Ismael Eleotério Pires
Forester, M. Sc., Assistant Professor in Forestry, Universidad Federal de Vic, osa
Guilherme de Castro Andrade
Forester, B. S., emparn Researcher
Manoel de Souza Araújo
Forester, B. S., emepa Researcher
Introduction
Indiscriminate use of Prosopis juliflora (Sw) dc seeds obtained within the Brazilian Northeastern region without any control on production, generation after generation, poses a risk for future genetic improvement programs, as the records indicate that the original genetic base was very narrow, i.e., the effective size of the existing populations is very small.
Considering the low genetic variability found by Pires and Kageyama (1985, and in the preceding report) for the growth characteristics of progenies in Soledade and Caicó at 18 months of age, this paper reports on the findings of evaluations made at 36 months of age, to ascertain the genetic variation up to this age.
Review of Literature
According to Azevedo (1982), P. juliflora (Sw) dc was introduced in Brazil in the early 1940's, with seeds originally from the United States and, later, from Peru and Sudan, with only four trees surviving the introduction trials. This suggests that these four trees constituted the starting point for all the populations existing in the region.
Lima and Galvão (1984) report on the existence of high variability among and within matrices concerning shape, height growth, number of branches and commencement of fruit bearing. On the other hand, Pires (1984) and Pires and Kageyama (1985) found low genetic variability for these same characteristics, with the exception of fruiting, finding heritability indices equal to or near zero in open pollinated progenies at 18 months of age.
P. juliflora (Sw) dc exhibits great phenotypic variability in its natural range in terms of plant shape, presence of thorns, growth rate, and fruit production (National Academy of Sciences, 1979). Being this an allogamous species, care must be taken concerning the effective size of the sample to insure an adequate genetic base for use in future improvement programs.
Crow and Kimura (1970) point out that the use of populations of very small effective size leads to a gradual increase in the level of inbreeding. According to Vencovsky (1978), selections performed in populations of very small effective size can produce negative effects due to the phenomenon of genetic oscillation.
Research undertaken by emepa and emparn under an agreement with the National Forest Research Program -pnpf/embrapa-idbf.
Genetic variability can be assessed through the genetic parameters of a population, controlling families with suitable layouts.
Venkovsky (1978) mentions that knowledge of the genetic variances and of their components is essential for devising improvement strategies. Heritability, according to Squillace et al. (1967), is a parameter suitable for forecasting improvements, helping managers to adopt the most appropriate methods for their programs.
Material and Methods
Trial Establishment
Seeds were collected from 36 parent trees from a population located at the Pendência Farm, Soledade, pb. Two trials were established, one at the same locality and another in Caicó, Rio Grande do Norte, each one involving 30 open pollinated progenies, 24 of which were common to both trials.
The experimental layout was triple rectangular lattice (5 × 6) with linear plots of 10 trees, at 3 × 3 m spacing, with a simple general fence around the whole trial.
The trials were established during the months of March and April 1982 in Caicó and Soledade, respectively.
Characteristics Measured
Height
The height of each plant was measured at 12, 18, 24 and 36 months of age in Caicó, and in Soledade at 18 and 36 months of age.
Diameter at Base
Measured at 18, 24, and 36 months in Caicó, and at 18 and 36 months in Soledade,
Mean crown radius
Obtained by cross-measuring the greatest and smallest crown projection diameter, at 18 and 41 months in Caicó and 18 and 36 months in Soledade.
Survival
Assessed at 12, 18, 24, and 36 months of age at both locations.
Data Analysis
Individual variance was analyzed for both locations according to a randomized block layout. The estimation of environmental variances and of variances within the plots was obtained by breaking down the mean squares of the randomized block analyses, as suggested by Ditlevsen (1980).
Genetic Parameter Determination
Heritability (h2)
Heritability coefficients concerning selection between plants (h2), and at the level of mean value for families (h2m) was obtained as follows:
![]() | and | ![]() |
As Lindgren (1976) points out, populations with a narrow genetic base can show variability as a result of the different levels of inbreeding exhibited by the individuals making them up, as the inbreeding depression does not correspond to a linear model in populations experiencing successive expansions.
Namkoong (1984) points out that, in a same population, sub-populations with characteristics of their own can exist, resulting from specific gene combinations, giving rise to high levels of heterogeneity without heterosis.
Variation coefficients
The genetic variation coefficient (cvg) was obtained as follows:
where x = mean value of the characteristics.
The variation coefficient within families (cvd) was obtained as follows:
Finally, the environmental variation coefficient (cve) was obtained as follows:
Results and Discussion
Table 1 below presents the results corresponding to the variance analyses at Caicó and Soledade, individually, for the characteristics evaluated at the different ages. Survival was not taken into account, as it was 99% in Caicó and 80.22% in Soledade.
TABLE 1
Results of the Variance Analyses for Height, Diameter at Base and Mean Crown Radius
at Different Ages, for both Locations
| Location/characteristics | Age (months) | Mean | F. prog. | CV. exp. (%) |
|---|---|---|---|---|
| CAICO | ||||
| Height (m) | 12 | 0.99 | 0.81 ns | 14.99 |
| 18 | 1.23 | 1.12 ns | 17.02 | |
| 24 | 1.30 | 1.14 ns | 15.71 | |
| 36 | 1.97 | 0.94 ns | 16.20 | |
| Diameter at base (cm) | 18 | 2.40 | 1.62 ns | 18.37 |
| 24 | 2.69 | 1.00 ns | 18.20 | |
| 36 | 4.59 | 0.76 ns | 18.37 | |
| Mean crown radius (m) | 18 | 1.13 | 1.16 ns | 16.45 |
| 41 | 1.74 | 0.77 ns | 14.52 | |
| SOLEDADE | ||||
| Height (m) | 18 | 0.85 | 1.66 ns | 15.62 |
| 36 | 1.79 | 1.30 ns | 15.10 | |
| Diameter at base (cm) | 18 | 1.41 | 1.69 ns | 17.92 |
| 36 | 3.02 | 1.93 * | 20.53 | |
| Mean crown radius (m) | 18 | 0.58 | 2.11 * | 25.73 |
| 36 | 1.18 | 1.74 * | 18.51 |
F prog.: F values obtained for progenies;
CV. exp.: Experimental variation coefficient;
* : Significant at 5% probability level;
ns: not significant.
As Table 1 shows, no significant differences were found between progenies for height, diameter at base at mean crown radius in Caicó, from the first to the last measuring.
In Soledade, no significant variation was found for height at 18 and 36 months of age, and for diameter at base at 18 months. The significance found for the difference in diameter at base, at 36 months, and for mean crown radius at both ages, must be regarded with caution, on account of the low F values and the higher variation coefficients found.
The low F values recorded for all characteristics at both locations suggest low genetic variability among the progenies.
It must be pointed out that the fact that the Soledade trial was established with a delay of some thirty days with respect to Caicó caused it to be intensely affected by drought, with the result that height growth, diameter at base and mean crown radius were 35 % lower than at Caicó, and survival was 80%, in comparison with 99% in Caicó. These aspects tend to mask the findings, particularly as regards genetic parameters. Therefore, the Soledade trial shall not be considered for calculating genetic parameters.
Table 2 shows the genetic variances between progenies with the corresponding standard deviations, variances between plants within plots and environmental variance between plots, for all three characteristics at the ages considered, at Caicó. As this table shows, height presented negative genetic variances at all ages, with the exception of 24 months. However, this was the age associated with the highest error estimate (61.04%), which can be attributable to the great variation in architecture of the individual plants at that age, rendering difficult to measure plant height accurately.
TABLE 2
Genetic Variance Estimates Between Progenies [Var (p)] with their Deviations [S Var (p)],
Variance Within [Var (p)] and Between Plots [Var (e)]
for Growth Characteristics at Various Ages, Caicó
| Characteristics | Age (months) | Var (p) | Var (p) | % | Var (d) | Var (e) |
|---|---|---|---|---|---|---|
| Height (m) | 12 | - 0.00140 | 0.00024 | 17.14 | 0.10196 | 0.01160 |
| 18 | - 0.00125 | 0.00054 | 43.20 | 0.17222 | 0.03610 | |
| 24 | 0.00077 | 0.00047 | 61.04 | 0.15910 | 0.02633 | |
| 36 | - 0.00213 | 0.00103 | 48.35 | 0.26692 | 0.07447 | |
| Diameter at base (cm) | 18 | 0.01520 | 0.00264 | 17.37 | 0.63645 | 0.015556 |
| 24 | 0.00403 | 0.00263 | 18.20 | 0.75321 | 0.16415 | |
| 36 | - 0.05606 | 0.00641 | 11.43 | 2.06220 | 0.50122 | |
| Mean Crown radius (m) | 18 | 0.00186 | 0.00058 | 11.60 | 0.22758 | 0.04117 |
| 41 | - 0.00500 | 0.00058 | 11.60 | 0.22758 | 0.04117 |
Diameter at base and mean crown radius exhibited positive variances at the early ages, turning negative at the last evaluation. The lowest estimation errors were associated with those characteristics. Considering the demonstration by Searle (1971) that negative variances are equal to zero, the negative results shall be considered zero.
