Greening

Contents - Previous - Next

DESCRIPTION AND BACKGROUND

Greening is probably the most serious and devastating of all the diseases affecting citrus. It is characterized by a chlorosis of leaves on one or more limbs, followed by twig dieback, sparse foliage, distinct yellow shoots, and fruits which do not fully colour at the stylar end and remain green; hence the name greening (Figures 14 and 15). Later the trees may show an open, sparse foliage, severe fruit drop and many small yellow shoots; in many cases the result is severe decline and death. For a detailed illustrated description of the disease, see Schwarz and Bové (1980).

The disease is caused by a gracilicute-like gram negative bacterium. There are two general types of greening: Asian and African. Asian greening has been reported as huang longbing or yellow shoot in mainland China, likubin in Taiwan Province, leaf mottle in the Philippine Islands, vein-phloem degeneration in Indonesia and citrus decline in India. They are probably all related, with origins in China. All are vector-transmitted by the psyllid Diaphorina citri. Mention was first made of yellow shoot in Chaoshan district of Fujian Province, China, in the late 1800s, and it became epiphytotic in the mid-1920s. Also, the first evidence of transmission by grafting was shown in China by Lin in the late1940s (Zhao,1981).

African greening is a cooler-temperature disease, and its associated organism does not tolerate very hot temperatures. It was first reported from South Africa in1929 (Oberholzer, Von Standen and Basson,1965) as yellow branch disease. The vector associated with it is Trioza erytreae.

Greening has been reported from most countries of Central and southern Africa, Madagascar, Reunion Island, Asia, Taiwan Province, the Philippine Islands and Indonesia. It has recently been reported in the Arabian peninsula and in western Pakistan near the Afghan border. There is a distinct threat that this disease and its vectors may invade the Mediterranean region and, with its potential for destruction of citrus, this would be a most serious problem.

All species of citrus appear to be susceptible, but sweet orange, mandarin and tangelo are most affected. Laflèche and Bové (1970) reported a bacterium found in the sieve tubes of diseased trees associated with the disease. For a description of the organism see Gamier, Latrille and Bové (1976), Gamier and Bové (1983) and Gamier, Martin-Gros and Bové (1987).

Greening disease is probably not seed transmitted and is primarily a vector-transmitted disease. Exclusion of the organism and the vectors by rigid quarantine measures is the only way of keeping this disease from infesting new areas. Aubert and Quilici (1984) achieved excellent biological control of the greening vectors by introduction of two ectoparasites into Reunion Island and virtually eliminated the vectors, thus controlling the disease.

METHODS OF DETECTION

The field symptoms of greening are usually pronounced and striking and, when combined with presence of the vector, they may be sufficient to be diagnostic. However, verification is important, especially when the disease is suspected in a new area or country. Severe stempitting isolates of CTV can cause "canopy" symptoms similar to greening in some cultivars.

Greening does not, however, cause the stem pitting associated with CTV. Also, specific detection procedures are needed for positive diagnosis if the organism is to be studied, or for vector transmission studies. With the exception of the fruit albedo fluorescence test or the direct observation of the organism under the electron microscope, there has been no quick or rapid index or test for accurate diagnosis. However, with the recent possible culturing of the greening organism (Garnett,1984/85) and production of monoclonal antibodies against the bacteria-like organisms associated with the disease (Gamier et al.,1987), there are good possibilities for more rapid detection of the organism.

Although the name "greening" is used as a general term, there may be differences in symptomatology, vector transmissibility, temperature requirements and other factors among the various greening-disease isolates in different countries or locations within a country.

