Para comprender las actividades que se realizan en un criadero y para ayudar a solucionar los problemas que puedan surgir se necesita contar con conocimientos sobre la biología de los bivalvos. Este manual no pretende ofrecer una descripción minuciosa de la biología de los bivalvos, pero sí proporcionar un breve resumen de información referente a las actividades que se llevan a cabo en un criadero. En el mercado existen libros excelentes sobre la biología de los moluscos y también hay publicaciones exhaustivas sobre grupos o especies individuales de ostras, vieiras, mejillones y almejas. Para obtener información adicional, el lector puede consultar este tipo de publicaciones al final de esta sección.
Los bivalvos pertenecen al filo Mollusca, un grupo que incluye animales tan diversos como los quitones, gasterópodos, colmillos de mar y cefalópodos (calamar y pulpo), así como la almeja, la ostra, el mejillón y la vieira. El filo tiene seis clases, una de las cuales es la de los Lamelibranquios o Bivalvos. Estos animales están comprimidos lateralmente y las partes blandas del cuerpo están completa o parcialmente recubiertas por la concha, que está formada por dos valvas unidas por una charnela. Las branquias o ctenidios de los animales de esta clase son órganos bien desarrollados y especializados para la alimentación, así como para la respiración.
El rasgo más destacado de los bivalvos es la existencia de dos valvas de igual o diferente tamaño y que pueden o no cerrarse completamente sobre las partes blandas del interior. Tienen un sinfín de formas y colores según la especie de la que se trate. Las valvas están formadas principalmente de carbonato cálcico y tienen tres capas; la capa interna o nacarada, la capa intermedia o brillante que forma la práctica totalidad de la concha, y la capa externa o periostraco, una capa pardusca y áspera que los animales más viejos suelen perder debido a la abrasión o al desgaste.

Ilustración 6: Características internas y externas de las valvas de una concha de chirla mercenaria, Mercenaria mercenaria. Modificado a partir de Cesari y Pellizzato, 1990.
Los bivalvos no tienen cabeza ni cola bien definidas, aunque se emplean los mismos términos anatómicos que se usan para describir estas partes en otros animales. El umbo o zona de la charnela, donde se unen las valvas, es la parte dorsal del animal (Ilustración 6), y la región en el lado opuesto es el margen ventral. En especies que cuentan con sifones (almejas), el pie se encuentra en posición anterior-ventral y los sifones en la zona posterior (Ilustración 7). En las ostras la zona anterior está en la charnela y en las vieiras se encuentra donde están localizados la boca y el pie rudimentarios.

Ilustración 7: Anatomía del tejido blando interno de una almeja del género Tapes. En esta vista, se han retirado las laminillas superiores de las branquias para dejar ver el pie y demás tejidos adyacentes. Modificado a partir de Cesari y Pellizzato, 1990.
Al retirar con cuidado una de las valvas de la concha se pueden apreciar las partes blandas de los animales. Las diferencias en cuanto al aspecto general de una ostra y una vieira pueden verse en la Ilustración 8.

Ilustración 8: Anatomía del tejido blando de la ostra plana, Ostrea edulis, y de la vieira Calico, Argopecten gibbus, visible después de haber retirado una de las valvas de la concha. MA - músculo aductor; B - branquias; G - gónada (diferenciada en O - ovario y T - testículo en la vieira Calico); L - ligamento; M - manto y U - umbo. Las cámaras inhalante y exhalante de la cavidad del manto se identifican como CI y CE respectivamente.
Manto
Las partes blandas están recubiertas por el manto, que está compuesto de unas finas fundas de tejido de bordes más gruesos. Las dos mitades del manto están unidas a la concha por la charnela en posición ventral respecto de la línea paleal, pero sueltas en los bordes. Los bordes engrosados pueden o no estar pigmentados y tienen tres pliegues. El borde del manto suele tener tentáculos, que en la almeja se encuentran localizados en las puntas del sifón. En especies como la vieira, el borde del manto no sólo tiene tentáculos sino que también tiene numerosos órganos fotosensibles -los ojos (Ilustración 9).

Ilustración 9: Anatomía del tejido blando interno de una vieira hermafrodita.