Heritability values (Table 3) were, in general, null for all the characteristics at all ages, with the exception of height at 24 months, diameter at base at 18 and 24 months, and mean crown radius at 18 months. It must be pointed out, however, that even at those ages when heritability was different from zero, the values were very small. At the last evaluation, all the characteristics presented null heritability, evidencing the existence of a very narrow genetic base and little likelihood of obtaining improvements.
It is difficult to obtain improvements through selection, as their estimation results from the product of heritability and selection differential, i.e. Δ G = ds.h2. If one of these parameters is zero, obviously the result of this product is also zero.
TABLE 3
Heritability Values at Individual Level (h2) and Mean Level (h2m), for Growth Characteristics
at Various Ages, Caicó
| Characteristics | Age (months) | Mean | h2 | h2m |
|---|---|---|---|---|
| Height (m) | 12 | 0.99 | 0.00 | 0.00 |
| 18 | 1.23 | 0.00 | 0.00 | |
| 24 | 1.32 | 0.01 | 0.05 | |
| 36 | 1.97 | 0.00 | 0.00 | |
| Diameter at base (cm) | 18 | 2.40 | 0.07 | 0.17 |
| 24 | 2.69 | 0.02 | 0.05 | |
| 36 | 4.59 | 0.00 | 0.00 | |
| Mean crown radius (m) | 18 | 1.13 | 0.05 | 0.13 |
| 41 | 1.74 | 0.00 | 0.00 |
Table 4 presents genetic variation coefficients within plots and environmental variation coefficients, as well as the ratio between variance within, variance among families and environmental variation between plots. The ratio CVg/CVexp shown in Table 4 is, according to Venkovsky (1978), an indicator of the genetic improvement possibilities; the closer this value is to one, the greater the possibility of obtaining genetic improvements. This ratio, however, exhibited very low values, generally close to zero, which, associated to the low genetic variation coefficients, suggest low genetic variability in the population.
The variation coefficients within and between plots were relatively high compared with those obtained by Kageyama (1983) for height and diameter of Eucalyptus grandis, suggesting the decisive environmental influence.
TABLE 4
Variation Coefficient Values and Ratios; Ratio of Variance Within to Variance Between
Progenies [Var (d)/ Var (p)], and Variance Between Plots [Var (d)/Var (e)],
for Growth Characteristics at Various Ages, Caicó
| Characteristics | Age (months) | CVg % | CVd % | CVe % | CVg/CV exp. | Var (d)/Var (p) | Var (d)/Var (e) |
|---|---|---|---|---|---|---|---|
| Height (m) | 12 | 0.00 | 32.35 | 10.91 | 0.00 | 8.74 | |
| 18 | 0.00 | 33.74 | 15.44 | 0.00 | 4.77 | ||
| 24 | 2.00 | 30.28 | 12.32 | 0.13 | 206.62 | 6.04 | |
| 36 | 0.00 | 26.26 | 13.87 | 0.00 | 3.58 | ||
| Diameter at base (cm) | 18 | 5.14 | 33.24 | 16.43 | 0.26 | 41.87 | 4.09 |
| 24 | 2.35 | 27.94 | 15.03 | 0.13 | 180.9 | 4.59 | |
| 36 | 0.00 | 31.28 | 15.42 | 0.00 | 4.11 | ||
| Mean crown radius (m) | 18 | 3.81 | 32.15 | 12.89 | 0.23 | 70.97 | 6.22 |
| 41 | 0.00 | 27.33 | 11.62 | 0.00 | 5.53 |
The results obtained for heritability, genetic variation coefficient and the ratio cvg/cvexp support the hypothesis of high inbreeding indices in the population, resulting from the narrow genetic base, taking the four surviving trees reported by Azevedo (1982) as starting point. The question therefore arises: The four trees bore fruit simultaneously, or only one of them, two, or three, becoming the starting point for the constitution of other populations?
The need of introducing new genetic material must be stressed to encourage medium and long term improvement programs. The populations existing at present can and must be used, provided due care is exercised.
Assuming the inbreeding hypothesis, silvicultural research must be approached with caution, in general terms, mainly by using different populations and different environments as seed source.
Conclusions
The variance analyses with the f test did not reveal significant differences between families; this together with the low values of f, suggests the existence of low genetic variation in that population.
The characteristics of height, diameter at base and mean crown radius presented null genetic variation at 36 months of age.
The values for heritability, genetic variation coefficient and ratio of variance within and variance among families and plots, suggest the existence of inbreeding.
The findings call for caution in the use of seeds from the local populations, pointing to the need of introducing new material to widen the genetic base for the establishment of medium and long term improvement programs.
References
azevedo, g.f. de, 1982: “Como e por que a algaroba foi introduzida no Nordeste,” In: Proceedings, I Simpósio Brasileiro sobre Algaroba, Natal, emparn, Vol. 1, pp. 300–306.
crow, j.f. and kimura, m., 1970: “An introduction to population genetics theory,” New York, Harper & Row, 591 p.
ditlevsen, b., 1980: “Sistemas y diseños de cruzamiento controlado,” In: Mejora genética de árboles forestales, fao/danida, Rome, No. 20, pp. 197–212.
kageyama, p.y., 1983: “Seleção precoce a diferentes idades em progenies de Eucalyptus grandis (Hill) Maiden,” esalq/usp, Piracicaba, 147 p.
lima, p.c.f. and galvao, a.p.m., 1984: “A pesquisa com algarobeira desenvolvida pela embrapa/ibdf no Nordeste semi-árido,” Documentos, embrapa/ibdf, Brasília, 21 p.
lindgren, d., 1976: “Inbreeding and coancestry,” In: Joint Meeting iufro on Advanced Generation Breeding, Bordeaux, 14–18 June, 21 p.
namkoong, g., 1984: “Inbreeding, hybridization and conservation in provenances of tropical forest trees,” In: Joint Meeting iufro, Working Parties on Provenance and Genetic Improvement Strategies in Tropical Forest Trees, Mutare, Zimbabwe, 7 p.
national academy of sciences 1979: “Tropical legumes, resources for the future,” Washington, u.s.a., 331 p.
pires, i.e., 1984: “Variabilidade genética em progenies de uma população de algaroba —Prosopis juliflora (Sw) dc—da região de Soledade, Paraiba,” esalq/usa, Piracicaba, 94 p., M. Sc. Thesis.
pires, i.e. and kageyama, p.y., 1985: “Caracterização da base genética de uma população de algaroba —Prosopis juliflora (Sw) dc— existente ne região de Soledade, pb,” ipef, Piracicaba, (30): 29–36.
searle, s.r., 1971: “Topics in variance component estimation,” Biometrics, Raleigh, (27): 1–76.
squillace, a.e; bingham, r.t.; namkoong, g. and robinson, h.f., 1967: “Heritability of juvenile growth rate and expected gain from selection in western white pine,” Silvae Genetica, Frankfurt, 16(1): 1–6.
vencovsky, r., 1978: “Herança quantitativa,” In: Methoramento de milho no Brasil, Pateriani, E. (Coord.), Piracicaba, Fundação Cargill, pp. 122–201.
Orlando Balboa
José M. Parraguez
Patricio Arce
Biology Department, Faculty of Sciences
Universidad de Chile
Introduction
The genus Prosopis is represented in Chile by several species: P. chilensis, P. tamarugo, P. alba, P. flexuosa, P. alpataco, P. nigra, P. strombulifera and P. burkartii (Muñoz, 1959; Burkart, 1979; Eng. R. Palacios, personal communication). Its geographical distribution stretches from the Atacama Desert in the north southward through the semi-arid regions of Chile. The genus Prosopis shows several characteristics that make it unique, as its species thrive in regions of high soil water deficit, not only in summer but throughout the year, in nitrogen-deficient soil, under high sunlight intensity and marked differences between night and day temperatures.
The environmental stresses to which the species growing in these regions are exposed pose several questions, among which is how the biological activities of these species are affected by the environmental factors prevailing in arid and semi-arid regions. One way to answer this question is to gather data on the phenology of natural populations, in order to determine whether the tremendous intra and interspecific variability among the Prosopis species could be attributed to genetic self-incompatibility.
Material and Methods
Data were collected from six populations distributed along a latitudinal gradient shown in Table 1.
Twenty individual trees were randomly selected in each population, and eight branches were labelled facing the North, South, East, and West, and North-East, North-West, South-East, and South-West. The sites were visited once a month during dormancy and twice a month during the reproductive (flowering) and fruiting stages.
The genetic self-incompatibility experiments were carried out at two sites: Fundo Refresco (Pampa del Tamarugal) and Peldehue. Work was performed only with P.chilensis and P. alba-flexuosa at both locations, and with P. tamarugo at the former site. The procedure used was artificial crossbreeding or isolation of the inflorescences with appropriate bags to avoid the entry of pollinating vectors.
Results and Discusion
Figures 1, 2 and 3 show the phenophases per tree of each population studied. It is interesting to note that when comparing the extent of each phenophase, the populations located at Refresco FI and FII show a longer period of time; this is particularly noticeable in P. tamarugo, in which all phenophases last over 200 days, some of them up to 319 days (vegetative activity). More important, all the trees (100%) used in the study are actively involved in all phenophases (Table 2). P. tamarugo is probably well adapted to the environmental conditions prevailing at the Atacama Desert (López Ocaña, 1985). However, the longest vegetative activity recorded occurred in the Quillagua population (365 days). It is important to point out that Quillagua is a valley irrigated by the Loa River, therefore with constant water supply that could stimulate an active vegetative growth of the trees throughout the year.
In all the populations studied the trees were undergoing vegetative growth (100%) at the same time. However, the other phenophases show different percentages between the populations (Table 2). In the case of P. chilensis populations, Rivadavia and Chincolco show a closely related behavior, having almost the same number of trees in each phenophase, as shown in Table 3.