Method 1: Field diagnosis

As mentioned, and illustrated in Figures 14 and 15, field diagnosis is an important means of identifying greening in most areas of the world. The yellow shoots, yellow veins, mottle and zinc-like deficiency patterns in leaves are partially diagnostic. However, when combined with greening of the fruit and presence of the vector, they are highly diagnostic. Figure 14a shows a typical tree in the field affected with Asian greening. Figure 14b shows emerging yellow shoots; hence the name "yellow shoot" given to the disease in mainland China. Figure 14c shows leaves with the characteristic chlorotic leaf mottle and yellowing of midribs and veins. Figure 14d shows a single leaf with striking vein yellowing, sometimes typical of greening. Typical fruit symptoms showing stylar-end greening are shown in Figure 15. The field symptoms can be highly diagnostic, i.e. severe decline associated with yellow shoots, zinc-like leaf deficiency patterns, severe fruit drop, lopsided fruit showing early and persistent greening at the stylar end. Some of these symptoms are very similar to those of stubborn disease. In chronic stages greening-affected trees are chlorotic, show extensive dieback and are non-productive.

Figure 16 shows a drawing of the psyllids D. citri and T. erytreae with their eggs and five nymphal instar stages (Calling,1970). The angled appearance of D. citri feeding on citrus leaves is illustrated in Figure 17. Figure 18 shows the very characteristic bumps on the underside of the citrus leaves where T. erytreae has been feeding. The mottle leaf found in sweet orange or grapefruit, as illustrated in Figures 14c and 14d, is strongly associated with both greening and stubborn diseases and should be looked for if greening is suspected.

If severe isolates of tristeza are present or nutrition is poor, field diagnosis may be difficult. This is true for the citrus-decline problem found in many parts of India, Sri Lanka and elsewhere.

Method 2: Graft transmission to indicator plants

Graft transmission of greening disease is variable. Factors that may affect the success of graft transmission are: the kind of tissue used, i.e. buds, side grafts or leaf pieces; the age of the tissue, i.e. young or mature; the indicators; and the season of the year inoculum is collected. In general, African greening appears to be more difficult to graft-transmit than Asian greening.

When tristeza is present, it is sometimes difficult to obtain good symptom expression in indicator plants due to interference. Ponkan or other mandarins may be used as indicator seedlings as a differential host to distinguish tristeza from greening, i.e. tristeza will not react in mandarin but greening will. Tristeza can be by passed by using trifoliate orange as a filtering host. This is done by first inoculating the infected tissue into a trifoliate seedling, cutting the seedling back and forcing new growth. When the new growth tissue matures, it can be used as inoculum and should be free of CTV.

lnoculum tissue. Side grafts and leaf-piece grafts are superior to bud or bark grafts for transmission and are recommended. Budwood should be collected during the cooler periods of the year. Ten budsticks and/or six young shoots with small emerging leaves are collected from around each test tree, put in plastic bags and transferred immediately to an ice chest.

Inoculation

Side grafting. The technique of side grafting is described and illustrated in Part II. Briefly, two side grafts are put into each seedling; each piece of graft tissue consists of part of a branch approximately 4-5 mm thick and 3-5 cm long. A wedge cut is made at one end of the budstick, a cut made in the seedling, and the wedge fitted into the cut. The side grafts are then securely wrapped with polythene budding tape, and a sleeve cut from a polythene bag is placed over the area above and below the grafts to create a moist chamber (Figure 138 in Part II, and also Figure 26 in Stubborn).

Leaf grafting. The technique of leaf-piece grafting is described and illustrated in Part II (Figures 129 and 130). A small rectangular section of leaf about 3 by 12 mm is cut from the midrib area of a young, succulent leaf and placed into a T-cut in the bark of the seedling, as for standard bud-grafting. The area is then securely wrapped with polythene tape in the same manner as with buds. Two to three leaf grafts per plant are suggested.

Indicator plants. Recommended indicator plants are seedlings of sweet orange and Orlando tangelo for African greening, and sweet orange or Ponkan mandarin for Asian greening. Grapefruit seedlings can also be used in the absence of severe tristeza isolates. Seedlings should be grown one per container as a single shoot to about 1 m, with a thickness of 5 to 7 mm. A minimum of five plants should be inoculated to index a given source tree; each plant may be inoculated with two side grafts, two to three leaf-piece grafts, or a side graft and two leaf-piece grafts.