La función principal del manto es segregar la concha pero también cumple otros propósitos, ya que posee una función sensorial y puede iniciar el cierre de las valvas como respuesta a condiciones desfavorables en el entorno. También puede controlar la entrada de agua en la cavidad corporal y además tiene función respiratoria. En especies como las vieiras, regula la entrada y salida de agua en la cavidad corporal y el movimiento del animal cuando nada.
Músculo aductor
Al retirar el manto se pueden ver las partes blandas del cuerpo, los músculos aductores en las especies dimiarias (almejas y mejillón) o un único músculo en las especies monomiarias (ostras y vieiras). En las almejas y mejillones los dos músculos aductores se encuentran cerca de los márgenes anterior y posterior de las valvas de la concha. En las ostras y vieiras el gran músculo único está ubicado en el centro. Los músculos cierran las valvas y actúan contra el ligamento y resilio, que activan el mecanismo de apertura de las valvas cuando el músculo se relaja. En las especies monomiarias se ven claramente las divisiones del músculo aductor. La gran porción anterior (estriada) del músculo se denomina «músculo rápido» y se contrae para cerrar las valvas; la porción más pequeña, la parte lisa, conocida como «músculo de cierre», mantiene las valvas en posición cuando se han cerrado o están parcialmente cerradas. Algunas especies que viven enterradas en el sustrato (p. ej. almejas) necesitan una presión externa para mantener las valvas cerradas ya que los músculos se debilitan y las valvas se abren si se mantiene a las almejas fuera del sustrato en el tanque.
Branquias
La prominencia de las branquias o ctenidios es una de las características importantes de los lamelibranquios. Se trata de órganos grandes en forma de hoja que se utilizan en parte para la respiración y en parte para filtrar el alimento del agua. Hay dos pares de branquias colocados a ambos lados del cuerpo. En el extremo anterior, hay dos pares de lenguas, llamados palpos labiales, que rodean la boca y facilitan la introducción de alimentos.
Pie
El pie se encuentra en la base de la masa visceral. En la almeja se trata de un órgano bien desarrollado que el animal utiliza para excavar en el sustrato y sujetarse. En las vieiras y el mejillón, el pie es bastante reducido y tiene escasa función en los adultos pero en las etapas de larva y juveniles es importante y se utiliza para la locomoción. En las ostras es un órgano rudimentario. En la parte central del pie hay una abertura desde la glándula bisal a través de la cual el animal segrega una sustancia filamentosa y elástica llamada «biso» con la que se puede adherir al sustrato. Esto es importante en especies como el mejillón y en algunas vieiras pues permite al animal sujetarse y mantener su posición.
Sistema digestivo
Las grandes branquias filtran el alimento del agua y lo dirigen hacia los palpos labiales donde se clasifica antes de pasar a la boca. Los bivalvos tienen la capacidad de seleccionar alimentos filtrados del agua. El bolo alimenticio, amalgamado por el moco, pasa a la boca y a veces es rechazado por los palpos y eliminado por el animal en forma de las denominadas «pseudoheces». También disponen de un esófago corto que une la boca y el estómago, un saco hueco con cámaras y varias aberturas. El estómago se halla totalmente rodeado por el divertículo digestivo (glándula), una oscura masa de tejido que muchas veces se denomina «hígado». Dentro del estómago hay una abertura que llega hasta un intestino muy curvo que se extiende hasta el pie en las almejas y hasta la gónada en las vieiras, para terminar en el recto y finalmente en el ano. Otra abertura del estómago conduce hasta un tubo cerrado parecido a un saco, que contiene un estilo cristalino. El estilo es un bastoncillo gelatinoso y claro de hasta 8 cm de longitud en algunas especies. Tiene un extremo redondeado y otro afilado. El extremo redondeado incide en la placa gástrica del estómago. Se cree que ayuda a mezclar los alimentos en el estómago y libera unas enzimas que facilitan la digestión. El estilo está compuesto de capas de mucoproteínas que liberan enzimas digestivas que convierten el almidón en azúcares digestibles. Si se mantiene a los bivalvos fuera del agua durante unas cuantas horas el estilo cristalino se reduce bastante y puede llegar a desaparecer, pero se reconstituye rápidamente una vez se vuelve a dejar al animal en el agua.