Figure 1. Phenology of P. chilensis populations during 1984–1985.

Figure 2. Phenology of P. chilensis populations during 1985–1986.

Figure 3. Phenology of P. tamarugo, P. alba-flexuosa complex and P. alba populations.
TABLE 1
Geopraphic Distribution of the Prosopis Populations
for Phenological Observation
| Sites | |
|---|---|
| Refresco | 20° 27' S. Lat. – 69° 41' W. Long. |
| Quillagua | 21° 39' S. Lat. – 69° 31' W. Long |
| Rivadavia | 29° 58' S. Lat. – 70° 33' W. Long. |
| Chincolco | 32° 13' S. Lat. – 70° 50' W. Long |
| Peldehue | 33° 09' S. Lat. – 70° 39° W. Long |
TABLE 2
Phenophase Duration of Prosopis Populations Arranged in a Latitudinal Gradient
Fundo Refresco (FI and FII), Quillagua (Q), Rivadavia (R), Chincolco (Ch) and Peldehue (P)
(1985–1986)
| Phenophases | Duration (days) | |||||
|---|---|---|---|---|---|---|
| FI | FII | O | R | Ch | P | |
| P. tamarugo | P. alba-flexuosa | P. alba | P. chilensis | P. chilensis | P. chilensis | |
| Vegetative activity | 319 | 320 | 365 | 203 | 152 | 184 |
| (100)1 | (100) | (100) | (100) | (100) | (100) | |
| Flower Bud | 263 | 210 | 91 | 119 | 91 | 137 |
| (100) | (25) | (70) | (95) | (100) | (95) | |
| Flowering (Bloom) | 217 | 179 | 47 | 90 | 91 | 89 |
| (100) | (25) | (70) | (95) | (95) | (84) | |
| Fruiting | 202 | 86 | 136 | 145 | 134 | 91 |
| (100) | (25) | (40) | (90) | (90) | (58) | |
1 Figures in parentheses are percentage of trees in each phenophase.
TABLE 3
Duration of P. chilensis Phenophases and Percentage of Trees
in Each Phenophase (1984–1985)
| Phenophases | Duration (days) | ||
|---|---|---|---|
| Rivadavia | Chincolco | Peldehue | |
| Vegetative Activity | 288 (100) | 273 (100) | 201 (93) |
| Flower Budding | 162 (100) | 181 (100) | 119 (89) |
| Flowering (Bloom) | 130 (100) | 15 (100) | 62 (84) |
| Fruiting | 186 (100) | 18 (95) | 184 (58) |
* Figures in parentheses are percentage of trees in each phenophase.
The Prosopis alba-flexuosa population at Refresco shows the lowest percentage of trees in flower bud, flowering and fruiting stages (25%) as compared to other populations. We suggest that the species might not be well adapted to the environmental conditions of the Refresco region. This situation is aggravated by heavy insect predation on the inflorescence (personal observation).
It is possible that the same insect species that feed on P. tamarugo flowers (Cogollor et al., 1985) attack P. alba-flexuosa inflorescences at Pampa del Tamarugal.
By comparing the commencement time of the different phenophases of P. chilensis populations (Table 4), a shift was detected in the time of commencement and end of each phenophase as the latitude becomes higher. In Rivadavia every phenophase starts earlier than at Peldehue. For example, vegetative activity begins in July at Rivadavia, in August at Chincolco and in September at Peldehue; each ending one month later. In general, phenological behavior of the Chincolco population is closer to Rivadavia than to Peldehue. These results could be explained by the effects of the different photoperiods that occur along the latitudinal gradient (Solbrig and Cantino, 1975) and by the rainfall regimes at the different locations.
TABLE 4
Time of Initiation of the Different Phenophases in P. chilensis populations
| Phenophases | Rivadavia | Chincolco | Peldehue |
|---|---|---|---|
| Vegetative Activity | July–August | August–September | September–November |
| Flower Budding | August–October | August–September | September–November |
| Flowering (Bloom) | September–November | September–October | November–December |
| Fruiting | October–December | November–January | November–January |
The Wilcoxon test was then applied to determine whether there is a shift in phenophase frequency distribution along a latitudinal gradient in P. chilensis populations. The results show a temporal shift which was significant at p<0.05 using “t” test for the following phenophases:
When comparing phenophase distribution within the three P. chilensis populations in different years of observation, 1984–1985 vs. 1985–1986, the following may be observed:
Reproductive systems
The results in Table 5 and 6 show markedly reduced fruit numbers, a fact which precludes getting a clear picture of the reproductive systems of P. alba-flexuosa and P. chilensis. On the other hand inflorescence manipulation during emasculation is so laborious and risky that most of the flowers fall off; for this reason, it seems advisable that this method be abandoned for self-incompatibility experiments. The emphasis, in future work, could be laid on artificial auto-pollination with no flower manipulation, inferring some conclusions regarding the reproductive systems by comparing the data obtained with this method with those corresponding to natural pollination. Nevertheless, the findings of this study indicate that the individual trees studied are highly self-incompatible, as has been reported elsewhere (Simpson, 1977), applying the genetic self-incompatibility index (AIC) shown in Table 7 and 8 to both populations.
TABLE 5
Reproductive Biology of P. alba-flexuosa Located at Refresco
September 1985
| Genetic Test | Flower Inflorescence | Fruit | % | |
|---|---|---|---|---|
| Artificial self-pollination | 21,500 | 86 | 4 | 0.019 |
| Automatic self-pollination | 21,750 | 87 | 0 | 0 |
| Artificial cross-pollination | 722 | — | 1 | 0.139 |
| Natural pollination | 84,472 | 337 | 71 | 0.084 |
TABLE 6
Reproductive Biology of P. chilensis Located at Peldehue
December 1984 – February 1985
| Genetic Test | Flower Inflorescence | Fruit | % | |
|---|---|---|---|---|
| Artificial self-pollination | 35,750 | 147 | 0 | 0 |
| Automatic self-pollination | 22,500 | 90 | 12 | 0.004 |
| Artificial cross-pollination | 827 | — | 285 | 3.14 |
| Natural pollination | 128,500 | 514 | 577 | 0.10 |
TABLE 7
Genetic Self-Incompatibility Index (AIC) for 11 Individuals
of the P. alba-flexuosa Complex
| Tree | 1 | 3 | 4 | 5 | 6 | 7 | 8 | 9 | 10 | 11 |
| AIC | 0 | 0 | 0 | 0 | 0 | 0 | 0 | 0 | 0 | 0 |
TABLE 8
Genetic Self-Incompatibility Index (AIC)1 for Six P. chilensis Individuals
from the Peldehue Population
| Tree | 1 | 2 | 3 | 4 | 5 | 6 |
| AIC | - | 0 | 0 | 0.005 | 0.005 | 0 |
1 The genetic self-incompatibility levels were estimated according to Ruiz and Arroyo (1978):