Having healthy, vigorous indicator test plants free of micronutrient or other deficiency symptoms is of extreme importance for diagnosing greening disease.

Controls. Positive and negative control plants are essential in any indexing procedure. If possible, it would be helpful to have known positive greening-infected control plants maintained in the greenhouse, and tissue can be collected from these plants when needed for control purposes. Negative or self-inoculated control plants should always be included in each index test.

Inoculum survival and post inoculation care

Side grafts. At ten days to two weeks after inoculation, the bottom ends of the polythene sleeves are opened to permit partial drying around the side grafts. After three weeks, the polythene sleeves are removed and grafts observed for survival. The plants are then cut back to about 25 cm from the soil surface. One terminal shoot is then permitted to grow and it is trained and staked to grow as a single leader, as in Cachexia Figures 47 and 48.

Leaf grafts. The wrapping tape surrounding the leaf graft is cut two to three weeks after inoculation, and inoculum survival recorded. Plants are then cut back, and new growth trained to a single shoot as for side grafting. The leaf-piece can be seen to grow within the T-cut of the grafted seedling (Figure 131 in Part II).

Temperature requirements. Hold indicator plants at 20-25°C for African greening and 25-32°C for Asian greening.

Symptoms. Symptoms in sweet orange, tangelo or mandarin will be a typical leaf mottle and chlorosis similar to that shown in Figures 14c and 14d and Stubborn Figures 23 and 29a. The shoots will be distinctly smaller, more chlorotic and with smaller leaves when compared with those of the non-inoculated or self-inoculated controls. Symptoms should appear with the first emerging shoots within eight to 12 weeks, or earlier if healthy, vigorous plants are used. Schwarz (1972) found that some strains transmitted at very low percentages. Many workers report variable transmission at different seasons, and Asian greening appears to be more readily graft-transmitted than African greening. Graft transmission by procaryotic pathogens is not so uniformly successful as with viruses or viroids, and failure to transmit by grafting does not imply absence of the disease. Other diagnostic methods should be tried.

Method 3: Direct observation of the pathogen by sectioning and electron microscopy

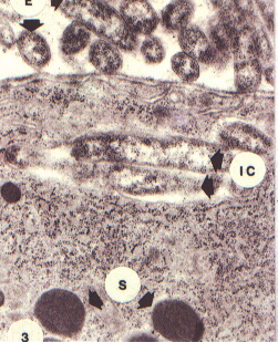
Laflèche and Bové (1970) first reported "mycoplasma"-like bodies in citrus sieve tubes. Chen, Miyakawa and Matsui (1971) observed mycoplasma-like bodies in the leaf phloem tissue from likubin-infected trees under the electron microscope. Gamier and Bové (1983) later showed these bodies to be gracilicute bacteria (Figures19 and 20). Direct observation of the greening organism in the phloem tissue is highly diagnostic if the typical wall structure showing three layers of about 250 A thick is present (Figure19). This would be an excellent confirmation of the distinct visual field or greenhouse-induced symptoms associated with greening.

When collections made in the field are to be taken or shipped a long distance to a laboratory, the following technique, given by Bové and Gamier (1984), is suggested:

• Leaves and fruit are collected from suspect trees, put in a polythene bag and placed in an ice chest until they can be properly processed for shipment.
• Leaf midrib tissue is cut with a razor-blade and chopped or diced into 2-4 mm pieces. Midrib pieces from five to ten leaves are put together for each tree tested.
• The pieces are placed in a 5 ml screw-top tube filled with 2 percent glutaraldehyde in a 0.1 phosphate buffer pH 7.4.
• Samples can be shipped and will keep for two weeks or longer in good condition.

Bové and Gamier (1984) report that the peduncular end of the fruit axis is rich in phloem tissue. This columella tissue can be chopped into 2-4 mm pieces and fixed in the same manner as above for shipment.