Sistema circulatorio
Los bivalvos tienen un sistema circulatorio simple que es bastante difícil de localizar. El corazón se halla en un saco transparente, el pericardio, cerca del músculo aductor en las especies monomiarias, y tiene dos aurículas de forma irregular y un ventrículo. La aorta anterior y posterior salen del ventrículo y llevan la sangre a todo el cuerpo. El sistema venoso consta de una serie vaga de senos de pared fina a través de los cuales vuelve la sangre al corazón.
Sistema nervioso
Es difícil observar el sistema nervioso sin contar con preparación especial. Esencialmente consta de tres pares de ganglios con conectivos (ganglios cerebrales, pedios y viscerales).
Sistema urogenital
Los sexos de los bivalvos suelen estar separados (dioicos) o ser hermafroditas (monoicos). La gónada puede estar visible y ser un órgano bien definido, como en el caso de las vieiras, u ocupar una porción importante de la masa visceral, como en el caso de las almejas. En las ostras la gónada sólo es visible durante la estación reproductora cuando llega a ocupar hasta el 50% del volumen del cuerpo. En algunas especies, como la vieira, los sexos se pueden distinguir a simple vista cuando la gónada está llena, ya que la gónada masculina es blanca y la femenina roja, incluso en las especies hermafroditas. En algunas especies como el mejillón, se puede distinguir los sexos por el color de la gónada. En otras especies, se necesita examinar la gónada bajo el microscopio para determinar el sexo del animal. Puede darse un pequeño grado de hermafroditismo en las especies dioicas.
Es posible que exista protandría e inversión de sexos en los bivalvos. En algunas especies se observa una preponderancia de machos en los animales más pequeños, lo que indica que el desarrollo sexual de los machos ocurre antes que el de las hembras o que algunos animales crecen como machos primero y luego cambian a hembras cuando son más grandes. En algunas especies, p. ej., la ostra europea, Ostrea edulis, el animal puede desovar primero como macho en un ciclo, rellenar la gónada con óvulos y desovar una segunda vez como hembra.
El sistema renal es difícil de observar en algunos bivalvos pero es visible en especies como la vieira que tienen dos riñones pequeños, de color pardo y en forma de saco, apretados contra la parte anterior del músculo aductor. Los riñones vacían en la cavidad paleal a través de grandes hendiduras. En las vieiras, los óvulos y esperma de las gónadas son expulsados a través de los conductos hacia la luz del riñón y luego pasan a la cavidad paleal.
En la mayoría de los bivalvos, la madurez sexual depende del tamaño del animal más que de su edad, y el tamaño que alcanzan en la madurez sexual varía de una especie a otra y según la distribución geográfica. La producción de óvulos y esperma es un proceso denominado gametogénesis, cuyo inicio depende de varios factores, como el tamaño del bivalvo, la temperatura y la cantidad y calidad de alimento que recibe. La gónada está compuesta por conductos ciliados ramificados desde donde se abren numerosos sacos o folículos. La proliferación de las células germinales que recubren la pared del folículo da lugar a los gametos. Aunque el desarrollo de la gónada es un proceso continuo, se pueden distinguir varias fases descriptivas; descanso, desarrollo, madurez, desove parcial y desove completo. Cuando las gónadas o el tejido gonadal han alcanzado la plena madurez, son fáciles de ver y ocupan gran parte del cuerpo blando del animal. Los gonaductos que transportan los gametos hasta la cavidad corporal se desarrollan, aumentan de tamaño y se pueden observar a simple vista en la gónada.
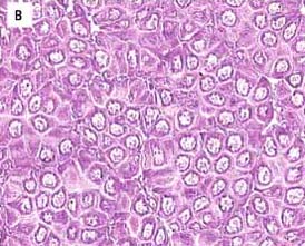
Se han empleado varios métodos en los bivalvos para determinar el momento en que alcanzan la madurez y están listos para desovar. El método más preciso consiste en cortar secciones histológicas de la gónada (Ilustración 10), pero es costoso, lleva mucho tiempo y requiere el sacrificio del animal. La técnica alternativa, utilizada con más frecuencia, es la de tomar un frotis de la gónada o extraer pequeñas muestras de las gónadas de varios individuos y observarlas bajo el microscopio. En la vieira, a veces se utiliza el índice gonadal (peso de la gónada dividido por el peso de las partes blandas, multiplicado por 100). Generalmente en los criaderos se sigue una rutina estricta para preparar a los adultos para el desove y la mayoría de los técnicos de criadero aprenden enseguida a reconocer cuándo ha alcanzado el animal la madurez y está listo para el desove con un examen macroscópico de la gónada.