Acknowledgements
Financial support was provided by the U.S. National Academy of Sciences/National Research Council.
References
burkart, a.l., 1979: “A monograph of the Genus Prosopis (Leguminosae Sub. fam. Mimosoideae),” J. Arnold Arbor 57 (3.4) 450–525.
collogor, g.; cheul, m. and poblete, r., 1985: “Evaluación del daño por insectos en la producción de frutos de tamarugo (Prosopis tamarugo Phil.) y estudio para el control químico,” In: The current state of knowledge on Prosopis tamarugo; papers presented at the International Round Table on Prosopis tamarugo Phil., Arica, Chile. 11–15 June 1984. Editor: Mario Habit, fao consultant.
lopez ocaña, c., 1985: “Efecto del termoperíodo en el crecimiento del tamarugo (Prosopis tamarugo Phil.). In: The current state of knowledge on Prosopis tamarugo; papers presented at the International Round Table on Prosopis tamarugo Phil., Arica, Chile, June 11–15, 1984. Editor: Mario Habit, fao consultant.
muñoz, c., 1959: “Sinopsis de la flora chilena,” Ediciones de la Universidad de Chile.
ruiz, t. and kalin, m. t., 1978: “Plant reproductive ecology of a secondary deciduous tropical forest in Venezuela,” Biotropica 10: 221–230.
simpson, b., 1977: “Breeding systems of dominant perennial plants in two disjunct warm desert ecosystems,” Oecologia 27: 203–336.
solbrig, o. and cantino, p. d., 1975: “Reproductive adaptations in Prosopis (Leguminosae Mimosoideae),” J. Arnold Arbor. 56: 185–210.
B. Salvo
C. Botti
M. Pinto
Agricultural Production Department
Faculty of Agricultural and Forest Sciences
Universidad de Chile
Santiago de Chile
Introduction
The utilization of Prosopis trees as a source of biomass, carbohydrates and protein in arid and semi-arid zones offers important advantages, which justify conducting research regarding this species (fao, 1985; Felker and Bandurski, 1979).
One of the main problems faced in cultivating Prosopis chilensis (Mol.) Stuntz is its great variability in fruit production. The production data range from fewer than 10 kg (CORFO, 1982; Salvo, 1986) to 150 and 200 kg per tree (Nat. Acad. of Sciences, 1979; Pinto, 1986). The causes of such variation are not well known, but it is generally attributed to the great diversity of environmental conditions under which this plant thrives (Mooney et al., 1982), its many and diverse phenotypes (Hunziker et al., 1975), and its marked alternate fruit bearing habit.
As regards the latter, P. chilensis may bear a large amount of fruits in some seasons, whereas in others its production may be nil (Mooney et al., 1982; Salvo, 1986). There are practically no studies concerning this problem; however, studies performed on fruit-producing species such as apple, peach and pear trees, and grapevine (Feucht, 1967), suggest that among the causes governing this phenomenon (Monselise and Goldschmidt, 1982), those related with flower induction and differentiation as well as fruit set might play a major role.
The objective of this study was to determine the period(s) of flower induction and differentiation of P. chilensis by means of anatomic analysis of buds for the conditions prevailing in Chile's central-northern region.
Material and Methods
For this study, three adult trees at the Chacabuco zone (30° south lat. and 71° 30' west long.) were used. The general characteristics considered in selecting the trees were: 20 years of age, about 8 m in height, basal branching with 12 cm long branches, 36 leaflets per pinna and 20 thorns, 4 cm long, in the distal 50 cm of the branch (Contreras, 1983; Gajardo, 1985, personal communication).
Bud collection days were September 21, November 7 and 30, 1985; January 31 and March 9 and 29, 1986. Spring begins in September in Chile. On each date, 3 buds per tree were selected. These buds were obtained from 2-year-old twigs on the north-exposed side of the tree. In this geographic zone there is a marked concentration of flowers and fruits in this side of the tree, while the south-exposed side normally shows numerous undeveloped and dead buds (Salvo, 1986).
The buds were fixed in formalin:acetic acid:ethanol (faa, 5:5:90), then dehydrated in alcohol series and embedded in paraffin or jb-4 plastic (Polyscience Inc.). The sections were cut in a rotary microtome or in an ultramicrotome with glass knives (3–6 microns in thickness). The staining used for paraffin sections was tannic acid-iron chloride, safranin and fast green. For plastic embedded sections the staining was performed with Schiff reagent and anilin blue at 1% in 7% acetic acid v/v.
Project No. D/829-1, financed by the International Foundation for Science (IFS), Sweden
The dates of bud break, flowering, fruit growth and ripening were determined by direct observation and were considered as such when 50% of the respective phenological phenomenon had taken place.
Results
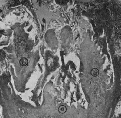
According to the observations made on the different dates, P. chilensis bears a type of mixed bud, i.e. both leaves and inflorescences coexist within the same structure. They are arranged around the vegetative bud apex (Fig. 1). Each inflorescence is protected by long bracts, part of which can be seen in Figure 1A. Each flower, in turn, bears an individual bract (Figs. 1B and 1C).
These buds start breaking in mid-October in the Chacabuco zone and full breaking takes place around the 25th of that month. Blooming starts in mid-November with full bloom occurring around the 27th. Fruit growth extends from December to January and fruit ripening is reached during March, about 100 days after bloom.
At the start of Spring, about 60 days before full bloom, the sections show that some inflorescences are at an advanced development stage while others are less developed (Fig. 1B). The details of both structures and of the vegetative apex between them can be observed in Figure 1C.
![]() | A | ![]() C |
![]() | B |
Figure 1. Development stage of P. chilensis buds at the start of spring, 60 days before bloom. (1A) General aspect of a mixed bud: (a) well-developed inflorescence, (b) leaf primordium, (c) developing flower primordium with protective bract. (1B) Inflorescences at different development stages around a vegetative apex (d) and flower structures: (e) flower, (f) bract protecting flower. (1C) Detail of the vegetative apex.
During the first days in November, i.e. about 20 days before full bloom, it is still possible to observe well-developed inflorescences (Fig. 2a). Furthermore, in some cases, initial structures of inflorescences were also observed (Fig. 2b).