The technique used by Gamier and Bové (1983) for direct observation of the organism is as follows:

• pieces of leaf midrib tissue from leaves showing typical mottle symptoms of greening are cut or diced into 1 mm pieces, using a razor-blade;
• they are fixed in 4 percent glutaraldehyde in a 0.1M cacodylate (phosphate) buffer pH 7.5 for 6 hours;
• rinsed three times in the same buffer;
• post-fixed with 1 percent osmium tetroxide (OSO4) in the same buffer;
• dehydrated in alcohol;
• embedded in Epon 812;
• thin-sectioned with an ultramicrotome;
• stained with lead citrate and observed in the electron microscope.

Detection of the greening organism by microscopic examination may be difficult and requires expertise and experience. It is important to look at healthy controls, and helpful to examine known positive sources. If the organism is found, it is good confirmation of symptom diagnosis. However, if not found, this does not mean it is not present, and its absence cannot be taken as negative in a certification programme diagnosis.

Method 4: Detection of greening by fluorescence

Schwarz (1968) demonstrated that a component (a gentisic glucoside) present in greening affected fruit of certain varieties could be detected by examining fruit or chromatographed extracts with ultraviolet light. This test was used for diagnosis of greening throughout Africa and Asia. The fruit albedo test is effective for sweet orange, but not so effective for mandarin or tangelo. The bark extract test is effective for sweet orange, mandarin and tangelo, but not definite for lemon, lime and pummelo. The test can be done at all seasons of the year, and is recommended for surveying and rapid confirmation of field symptoms but not recommended for certification work. The following description of the techniques is taken from Schwarz (1976):

Fruit fluorescence. The fruit of sweet orange collected from a suspect tree is halved and examined under an ultraviolet lamp (360 nm wave-length). It is important that the ultraviolet light be pure (no more than 5 percent visible light). Fluorescence will appear in fruit taken from trees affected with greening but not other pathogens, i.e. psorosis, tristeza, exocortis or cachexia.

This is a simple and effective test if sweet orange is the primary crop and if fruit is available for testing.

Bark fluorescence

• Collect three twigs 4 cm long from second or third-year branches from different sectors of the tree.
• Strip the bark and cut or dice it into pieces 2-3 mm wide using a razor-blade. Place the diced pieces in a small vial with 5 ml water and shake for half an hour.
• Decant water extract to a small, round plastic disc fitted into a watchglass and dry in an incubator at 50°C.
• Take up the concentrate with a few drops of water and spot in quantities of x, 2x, 3x, and 4x on silica-gel TCL plates that have been pre-activated by heat at 110°C for half an hour.
• Develop plates with a chloroform: methanol mixture (9:1) and dry.
• After drying, spray plates with saturated aqueous N-borate solution and inspect under a 360-366 nm ultraviolet lamp. (The lamp must emit nearly pure [>95 percent] UV light.)

The samples from greening-affected trees show a bright purple spot at an Rf of 0.5 to 1.0 just next to the spotting point. It is important to run positive controls with every 50 or fewer samples. Depending on the concentration of the marker substance in the sample, the spot is more visible in the profile of either the low concentration (x) or the high concentration (4x).

Citrus species and varieties differ in fluorescent non-marker spots. Occasionally the sample may contain a fluorescent non-marker that interferes with the reading of the marker. In such cases, the mobile phase can be modified by increasing the methanol content from 10 to 20 percent and decreasing the chloroform concentration. This increases the Rf of the gentisic glucoside marker and may improve readings.

MISCELLANEOUS

Vector transmission

Use of the insect vector for transmission is an excellent method for separating the greening organism from other pathogens. It should be used only if vectors are present. The definitive studies by Capoor, Rao and Viswanath (1974) should be reviewed by anyone using this technique. The following is a summary of the important conclusions reached by these workers:

• Transmission will occur only with the fourth and fifth instar or with the adult of D. citri. There is no transmission by the first, second or third instars.
• A 30-minute acquisition feeding period is sufficient.
• A waiting period of eight to 12 days is required before the psyllid can transmit the pathogen.
• Psyllids retain infectivity throughout their life span.
• The greening organism will not go through the egg.
• The greening organism apparently multiplies in the psyllid.