A veces se utiliza el término «virgen» para referirse a aquellos bivalvos que han alcanzado el tamaño de madurez sexual y desovan por primera vez. Aunque estos animales alcanzan la madurez sexual, el número de gametos producidos es limitado y a veces no todos son viables. Durante las puestas posteriores el número de gametos producidos aumentará considerablemente.
El período de desove en poblaciones naturales varía según la especie y situación geográfica. Existen varios factores ambientales que pueden inducir el desove, de los cuales cabe mencionar la temperatura, los estímulos químicos y físicos, las corrientes de agua o una combinación de éstos y otros factores. La presencia de esperma en el agua a menudo estimula el desove de animales de la misma especie. En ambientes tropicales, algunas especies de bivalvos mantienen sus gametos maduros durante todo el año y desovan cantidades limitadas durante los doce meses. En las zonas templadas, la puesta suele estar limitada a un período concreto del año. Muchos bivalvos desovan en masa, y el período de puesta es muy corto, durante el que expulsan casi todo el contenido de la gónada. Otras especies de bivalvos desovan durante más tiempo, incluso durante varias semanas, y se les conoce como «desovadores parciales», ya que van liberando unos cuantos gametos durante un período más largo, con uno o dos valores máximos durante ese tiempo. En otras especies puede haber más de un desove bien diferenciado al año, mientras que en las especies hermafroditas, el esperma se expulsa antes o después de los óvulos, minimizando así la posibilidad de autofecundación.
|
|
|
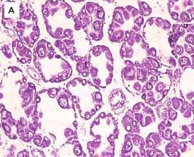
Ilustración 10: Microfotografías de secciones histológicas del ovario de una vieira, Argopecten gibbus, durante la gametogénesis (A), óvulos en desarrollo que recubren las paredes de numerosos folículos. (B) folículos llenos de óvulos maduros (cortesía de Cyr Couturier y Samia Sarkis).
En la mayoría de las especies de bivalvos de interés comercial, los gametos se expulsan al medio exterior, donde tiene lugar la fecundación. El esperma es expulsado a través de la abertura o sifón exhalante en un chorro fino y constante. La expulsión de los óvulos es más intermitente y se emiten en nubes desde la abertura exhalante o sifón. En especies como las vieiras o las ostras, las hembras baten las valvas para expulsar los óvulos, despegando así los que se han quedado adheridos a las branquias. En muchas especies, las gónadas se encuentran vacías después del desove y es imposible distinguir a simple vista el sexo de cada individuo. Se conoce esta fase como la de descanso. En los desovadores parciales, puede que la gónada nunca llegue a vaciarse del todo.
Algunos bivalvos, por ejemplo la ostra plana, son larvíparos y las primeras fases del desarrollo larvario tienen lugar dentro de la cámara inhalante de la cavidad paleal cuando la ostra se encuentra en la fase de hembra. Durante el desove, los óvulos pasan a través de las branquias y se retienen dentro de la cavidad paleal. El esperma se recibe a través de la abertura inhalante. El tiempo de retención de las larvas en la cavidad paleal y el tiempo posterior que les queda de vivir libres en las aguas superficiales, varía según la especie. En algunos géneros, p. ej. Tiostrea, las larvas pueden formar parte del plancton durante un sólo día.
A veces puede ocurrir que no haya desoves durante varios años, sobre todo en las zonas templadas. Esto puede deberse a varios factores, pero probablemente esté relacionado con la temperatura del agua, quizás demasiado baja para estimular el desove. Cuando esto ocurre en la ostra, a veces los óvulos y el esperma se reabsorben en el tejido gonadal, se degradan y luego se almacenan en forma de glucógeno. En almejas y vieiras, la gónada puede permanecer en estado maduro hasta el año siguiente.