Figure 2. Development stage of P. chilensis buds 20 days before bloom. General aspect of a well-developed inflorescence (a) on the base of which a flower structure can be observed during its initial phase (b).
During the bloom period, in late November, no flower primordia were found on buds. The latter only had little-developed leaf structures in this period (Fig. 3).

Figure 3. Development stage of P. chilensis buds during bloom: (a) vegetative apex, (b) leaf structures.
In January, about 60 days after bloom, and apparently at the end of fruit growth, small, racket-shaped, developing inflorescences were observed again (Fig. 4).

Figure 4. Development stage of P. chilensis buds, 60 days after bloom. General aspect of the bud showing a vegetative apex (a) on the center of two developing inflorescences, (b) and (c).
Lastly, in March, about 100 days after full bloom and when the fruits had reached their maturity, the buds presented an aspect similar to that observed in September, i.e. with inflorescences in different development stages (Fig. 5). Figure 6 shows a chronogram of the development of P. chilensis buds.

Figures 5. Development stage of P. chilensis buds, 100 days after bloom: (a) developing inflorescence, (b) well-developed inflorescence, (c) vegetative apex.

Figure 6. Scheme of the development of the P. chilensis bud in the central-northern zone of Chile. Capital letters indicate the months of the year. (a) Bud breaking period. (b) Blooming period, (c) Fruit growth period, (d) Fruit maturity period, (e) First period of flower induction and differentiation, (f) Second period of flower induction and differentiation. The arrows indicate dates when 50% bud breaking and flowering was reached.
Discussion
The results obtained and the chronogram shown in Fig. 6 would permit the advancement of the following hypotheses:
P. chilensis flower induction and differentiation processes occur, in Chile's central zone, mainly between mid-December and February, some 30–40 days after bloom. However, another similar period of less importance takes place between 30–40 days before bloom;
Flower induction and differentiation in this species occur during the active growth period of fruit. These, during high productivity seasons, would compete for assimilates and other products with the developing buds.
The occurrence of more than one flower induction and differentiation period in this species is apparently a normal phenomenon in regions without marked seasonal environmental variations. Thus, literature has reported the occurrence of two or more yearly bloom periods for some Prosopis in those areas (Mooney et al., 1982). In zones such as central Chile, the prolonged winter period would interrupt bud development, concentrating bloom and fruit development exactly during the main bud induction and differentiation only. Consequently, this is likely one of the main causes behind alternate fruit bearing in this species, since poor bud development in a given season would result in decreased fruit output in the following season.
References
contreras, b., 1983: “Diversidad morfológica en poblaciones de algarrobo (Prosopis chilensis (Mol) Stunz) en la IV Región,” Thesis for Forester Degree, Santiago, Universidad de Chile, Facultad de Ciencias Agrarias y Forestales, p. 108.
corfo, 1982: “Actividades forestales y ganaderas en la Pampa del Tamarugal 1963–1982,” Vol. II, Aspectos ganaderos, p. 160.
fao, 1985: “Estado actual del conocimiento sobre Prosopis tamarugo,” Ed. m.a. Habit. p. 483.
felker, p. and bandurski, r., 1979: “Uses and potential uses of leguminous trees for minimal energy input in agriculture,” Economic Botany 33(2):172–184.
feucht, w., 1967: “La fisiología de la madera frutal,” Univ. de Chile Fac. de Cs. Agr. y For, Pub. No. 1.
hunziger j.h., poggio, l.a., naranjo, c.a., palacios, r.a., and andrada, a.b., 1975: “Cytogenetics of some species and natural hybrids in Prosopis (Leguminosae),” Can. J. Genet. Cytol. 17:253–262.
gajardo, r., 1985: Personal communication.
monselise, s. r. and goldschmidt, e. e., 1982: “Alternate bearing in fruit trees,” Hort. Rev. 4:128–173.
mooney, h. a., simpson, b. b. and solbrig, o. t., 1982: “Mesquite,” In: US/lbs Synthesis Series, 4th Ed., Simpson B. B., Stroudsburg, Pennsylvania, p. 259.
national academy of sciences, 1979: “Tropical legumes: Resources for the future,” Washington d.c., p. 331.
pinto, m., 1986: “El algarrobo chileno,” Univ. de Chil, Fac. de Cs. Agrs. y For. (in print).
salvo, b., 1986: “Relación entre la intensidad luminosa y el desarrollo de las yemas, de las inflorescencias y la producción de frutos en algarrobo (Prosopis chilensis (Mol) Stunz),” Thesis for Forester Degree, Univ. de Chile, Fac. de Cs. Agr. y For.
Silvia Elena Killian
Faculty of Exact and Natural Sciences
Universidad Nacional de Catamarca, Argentina
Introduction
Arid and semi-arid areas are estimated to cover over one third of the earth's land surface. This situation would not be altogether disquieting if it stayed invariable. But it is a fact that the desert encroaches daily upon valuable land and communities, seemingly without an effective way to revert the process or, at least, check it.
In a world concerned with limited food resources for a growing population, it becomes imperative for man to focus on the causes of desert expansion.
One of those reasons, and perhaps the most determining, is the depletion of the tree cover caused by clearcutting and overgrazing, the pressure of which precludes forest recovery. Even if this pressure were to subside, reorganization of the system would in many cases be very difficult. The arid zones may be affected by other causes for the disappearance of the forest cover, such as descent of the water tables, lack of water seepage or water logging (Karlin and Díaz, 1984).
Analyzing the problems posed for plant development in the desert, two limiting factors stand out: lack of water supply and poor soil nutrition levels.
Considering that the Catamarca province in Argentina is not exempt from the detrimental effects of indiscriminate clearcutting and overgrazing, which are depleting the native tree population, a decision was made to undertake a series of studies aimed at gaining further insight on certain aspects of the ecophysiology of some Prosopis species, with the ultimate purpose of developing afforestation techniques.
This paper deals solely with subjects related with the germination of seeds of different Prosopis species and has the following objectives:
The first objective mentioned above corresponds to the analysis of the present situation, while the second is based on the current knowledge on dormancy problems, which entail germination incapacity for many seeds.
A high proportion of simultaneous germination represents a non-adaptative trait in wild plants because one simple adverse condition could wipe out an entire seedling population. The seeds of wild plants germinate intermittently along a prolonged period of time or require special environmental conditions or the concurrence of certain factors to show significant germination. These seeds are considered to be dormant, in contrast with those seeds which do not present any dormancy, generally belonging to cultivated plants; very few seeds from wild plants can be considered non-dormant.
The theoretical concepts on dormancy are based on the following observations:
Finally, once the causes of the eventual problems presented by germination have been detected, an attempt will be made to optimize germination through the use of various techniques.
Materials and Methods
The trials were carried out with seeds from pods collected in December 1981 from trees located in San Fernando del Valle de Catamarca. Other pods of Prosopis chilensis were collected in Tinogasta and those from P. alba var. panta in Santa María. The P. argentina pods come from Fiambalá and those from P. strombulifera from Mendoza.
All seeds used without endocarp were peeled by hand and with scissors, except those from P. argentina which, due to their very hard endocarp, were extracted with a meat grinding machine.
The trials were carried out in 9-cm-diameter Petri dishes layered with filtering paper. Distilled water was used in all cases.
The layout used was completeley randomized: five replications with ten seeds each. Each trial was performed at least twice, carrying out the corresponding statistical analyses and obtaining variation coefficients for every case.
Trials with water at initial temperatures or 80° C or 60° C involved pouring the water on the seeds in the Petri dish until the dish was full.
All special cases will be explained in their respective sections.
Seedcoat Damage Caused by Bruchidae
Damage caused by Bruchidae was ascertained in a number of Prosopis pods from different species from various provenances. The pods were harvested and the seeds extracted immediately, classifying and separating them into damaged and untouched.
It was found that the seeds were infested already in the pods, prior to abscission. Separation was made by visual inspection and immersing the seeds in water, classifying those that floated as damaged.
The findings are shown in Table 1 below:
TABLE 1
Percentage of Seeds Attacked by Bruchidae
| Species | Number of pods | Attacked % |
|---|---|---|
| P. alba of | 124 | 15.74 |
| P. nigra of | 67 | 5.94 |
| P. strombulifera | 34 | 31.04 |
Some seeds with incipient damage escaped both detection methods, observing that they germinated although their cotyledons were perforated.
Effect of Endocarp on Germination
Keeping in mind that Solbrig and Burkart reported good germination rates with seeds freed from the endocarp and very low germination with seeds with intact endocarp, a comparative germination trial was now performed with seeds with and without endocarp. Seed extraction was made both by hand and with scissors. Another variable considered was broken or open endocarp, with the purpose of ascertaining whether the effect was derived from endocarp presence or from the barrier it posed to water and/or oxygen entrance or radicle protrusion.
Additionally, if no difference existed between sowing seeds with open endocarp and without endocarp, then the labor of removing completely the endocarp would be dispensed with, as this is a very time-consuming technique compared to that of simply slicing the endocarp open.
The fact that seeds that had passed through the digestive tract of animals showed better results in trials than the control seeds (Solbrig, 1975) prompted the carrying out of a trial with hydrochloric acid.
Table 2 shows the comparative results obtained, plotted in Charts 1 and 2 for P. flexuosa and P. nigra, respectively.
TABLE 2
Final Germination Rates
| Treatments | Species | |||
|---|---|---|---|---|
| P. flexuosa | P. nigra | P. chilensis | P. alba | |
| T. with endocarp | 40 | 90 | 34 | 20 |
| T. with open endocarp | 10 | 52 | 24 | 4 |
| T. with closed endocarp | 2 | 22 | 8 | 4 |
| HCl without endocarp | 70 | 42 | 52 | 18 |
| HCl open endocarp | 10 | 6 | 0 | 2 |
| HCl closed endocarp | 6 | 0 | 6 | 0 |
* HCI strength was 50%, over 1 hour.

