.H. & Paperna, I., 1985. Goussia cichlidarum n. sp. (Barrouxiidae, Apicomplexa), a coccidium parasite in the swimbladder of cichlid fish. Z. Parasitenk., 71: 199–212.
Landsberg, J.H. & Paperna, I., 1986. Ultrastructural study of Cryptosporidium sp. from the stomach of juvenile cichlid. Dis. Aquat. Org., 2: 13–20.
Landsberg, J. H. & Paperna, I., 1987. Intestinal infection by Eimeria s.l. vanasi n. sp. (Eimeridae, Apicomplexa, Protozoa) in cichlid fish. Ann. Parasitol. Hum. Comp., 62: 283–293.
Marincek, M., 1973. Development d'Eimeria subepithelialis (Sporozoa, Coccidia) -parasite de la carpe. Acta Protozool., (Warzawa) 12: 166–174.
Marincek, M., 1973a. Les changements dans le tube digestif chez Cyprinus carpio a la suite de l'infection par Eimeria subepithelialis (Sporozoa, Coccidia). Acta Protozool., (Warzawa) 12: 217–224 + pl. I–III.
Molnar, K., 1976. Histological study of coccidiosis caused in the silver carp and the bighead by Eimeria sinensis Chen, 1956. Acta Vet. Acad. Scien. Hung., 26: 303–312.
Molnar, K., 1984. Some peculiarities of oocyst rejection of fish coccidia. Symposia Biologica Hungarica (Akademiai Kiado, Budapest), 23: 87–97.
Molnar, K. & Baska, F., 1986. Light and electron microscopic studies on Epieimeria anguillae (Leger & Hollande, 1922), a coccidium parasitizing the European eel, Anguilla anguilla L. J. Fish Dis., 9: 99–110.
Overstreet, R.M., 1981. Species of Eimeria in nonepithelial sites. J. Protozool., 28: 258–260.
Overstreet, R.M., Hawkins, W.E. & Fournie, J.W., 1984. The coccidian genus Calyptospora n.sp. and the family Calyptosporidae n. fam. (Apicomplexa), with members infecting primarily fishes. J. Protozool., 31: 332–339.
Paperna, I., 1987. Scanning electron microscopy of the coccidian parasite Cryptosporidium sp. from cichlid fishes. Dis. Aquat. Org., 3: 231–232.
Paperna, I., 1990. Fine structure of the gamonts of Eimeria (s.l.) vanasi, a coccidium from the intestine of cichlid fishes. Dis. Aquat. Org., 9: 163–170.
Paperna, I., 1991. Fine structure of Eimeria (s.l.) vanasi merogony stages in the intestinal mucosa of cichlid fishes. Dis. Aquat. Org., 10: 195–201.
Paperna, I. & Cross, R. H. M., 1985. Scanning electron microscopy of gamogony and sporogony stages of Goussia cichlidarum a coccidian parasite in the swimbladder of cichlid fishes. Protistol., 21: 473–479.
Solangi, M.A. & Overstreet, R.M., 1980. Biology and pathogenesis of the coccidium Eimeria funduli infecting killifishes. J. Parasitol., 66: 513–526.
Steinhagen, D., 1991. Ultrastructural observations on merogonic and gamogonic stages of Goussia carpelli (Apicomplexa, Coccidia) in experimentally infected common carp Cyprinus carpio. Eur. J. Protistol., 27: 71–78.
Steinhagen, D., 1991. Ultrastructural observations on sporozoite stages of piscine Coccidia: Goussia carpelli and G. subepithelialis from the intestine of tubificid oligochaetes. Dis. Aquat. Org., 10: 121–125.
Steinhagen, D. & Korting, W., 1988. Experimental transmission of Goussia carpelli (Leger & Stankovitch, 1921; Protista: Apicomplexa) to common carp, Cyprinus carpio L. Bull. Eur. Ass. Fish Pathol., 8: 112–113.
Studnicka, M. & Siwicki, A., 1990. The nonspecific immunological response in carp (Cyprinus carpio L.) during natural infection with Eimeria subepithelialis. Israel J. Aquacult. - Bamidgeh, 42: 18–21.
Szekely, C. & Molnar, K., 1992. Goussia trichogasteri n. sp. (Apicomplexa: Eimeriidae) infecting the aquarium-cultured golden gourami Trichogaster trichopterus trichopterus. Dis. Aquat. Org., 13: 79–81.
ILLUSTRATIONS
Plate 15. Intestinal Coccidiosis: a. live meront, b–e. Giemsa stained smears: b, cytoplasmic merozoites; c, intranuclear merozoites; d. formation of young macrogamonts; e, zygote with early wall formation. f–i. Histological sections: f, mature (open arrow) and divided cytoplasmic meronts (bold arrow); g. Epicytoplasmic merogony stages; h, epicytoplasmic microgamont with microgametes; i, mature macrogamonts with wall forming-like bodies (dark granules). j–k. Transmission electron microscopic view of epicytoplasmic young meront (j) and young gamonts (k). I–n. Stages from non-sporulated to sporulated oocysts (photo J.H. Landsberg).
Plate 16. Extraintestinal Coccidiosis: a. young gamonts (histology). b. young meronts or gamonts, scanning electron microscopy (SEM). c. Dividing meront (histology). d. microgamonts (open arrow) and macrogamonts (histology). e. macrogamonts and swollen swimbladder epithelial lining (SEM). f,g,i,m, live parasites seen in pressed swimbladder between glass slides: f, macrogamonts; g, sporulating oocysts; i, oocysts with sporocysts; j, oocysts with ripe sporocysts. h, SEM of ripe oocyst, note the fragile thin oocyst wall. k. Transmission electron microscopic view of young macrogamont within a parasitophorus sac and junctions to the underlying epithelial cell (arrows). l, Tissue reaction, fibroblasts and macrophages around oocysts (arrow) regressed into the submucosal layer of the swimbladder (histology viewed with phase contrast microscopy).
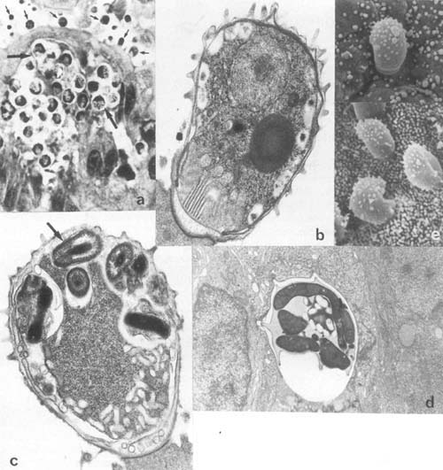
Plate 17. Cryptosporidiosis (page 83 with legend)

Plate 15. Intestinal Coccidiosis (legend p. 80).

Plate 16. Extraintestinal Coccidiosis (legend p. 80).

Plate 17. Cryptosporidiosis: a. histological section, small arrows: epicytoplasmic merogony and gamogony stages, large arrows oocyst regressed into the intestinal mucosa. b. Epicytoplasmic macrogamont, c, microgamont (arrow microgamete) and d, sporulated oocyst in the tissue view by a transmission electron microscope. e. Epicytoplasmic stages viewed by a scanning electron microscope.