Estos temas se tratarán con más detalle en secciones posteriores, pero en este apartado se ofrece una breve descripción. El desarrollo larvario se da de forma similar en la cavidad paleal de la hembra y en el medio abierto.
Los huevos sufren una división meiótica durante la fecundación, reduciéndose el número de cromosomas a un número haploide, antes de la fusión de los pronúcleos masculinos y femeninos para formar el cigoto. Durante la división meiótica se liberan dos cuerpos polares, que al hacerse visibles nos indican que se ha conseguido la fecundación. La división celular comienza y antes de que transcurran treinta minutos desde la fecundación, el huevo se divide en dos células. Dado que los huevos pesan más que el agua, se hunden hasta el fondo del tanque donde continúa la división celular.
El tiempo necesario para el desarrollo larvario y embrionario varía según la especie y la temperatura (Ilustración 11). En un período de 24 horas el huevo fecundado pasa por las fases multicelulares de blástula y gástrula y en las 12 horas siguientes se convierte en una trocófora con motilidad. Las trocóforas son de forma ovalada, de un tamaño de 60-80 µm y disponen de una fila de cilios alrededor del centro con un largo flagelo apical que facilita la natación. La fase larvaria inicial es conocida como la fase de charnela recta, «D» o Prodisoconcha I. La longitud de la concha en la fase inicial de la charnela recta varía según la especie pero generalmente mide 80-100 µm (más en ostras larvíparas). La larva tiene dos valvas, un sistema digestivo completo y un velo. El velo es un órgano circular que sólo se encuentra en las larvas de los bivalvos y puede sobresalir de las valvas. Gracias a los cilios que se encuentran a lo largo del margen exterior, las larvas pueden nadar para mantenerse en la columna de agua. Cuando la larva nada en la columna de agua toma fitoplancton a través del velo para alimentarse. Las larvas nadan, se alimentan, y crecen y en siete días desarrollan unas protuberancias, llamadas umbos, en la concha cerca de la charnela. Conforme crecen las larvas, los umbos sobresalen más aún, encontrándose ya las larvas en la fase umbonada o Prodisoconcha II. En esta fase, las larvas tienen formas diferenciadas y con práctica es posible identificar las distintas especies de bivalvos entre el plancton. Esta identificación ha sido utilizada por los biólogos para prever la fijación de las ostras en el medio natural y utilizarlo posteriormente en las explotaciones. La duración de la fase larvaria varía, dependiendo de la especie o de determinados factores ambientales como la temperatura, pero oscila entre los 18 y 30 días. Al alcanzar la madurez, la larva mide entre 200 y 330 µm, según la especie.

Ilustración 11: Representación de las etapas de desarrollo de la vieira Calico, Argopecten gibbus, dentro de un criadero. La duración del intervalo entre las distintas etapas se indica en horas o días para esta especie en particular y puede ser diferente en otras especies de bivalvos.
Cuando las larvas están a punto de alcanzar la madurez, desarrollan un pie y branquias rudimentarias, y aparece una pequeña mancha oscura circular, la mancha ocular, cerca del centro de cada valva en algunas especies. Entre períodos de actividad natatoria, las larvas se asientan y utilizan el pie para arrastrarse sobre el sustrato. Cuando localiza un sustrato adecuado, la larva está ya preparada para la metamorfosis y para comenzar su existencia bentónica. Las larvas maduras de las ostras segregan una pequeña gota de cemento en una glándula del pie, se vuelcan y colocan la valva izquierda sobre el cemento. Permanecen adheridas en esta posición durante el resto de sus vidas. En otras especies, la larva segrega un biso desde la glándula bisal del pie, que sirve de sujeción temporal para adherirse al sustrato, como preparación para la metamorfosis.
La metamorfosis es un momento crítico en el desarrollo de los bivalvos, pues el animal deja su actividad natatoria y planctónica para llevar una existencia sedentaria y bentónica. Puede haber mortalidades importantes en este tiempo, tanto en la naturaleza como en el criadero. Este tema se analiza con más detalle en una sección posterior, pero merece especial atención ya que es un aspecto importante de la producción de bivalvos juveniles en el criadero.