Chart 1. Effect of endocarp on germination of Prosopis flexuosa cf.

Chart 2. Effect of endocarp on germination of Prosopis nigra cf.
For all the species, the differences among the first three treatments are highly significant in favor of the control, whose encocarp had been removed. There are significant differences also between treatments 2 and 3.
The difference between controls and seeds treated with hydrochloric acid are significant in favor of treated seeds only in the case of P. flexuosa.
Dormancy: Seedcoat Effect
Considering the results shown in Table 2, the need for new trials with other treatments is evident, particularly for species such as P. alba.
Basing on literature, the cause for the low germination rates of the species under study is assumed to be the seedcoat. Therefore, a series of trials was conducted with the purpose of testing this hypothesis and optimizing germination rates.
For practical reasons, a soaking trial in water at room temperature was performed first (Table 3).
TABLE 3
Effect of Imbibition Duration on Germination
| Species | Time in hours | Germination rate |
|---|---|---|
| P. nigra of | 0 | 94 |
| 24 | 96 | |
| 36 | 96 | |
| P. chilensis of | 0 | 0 |
| 24 | 22 | |
| 36 | 22 | |
| P. alba of | 0 | 8 |
| 24 | 8 | |
| 36 | 24 |
According to these results, the soaking treatments increase germination rates significantly in P. chilensis and P. alba, although even the best treatments continue to show low germination rates for these two species.
The treatment did not affect the sprouting of P. nigra seedlings (Table 4).
In light of these results, seeds were soaked in water at different temperatures, always with the same objective of optimizing germination rates. The species selected for these trials was P. chilensis, as it had shown the lowest germination rates in the previous trials (Table 5).
TABLE 4
Effect of Imbibition Duration on P. nigra Seedling Sprouting Rate
| Imbibition time in h | Sprouting rate |
|---|---|
| 24 | 92 |
| 30 | 82 |
| 36 | 80 |
| 48 | 88 |
TABLE 5
Effect of Imbibition Water Initial Temperature
on P. chilensis Germination Rate
| Water temp. °C | Germination rate |
|---|---|
| 24 | 12 |
| 40 | 18 |
| 60 | 2 |
| 80 | 10 |
| 100 | 8 |
These results show no effect of water initial temperature on germination. Nevertheless, this treatment continued to be used, because it was suspected that the amount of water added to the Petri dishes containing the seeds had not been enough. The low water volume permits rapid cooling and therefore, the period of time during which the seeds are under high temperature is very short.
Table 6 shows the results of using greater water volumes, filling up totally the 9-cm-diameter Petri dishes.
TABLE 6
Effect of Imbibition Water Initial Temperature
on P. chilensis Germination Rate
| Water temperature °C | Germination rate |
|---|---|
| 22 | 14.28 |
| 60 | 19.04 |
| 80 | 33 |
Table 7 shows the germination rates for seeds that had not germinated with the soaking test, after being treated with water initially at boiling temperature.
The same tests were performed with other species. The results are shown in charts 3, 4, 5, 6, 7, 8, and 9.

Chart 3. Effect of initial imbibition water temperature on germination of Prosopis flexuosa cf.

Chart 4. Effect of initial imbibition water temperature on germination of Prosopis chilensis cf.

Chart 5. Effect of initial imbibition water temperature on germination of Prosopis alba cf.

Chart 6. Effect of initial imbibition water temperature on germination of Prosopis argentina cf.

Chart 7. Effect of initial imbibition water temperature on germination of Prosopis nigra cf.

Chart 8. Effect of initial imbibition water temperature on germination of Prosopis alba var. panta.