There has been no definitive study on transmission by T. erytreae. McClean and Oberholzer (1965) found no transmission using nymphs, and approximately 50 percent transmission when large numbers of Trioza (over a thousand) were used.

The following general procedure is suggested for vector transmission as a means of testing for presence of Asian greening, or separating the greening pathogen from other pathogens, and is based on the method of Capoor et al. (1974) for D. citri. It is similar to the technique illustrated for aphid transmission of tristeza (Roistacher,1981).

Psyllids

For the testing of field trees, transfer 50 to 150 existing psyllids found feeding on suspect trees to indicator plants, or use artificially reared, newly emerged adults, and put them on symptomatic leaves of field trees for at least two weeks for their acquisition feeding and waiting period.

Acquisition feeding

Insects may be collected directly from symptomatic leaves of suspect field trees by cutting a branch containing feeding psyllids on suspect leaves and placing the cut end of the branch in water. This is then transported to the plant laboratory. Psyllids reared separately may be transferred to suspect field trees by tying young leaves containing abundant psyllids next to symptomatic leaves. Place a cage over the feeding area containing the leaves and insects and allow at least two weeks of field feeding. As the leaves of the source plant dry up, the psyllids will migrate and feed on the leaves of the suspect tree.

Infection feeding

After acquisition feeding, transfer the leaves containing the feeding psyllids (step 2) by tying them to the young leaves of sweet orange or Mexican lime indicator seedlings. Ensure there are at least 50 to 100 insects present. Allow an infection-feeding period of 24 hours at 2024°C.

Completion

After the 24-hour infection-feeding period, spray leaves with malathion or some other pesticide to kill the insects. Place the inoculated plants in a controlled environment for symptom development (24-32°C for Asian greening).

Controls

Negative control plants should be exposed to non-infective psyllids raised on healthy citrus. A few non-exposed healthy indicator plants should also be used. If available, greenhouse-grown infected plants should be used as positive controls. Psyllids should be fed on these infected plants and transferred to test seedlings in the same manner as described for testing field trees. This work should be done in a plant laboratory with excellent insect control.

GREENING DISEASE DETECTION

Summary
Graft transmission

Indicator:
Sweet orange, Orlando tangelo or Ponkan mandarin.

No. of plants/test:
5 seedlings (grown 1 per container plus controls).

Inoculum:
Side grafts or leaf pieces.

Plant growth:
Single shoot.

Temperature:
20/25°C for African greening; 25-30°C for Asian greening.

First symptoms:
Eight to 12 weeks or earlier under ideal conditions.

Symptoms:
Leaf mottle and chlorosis. Smaller shoots and leaves. Distinct and characteristic mottle in absence of tristeza or other nutrient-deficiency symptoms.

REFERENCES

Aubert, B. & Quilici, S.1984. Biological control of the African and Asian citrus psyllids (Hemiptera: Psylloidea), through Euliphid and Encrytid parasites (Hymenoptera: Chalcidoidea) in Reunion Island. In Proc. 9th Conf. IOCV, p. 100-108. Riverside, IOCV.

Bové, J.M. & Gamier, M.1984. Citrus greening and Psylla vectors of the disease in the Arabian peninsula. In Proc. 9th Conf. IOCV, p. 109- 114. Riverside, IOCV.

Capoor, S.P., Rao, D.G. & Viswanath, S.M.1974. Greening disease of citrus in the Deccan Trap country and its relationship with the vector, Diaphorina citri Kuwayama. In Proc. 6th Conf. IOCV, p. 43-49. Riverside, IOCV.

Catling, H.D.1970. Distribution of the psyllid vectors of citrus greening disease with notes on the biology and bionomics of Diaphorina citri. FAO Plant Prot. Bull., 18: 8-15.

Chen, M.H., Miyakawa, T. & Matsui, C.1971. Mycoplasmalike bodies associated with likubindiseased Ponkan citrus. Phytopathol., 61: 598.