Los bivalvos filtran su alimento, principalmente organismos vegetales microscópicos llamados fitoplancton. En los juveniles y adultos, los ctenidios, o branquias, están bien desarrollados y ejercen la doble función de alimentación y respiración. Los ctenidios están cubiertos de cilios -diminutos filamentos vibradores- cuyos latidos concertados, y a menudo coordinados, inducen una corriente de agua. Cuando descansan o se encuentran en un sustrato, el animal absorbe el agua a través de la abertura o sifón inhalante, que pasa por las branquias y luego vuelve al medio a través de la abertura o sifón exhalante. Las branquias recogen plancton y lo pegan a la mucosa. Gracias al latido de los cilios, los filamentos de mucosa cargados de alimento pasan por unos surcos especiales en las branquias hacia el interior hasta los palpos labiales que dirigen el alimento a la boca y lo introducen. Los bivalvos pueden seleccionar parte del alimento y periódicamente los palpos rechazan pequeñas masas de alimento, las pseudoheces, expulsándolas de la cavidad paleal, a menudo por un batido vigoroso de las valvas.
El alimento óptimo de los bivalvos sigue siendo una incógnita pero indudablemente el fitoplancton constituye la parte principal de la dieta. Otras fuentes de alimentación pueden ser importantes, como las finas partículas de materia orgánica muerta (detritus) con bacterias asociadas y materia orgánica disuelta.
Sólo se pueden hacer comentarios generales sobre el crecimiento de juveniles y adultos ya que varía mucho según la especie, la distribución geográfica, el clima, y el lugar en las zonas submareales o intermareales. También existen diferencias entre individuos y su composición genética. El crecimiento puede variar enormemente de un año a otro y en las zonas templadas existen patrones estacionales de crecimiento.
Se pueden utilizar distintos métodos para medir el crecimiento de bivalvos, entre ellos, los incrementos de longitud o altura de la concha, los incrementos del peso total o de la parte blanda, o una combinación de todos ellos. En las zonas tropicales, el crecimiento puede variar según la estación, siendo más rápido durante o después de las épocas de lluvias cuando hay mayor aporte de nutrientes al océano provocando un aumento en la producción de fitoplancton. En las zonas templadas, el crecimiento suele ser rápido en primavera y verano cuando hay abundancia de alimentación y la temperatura del agua es más elevada. El crecimiento prácticamente cesa en invierno, formándose las marcas anuales en la concha. Estas marcas de invierno se han utilizado para determinar la edad de algunos bivalvos. Mientras que algunas especies tienen una vida muy corta, otras pueden vivir durante más de 150 años.
En explotaciones de cultivo, las consideraciones importantes a tener en cuenta en el crecimiento de los bivalvos, son el tiempo que tardan en alcanzar la madurez sexual y la talla comercial. El objetivo en la producción de bivalvos es cultivar cuanto antes los bivalvos hasta su talla comercial, para así optimizar la rentabilidad de la explotación.
Cuando están en las fases larvaria, juvenil y adulta, la mortalidad de los bivalvos puede estar originada por una gran variedad de causas, de origen biológico o ambiental. El tema es demasiado extenso para tratarlo en detalle en esta publicación pero se ofrece un breve resumen para resaltar algunos puntos de relevancia que pueden ser importantes en el funcionamiento del criadero.
El medio físico puede provocar mortalidades importantes de bivalvos en las tres fases. Las temperaturas demasiado elevadas, los períodos prolongados de temperaturas bajas y los cambios bruscos de temperatura pueden ser letales para los bivalvos. Las condiciones extremas de salinidad, sobre todo de baja salinidad después de períodos de lluvias fuertes o escorrentía del deshielo de nieve, también pueden provocar grandes mortalidades. Las colmataciones fuertes pueden sofocar y matar a juveniles y adultos.
La contaminación, sobre todo industrial, también puede originar grandes mortalidades. Tanto la contaminación industrial como la doméstica pueden ser problemáticas para el funcionamiento del criadero y deben evitarse. La contaminación doméstica puede acrecentar las cargas orgánicas y bacterianas en el agua ya que se vierten muchos materiales potencialmente tóxicos. Poco se sabe de los efectos combinados de los niveles subletales del amplio rango de compuestos orgánicos y organometálicos de origen antrópico que pueden estar presentes en estos efluentes.