Chart 9. Speed of germination in Prosopis alba cf.
TABLE 7
Effect of Imbibition Water Initial Temperature
on P. alba of. Germination Rate
| Imbibition time (h) | Germination rate |
|---|---|
| 48 | 87.5 |
| 36 | 100 |
| 30 | 78 |
| 24 | 85.7 |
The data in Table 6 show the tendency of the possible seed responses to treatment with water at initially boiling temperature. Treatments with water at initially boiling temperature were combined with subsequent soaking in water at room temperature for 24 hours. Charts 3, 4, 5, and 6 show that the better responses of P. flexuosa, P. chilensis, P. alba and P. argentina to hot water treatments plus 24-hour soaking are highly significant. In the case of P. nigra, however, the treatment affected negatively the germination rate. Chart 8 shows the optimum results obtained with P. alba var. panta.
Chart 9 shows germination speed in P. alba.
The seeds were treated with boiling water during 30 seconds, and the results are shown in Table 8 below.
TABLE 8
Effect of 30-second Boiling Water Temperature
on Germination
| Species | Treatment | Germination rate |
|---|---|---|
| P. alba of | Control | 10 |
| P. alba of | Treated | 78,61 |
| P. flexuosa of | Control | 34 |
| P. flexuosa of | Treated | 0 |
P. flexuosa seeds showed damage after the treatment, while those of P. alba had wrinkled, wilted-looking cotyledons.
The same treatment in water initially at boiling temperature was also tested with P. strombulifera, with the response shown in Table 10. The seeds had been collected in February and the trial was carried out in May of the same year.
TABLE 9
Germination Performance of P. strombulifera
| Treatment | Germination rate |
|---|---|
| Control | 6 |
| 24 h imbibition | 12 |
| Boiling water | 49 |
A trial was conducted with the purpose of ascertaining the effect of environmental temperature on germination. The species used was P. alba, and the water, at initial temperature of 80° C, was poured on the seeds. Then, treatment 1 remained at room temperature, while treatment 2 was placed under a constant 30° C temperature. Chart 10 shows the corresponding responses.
This trial was also performed with P. flexuosa seeds, adding a control at room temperature and another control at 30° C constant temperature.

Chart 10. Effect of temperature on germination of Prosopis alba cf.

Chart 11. Effect of temperature on germination of Prosopis alba cf.
Dormancy and Seed Age
A trial was carried out with P. flexuosa seeds to ascertain whether seed storage methods had any bearing on germination potential. Some seeds were left in their pods for a year, while others were extracted from the pods. In both cases, storage was made at room temperature.
TABLE 10
Effect of Seed Storage Systém on P. flexuosa Germination Rate
| Storage system | Treatment | Rates |
|---|---|---|
| Peeled seed | Boiling water | 78 |
| Control | 16 | |
| Seed in pod | Boiling water | 25 |
| Control | 18 |
No significant differences were found with one-year-old and new P. alba seeds. However, storage of seeds in the pod does seem to have a negative effect on seed conservation.
A comparative test was then carried out to ascertain the germination response with seeds collected at two different times of the year (February and April), the results of which are listed in Table 11 below.
TABLE 11
P. strombulifera Germination Rates
| Time of year | Treatment | Germination rate |
|---|---|---|
| February | Control | 8 |
| February | 100 C° | 35 |
| April | Testigo | 41 |
| April | 100 C° | 51 |
Next, a relationship between seed dry weight percentage and harvesting season and germination capacity was tested. The seeds were harvested in February and April. The trial was conducted in May.
The February seed dry weight percentage was 90.08%, while that for the April seeds was 87.05%.
Monthly, during one year, germination trials were performed with the purpose of detecting dormancy states. The findings are shown in Chart 12.

Chart 12. Variation of P. alba germination through the year.
Inhibitors: Rinsing
A batch of seeds was placed for 24 hours in running water, to test whether the eventual removal of inhibitors could boost germination rates. The seeds attained 18.71% germination, while the 24-hour soaking treatment gave 18.05%. The difference among both treatments was not significant.
Washing effect was also attempted by treating the seeds with water initially at boiling temperature, changing the water after one hour, so as to wash off totally or partly the eventual inhibitors. Chart 13 shows the corresponding results.

Chart 13. Effect of different imbibition water initial temperatures and of change of water on germination of P. alba cf.
Osmotic Potential and Specific Ion Effect
The effect of a complete modified Hoagland nutritive solution was tested on germination rates of two Prosopis species, with the purpose of ascertaining whether low osmotic potential or nutrients in general had any effect on germination rates or speed. Results are shown in Charts 14 and 15.

Chart 14. Effect of nutritive solutions on germination of P. flexuosa cf.

Chart 15. Effect of different treatments on germination of P. chilensis cf.
A trial was carried out to study the dynamics of water absorption and the effect of common salt on water absorption and on germination, with the following variables: 1. water initially at boiling temperature, for one hour + distilled water; 2. Water initially at boiling temperature + common salt 0.5 N; 3. Water initially at boiling temperature for 1 hour + common salt 0.5 N; and 4. common salt 0.5 N, initially at boiling temperature + distilled water.
Chart 16 shows the absorption dynamics during the first few hours of soaking. Absorption was inferred from the decrease in the ratio ps/pf × 100.
As can be seen, there was water absorption in all four cases, with better absorptions for treatment 1.
Table 12 shows the effect of NaCl on germination.
TABLE 12
Effect of NaCl on Germination
| Treatments | Germination rates |
|---|---|
| 1 | 76.36 |
| 2 | 2 |
| 3 | 0 |
| 4 | 71.38 |
The above trial was repeated using a potassium nitrate solution of the same strength as the above NaCl solution.
TABLE 13
Effect of Potassium Nitrate on Germination
| Treatment | Germination rate |
|---|---|
| 1 | 83.71 |
| 2 | 0 |
| 3 | 0 |
| 4 | 81.81 |

Chart 16. Effect of sodium chloride on water absorption by seeds of Prosopis sp.
A trial to test the influence of various NaCl concentrations on germination gave the following results:
TABLE 14
Effect of NaCl on Germination
| Normal strengths | Germination rate |
|---|---|
| 0 | 30 |
| 0.1 | 76 |
| 0.2 | 74 |
| 0.3 | 66 |
| 0.4 | 46 |
| 0.5 | 42 |
| 0.6 | 30 |
| 0.7 | 24 |
The seeds of all the above treatments were previously treated with water initially at boiling temperature.
As the effect of a solution containing a specific Rhizobium provided by Felker could not be ascertained, the test was repeated using a control, two solutions and one control in physiological solution. The results are shown in Chart 17.

Chart 17. Effect of Rhizobium on germination of P. chilensis cf.
Allelopathy
A trial with two treatments was conducted to detect possible allelopathic effects during germination caused by the presence of germinating seeds or seedlings of the same species. Seeds were made to germinate under the same conditions, but germinating seeds in treatment 2 were removed as soon as the cotyledons expanded.
Treatment 1 gave a 68% germination rate, while treatment 2 gave 58%. The results, therefore, did not confirm the hypothesis put forth.
Seed Size and Position in the Pod
A trial was designed to test whether the above conditions had an effect on germination, using the following treatments:
TABLE 15
Effect of Seed Position in the Pod on P. alba cf. Germination Rate
| Treatments | Germination rate |
|---|---|
| 1 | 60 |
| 2 | 54 |
| 3 | 40 |
| 4 | 40 |
Next, seeds were separated by size into small and large to test whether size had any effect on either germination rates or ability to grow. They were then treated with water initially at boiling temperature. 100% germination was obtained after 7 days, without any difference between large and small seeds. However, seedling growth assessment showed the results plotted in Chart 18.