Garnett, H.M.1984/1985. Isolation of the greening organism. CitrusGrow.Sub-Trop. Fruit J. Dec.1984, Jan.1985: 4-6.

Gamier, M. & Bové, J.M.1983. Transmission of the organism associated with citrus greening disease from sweet orange to periwinkle by dodder. Phytopathol., 73(10): 1358-1363.

Gamier, M., Latrille, J. & Bové, J.M.1976. Spiroplasma citri and the organism associated with likubin: comparison of their envelope systems. In Proc. 7th Conf. IOCV, p. 13-17. Riverside, IOCV.

Gamier, M., Martin-Gros, G. & Bové, J.M.1987. Monoclonal antibodies against the bacteria-like organism associated with citrus greening disease. Ann. Inst. Pasteur/Microbiol., 138: 639-650.

Laflèche, D. & Bové, J.M.1970. Mycoplasmas dans les agrumes atteints de "greening", de "stubborn" ou de maladies similaires. Fruits d'outre-mer, 25(6): 455-465.

McClean, A.P.D. & Oberholzer, P.C.J.1965. Citrus psylla, a vector of the greening disease of sweet orange. S. Afr. J. Agric. Sci., 8: 297-298.

Oberholzer, P.C.J., Von Standen, D.F.A. & Basson, W.J.1965. Greening disease of sweet orange in South Africa. In Proc. 3rd Conf. IOCV, p. 213-219. Gainesville, Univ. Fla. Press.

Roistacher, C.N.1981. A blueprint for disaster Part 2. Changes in transmissibility of seedling yellows. Citrograph, 67: 28-32.

Schwarz, R.E.1968. Thin layer chromatographical studies on phenolic markers of the greening virus in various citrus species. S. Afr. J. Agric. Sci., 11: 797-802.

Schwarz, R.E.1972. Strains of the greening pathogen. In Proc. 5th Conf. IOCV, p. 40-44. Gainesville, Univ. Fla. Press.

Schwarz, R.E.1976. Consultant report on citrus greening in Kenya. AG:/DP/KENH 1/528, Rome, FAO. 14 pp.

Schwarz, R.E. & Bové, J.M.1980. Greening. In Description and illustration of virus and virus-like diseases of citrus. Us. A collection of colour slides with text. Bové, J.M. & Vogel, R. eds. Paris, I.R.F.A. SETCO-FRUITS.

Zhao, Xue-Yuan.1981. Citrus yellow shoot disease (huang longhing) in China. A review. In Proc . Int. Soc. Citriculture1981, p. 466-469.

FIGURE 14a A typical greening-affected mandarin tree in the field (New Territories, Hong Kong)

FIGURE 14b Emerging, stunted yellow shoots showing severe chlorosis, typical of greening infection. Yellow shoot or huang-longbing is the name given to this disease in mainland China (Taiwan Province)

FIGURE 14c A characteristic greeningaffected branch showing leaves with chlorosis, mottle, and yellow midribs and veins (South Africa)

FIGURE 14d Close-up of a leaf from a greening-affected tree showing vein yellowing and mottle (South Africa)

FIGURE 15 Typical greening of fruit. Two normal Valencia oranges surrounded by greening-affected fruit (South Africa). Note tier, styler end greening and smaller fruit

FIGURE 16 Drawing of adults and instars of Oiaphorina citri and Trioza erytreae (Source: Catling, 1970)

FIGURE 17 Diaphorina citri feeding on a young shoot and leaves of a citrus tree. Note the angular position taken by the insect when feeding (Pakistan) (Photo: L.C. Cochran)

FIGURE 18 Characteristic bumps on the underside of sweet orange leaves caused by the feeding of Trioza erytreae (South Africa)

FIGURE 19 Gracilicute-like bacteria found in cells of a greening-Hected citrus leaf. Note trilayered bacterial wall (China) (Photo: Ke-Chung)

FIGURE 20Abundant greening organisms in the haemolymph of Trioza erytreae (Photo: J. Moll)

continue


Contents - Previous - Next