Los bivalvos en las fases larvaria, juvenil y adulta sufren la depredación de una gran variedad de animales que pueden provocar mortalidades serias. En el medio natural los animales que se alimentan de plancton probablemente consumen grandes cantidades de larvas. En el criadero la depredación no suele ser un problema, ya que se utiliza agua filtrada y se eliminan a los depredadores.
Los bivalvos hospedan parásitos que pueden provocar mortalidades, sobre todo en la fase adulta. Las lombrices perforadoras de concha, Polydora sp., y las esponjas excavan en las conchas y las debilitan, provocando la muerte del bivalvo.
Probablemente la mayor causa de mortalidad, particularmente entre larvas y juveniles, son las enfermedades. Se ha hecho un gran esfuerzo para investigar las enfermedades de los bivalvos y el desarrollo de métodos para controlarlas.
Las enfermedades pueden ser devastadoras para los bivalvos adultos como hemos visto por las grandes mortandades de algunas poblaciones del mundo. A continuación se mencionan algunos ejemplos:
Dermocystidium:
Enfermedad fúngica de los bivalvos provocada por Perkinsus marinus;Enfermedad de la bahía de Delaware (MSX):
Infección por el protozoo haplosporidio, Haplosporidium (Minchinia) nelsoni;Haplosporidiosis:
Infección por el protozoo haplosporidio, Haplosporidium costale, (que, junto con H. nelsoni, ha diezmado las grandes poblaciones de la ostra americana en la costa atlántica de los EE.UU. y ahora se propaga hacia el Norte, hacia la costa atlántica de Canadá).Marteiliosis:
Infección por el protozoo, Marteilia refringens;Bonamiasis:
Enfermedad provocada por el parásito microcelular, Bonamia ostreae;
(La Marteiliosis y la Bonamiasis han provocado la práctica totalidad de las mortandades de ostra europea en algunas zonas de Europa).
A pesar de todo el trabajo que se ha realizado para estudiar estas enfermedades, no se ha desarrollado ningún método práctico para controlarlas y restaurar las poblaciones de ostras a los niveles anteriores. Debido a la gravedad de estas enfermedades, hay que extremar las precauciones cuando se transportan bivalvos adultos a un criadero.
Los brotes de enfermedades en los criaderos pueden estar provocados por bacterias en vez de protozoos, estando éstas presentes en los cultivos de algas y de larvas en mayor o menor grado. De hecho, las bacterias llegan a formar una parte importante de la dieta de las larvas, aunque puede ocurrir que de forma periódica mueran grandes grupos de larvas, perdiéndose el cultivo entero. Los recuentos elevados de bacterias casi siempre están asociados a grandes mortalidades. Las bacterias pueden provocar mortalidades o simplemente pueden estar presentes como bacterias oportunistas, o saprofíticas, que se alimentan de larvas moribundas. Las bacterias que provocan enfermedades pertenecen principalmente al género Vibrio sp. y es necesario tomar grandes precauciones para evitar epidemias en el criadero. El mejor método para prevenir estas epidemias es seguir unas normas estrictas de higiene y asegurarse de que las larvas reciban una alimentación correcta de alta calidad, inspeccionándolas regularmente. Si se detecta el brote de una enfermedad o se sospecha de una, será necesario esterilizar los tanques y todo el equipamiento con una solución de lejía y después aclararlos bien con agua dulce. Para proteger a las larvas de una mayor contaminación, es recomendable utilizar agua de mar, irradiada con UV o tratada con ozono. Se desaconseja la utilización de antibióticos para controlar las enfermedades en los criaderos ya que son caros y elevan los costes de funcionamiento. Además si llega a desarrollarse una cepa de bacterias resistentes a los antibióticos, los problemas de enfermedades se agravarían en el futuro.