Chart 18. Influence of seed size on P. flexuosa seedling growth.
Discussion
As can be observed from the results (Table 1), the magnitude of Bruchidae attack depends largely on the species attacked. The species showing least damage was P. nigra. Considering that P. nigra was one of the species presenting thickest and hardest endocarp, resistance against Bruchidae attack may be attributed to this characteristic. P. alba and P. strombulifera, by contrast, present a very thin endocarp.
Bruchidae attack does not seem to have an important effect on germination. Degree of damage, however, is important. When damage can be detected visually, observing holes on the seed or by the flotation method, germination does not occur.
Table 2 and the corresponding literature show the need of extracting the seed from the endocarp in order to improve germination rates. This procedure also makes germination uniform, eliminating sporadical germination and facilitating culture practices in the nursery.
Scarification with hydrochloric acid shows significant advantage only in the case of P. flexuosa (Table 2).
Seeds withstand soaking treatments undamaged, as shown by germination rates with P. nigra and those shown in Table 7.
The treatment with water initially at boiling temperature gave good results (with highly significant differences) with all species studied (Chart 3 through 9), except with P. nigra. In any case, the high germination rates shown by P. nigra seeds extracted from the endocarp do not justify efforts to find a still more effective method.
The longer treatments with boiling water, 30 seconds, literally destroyed P. flexuosa seeds, but not those of P. alba, which germinated in high proportions compared with the control (Table 8). Treatment with water initially at boiling temperature was found to be effective for other species such as P. strombulifera and P. argentina, although germination rates of treated P. strombulifera seeds continue to be very low.
Room temperature exerts an important effect on germination speed (Charts 10 and 11), but it is not capable of replacing totally the effect of the initial treatment with boiling water.
Storing seeds in the pods is not convenient as shown in Table 10.
P. strombulifera seeds collected in April showed higher germination rates than those harvested in February, possibly as a result of their teguments not being excessively hard yet. April seeds have a lower ps/pf × 100 ratio, which would account for their lesser tegument hardness.
Chart 12 shows a trend to higher germination rates in December, when the rainy season starts and temperatures are very high.
Rinsing or water change gave no indication as to the presence of water-soluble inhibitors.
Germination was generally stimulated by the presence of a complete nutritive solution (Charts 14 and 15).
Common salt has some effect on germination, but not on water absorption during the first moments of germination. Until the ninth hour (Chart 16), the low osmotic potential has no significant effect on absorption. Thereafter, the difference in absorption becomes significant in favor of the control, low osmotic potential then being capable of affecting P. flexuosa germination rates. Equimolecular concentrations of potassium nitrate (Table 13) affect germination when applied after the first two hours.
0.1 N NaCl concentrations stimulate P. alba germination, perhaps due to the lower osmotic potential preventing an important loss of substances from the seed.
Despite the results concerning allelopathy, the possibility of finding chemically antagonical plants to P. alba has not been ruled out.
Table 15 shows that both proximal and distal seeds give smaller germination rates than middle-seeds.
Seed size, in turn, seems to have no influence on germination rates, but it does seem to have some not very pronounced bearing on seedling height growth.
Conclusion
Basing both on the findings obtained and on the corresponding literature reviewed, dormancy of the Prosopis seeds studied appears to be due to seedcoat hardness. This dormancy disappears when the seeds are treated with water initially at boiling temperature.
Sensitivity to treatments with high-temperature water is greater in P. nigra and P. flexuosa. Therefore, a correlation between endocarp hardness and seed sensitivity has been confirmed, harder endocarps having higher sensitivity.
Decreasing germination rates were found for P. strombulifera as the ratio ps/pf × 100 increases. This would indicate dormancy onset caused by increase in seed tegument hardness.
Both the increase in room temperature and the complete solution improve germination rates. Seeds do not present thermoperiodicity, being able to germinate at constant temperature.
The common salt solution used to study water absorption dynamics does not preclude water absorption by seeds of P. flexuosa during the first nine hours. It does not have any toxic effects preventing germination if applied within the first two hours of incubation. The same conclusion is valid for potassium nitrate.
The findings concerning Prosopis response to salinity are the first in a series of trials that have been designed bearing in mind the habitat where these species thrive.
It would be convenient to dilucidate whether the difference between distal and proximal seeds and seeds from the whole pod are derived from seed filling or from dormancy differences.
References
arreghini, r., 1972: “Tratamiento previo a la siembra de semillas de Caldén (Prosopis caldenia Burk),” Memorias Especiales, Congreso Forestal Mundial, Vol. 3, Buenos Aires.
bazzaz, 1973: “Seed germination in relation to salt concentration in three populations of Prosopis farcta,” Oecología 13: 73–81.
burkart, A., 1937: “Estudios morfológicos y etológicos en el género Prosopis,” Darwiniana 3.
cobers, p.b. and harper, 1976: “Germination and polymorphism in Rumex crispus and Rumex obtusifolius,” J. Ecol. 54: 367–82.
de miguel and sanchez, R., 1978: “Influencia de las cubiertas seminales sobre el potencial de crecimento de los embriones de Datura ferox,” VII Reunión y II Simposio Latinoamericano de Fisiología Vegetal, Mar del Plata.
de valla, l. g. et al., 1980: “Influencia de algunos factores externos e internos sobre la germinación de la semilla del sorgo de Alepo,” Revista de Investigaciones Agropecuarias, inta Buenos Aires, Vol. 15, No. 4.
felker, p. 1979: “Mesquite: an all purpose leguminous arid land tree,” In: New Agriculture Crops, Vol. 38, Colorado.
harper, j.l., 1965: “Establishment, aggression and cohabitation in weedy species,” Ac. Press n.y., pp. 243–268.
karlin, u. and diaz, r., 1984: “Potencialidad y manejo de algarrobos en el árido subtropical argentino,” Secretaría de Ciencias y Técnicas.
khan, a., 1977: “Seed dormancy, changing concepts and theories,” North Polland Biochemical Press.
larson, a. and kyagaba, l. 1969: “The effects of prolonged seed soaking on seedling growth of Pisum sativum,” Can. J. Bot. 47.
lieberman, m., 1979: “Biosynthesis and action of ethylene,” Ann. Rev. Plant Physiol. 30.
mayer and poljakoff, 1969: “Introducción a la ecofisiología vegetal,” Monografía 16 oea.
mayer a. m. and shain, y., 1974: “Control of seed germination,” Ann. Rev. Plant. Physiol. 25.
mcdonough, 1977: “Seed physiology. Rangeland plant physiology,” Range Science Series, No. 4.
rorisong, h., 1973: “Seed ecology, present and future,” Penn. State Univ. Press.
sanchez, r., et al., 1981: “Efectos de tratamientos de presiembra sobre el comportamiento a campo de semillas de zanahoria y pimiento,” Revista Facultad de Agronomía, 2 (3).
solbrig, o. and cantino, p., 1975: “Reproductive adaptations in Prosopis,” Arnold, Arb. 56.
taylorson, r. b. and hendricks, s., 1977: “Dormancy in seeds,” Ann. Rev. Plant Physiol. 28.
tukey, h.b., 1969: “Implications of allelopathy in agricultural plants,” Science Bot. Rev. 35.
ungar, i., 1978: “Halophyte seed germination,” Bot. Rev., Vol. 44, No. 2.
walton, d., 1978: “Biochemistry and physiology of abscisic acid,” Ann. Rev. Plant Physiol. 31.
wang and wang, 1978: “Obtención de cultivares de soja resistente a sequía,” vii Reunión y ii Simposio Latinoamericano de Fisiología Vegetal, Mar del Plata.
went, 1948: “Ecology of desert plants. II The effect of rain and temperature on germination and growth,” Ecology 30.
wittington, w., 1973: "Genetic regulation of germination, Penn. State Univ. Press.
wulf and medina, 1969: “Introducción a la ecofisiología vegetal,” Monografía 16 oea.
yacubson, d., 1976: “Germinación y letargo en semillas forestales de especies cultivadas en la Argentina,” ifona, Folleto Técnico Forestal 46.