Balouet, G., Poder, M. & Cahout, A. 1983. Haemocytic parasitosis: morphology and pathology of lesions in the French flat oyster, Ostrea edulis L. Aquaculture 34: 1-14
Bower, S.M. 1992. Diseases and parasites of mussels. In: The Mussel Mytilus: Ecology, Physiology, Genetics and Culture. E.G. Gosling (ed). Elsevier. Devel. Aquaculture Fish. Sci. 25: 465-510
Bower, S.M., McGladdery, S.E. & Price, I.M. 1994. Synopsis of infectious diseases and parasites of commercially exploited shellfish. Annual. Rev. of Fish. Diseases. Elsevier, 4: 1-199
Cesari, P. & Pellizzato, M. 1990. Biology of Tapes Philippinarum, p 21-46. In: Tapes Philippinarum: Biologia e Sperimentazione. Regione Veneto, Ente di Sviluppo Agricolo, Venice: 299 pp. (text in Italian and English)
Elston, R.A. 1990. Mollusc Diseases; Guide for the Shellfish Farmer. Washington Sea Grant. Univ. Washington, USA. SH179.S5E44: 73 pp.
Ford, S.E. 2001. Pests, parasites, diseases and defense mechanisms of the hard clam, Mercenaria mercenaria. In: Biology of the Hard Clam, J.N. Kraeuter and M. Castagna (eds). Elsevier. Devel. Aquaculture Fish. Sci. 31: 591-628
Ford, S.E. & Tripp, M.R. 1996. Diseases and defense mechanisms. In: The Eastern Oyster, Crassostrea virginica. V.S. Kennedy, R.I.E. Newell and A.F. Eble (eds). Maryland Sea Grant, Univ. Maryland, College Park, Maryland, USA. ISBN-0-943-676-61-4: 423-441
Getchell, R.G. 1991. Diseases and parasites of scallops. In: Scallops: Biology, Ecology and Aquaculture. S.E. Shumway (ed). Elsevier. Devel. Aquaculture Fish. Sci. 21: 471-494
Gosling, E. (ed). 1992. The Mussel, Mytilus: Ecology, Phytiology, Genetics and Culture. Elsevier. Devel. Aquaculture Fish. Sci. 25: 589 pp.
Gosling, E. 2002. Bivalve Molluscs, Biology, Ecology and Culture. Fishing News Books. Blackwell Publishing, UK: 443 pp.
Grizel, H., Miahle, E., Chagot, D., Buolo, V. & Bachere, E. 1988. Bonamiasis: a model study of disease in marine molluscs. In: Disease Processes in Marine Bivalve Molluscs W.S. Fisher (ed). Amer. Fish. Soc. Spec. Publ. 18. Bethesda Maryland: 1-4
Jorgensen, C.B. 1990. Bivalve Filter Feeding: Hydrodynamics, Bioenergetics, Physiology and Ecology. Olsen and Olsen, Fredensborg, Denmark: 140 pp.
Kennedy, V.X., Newell, R.I.E. & Eble, A.F. (eds). 1996. The eastern oyster Crassostrea virginica. Maryland Sea Grant, Univ. Maryland, College Park, Maryland, USA. ISBN-0-943-676-61-4: 734 pp.
Koringa, P. 1976. Farming the Flat Oyster of the Genus Ostrea. Elsevier. Devel. Aquaculture Fish. Sci. 3: 238 pp.
Kraeuter, J.N. & Castagna, M. (eds). 2001. Biology of the Hard Clam. Elsevier. Devel. Aquaculture Fish. Sci. 51: 751 pp.
Manzi, J.J. & Castagna, M. 1989. Clam Mariculture in North America. Elsevier. Devel. Aquaculture and Fish. Sci. 19: 461 pp.
Mason, J. 1983. Scallop and Queen Fisheries in the British Isles. Fishing News Books Ltd, Surrey, UK: 143 pp.
Morton, J.E. 1960. Molluscs: An Introduction to their Form and Function. Harper Textbooks, New York, USA: 232 pp.
Quayle, D.G. 1988b. Pacific oyster culture in British Columbia. Can. Bull. Fish. Aquatic Sci. 218: 241 pp.
Shumway, S.E. (ed). 1991. Scallops, biology, ecology and aquaculture. Elsevier. Devel. In Aquaculture Fish. Sci. 21: 1095 pp.
Yonge, C.M. & Thompson, T.E. 1976. Living Marine Molluscs. Will Collins, Sons and Co. Ltd, Glasgow: 288 pp.