Figures
Contents
-
Previous - Next
Figures 1 - 162
Figures
162 - 322
Figures 1 - 162
FIGURE 1 Helical virions
FIGURE 2 Icosahedral virions
FIGURES 3 to 21 are electron micrographs of the BLO
associated with citrus greening disease
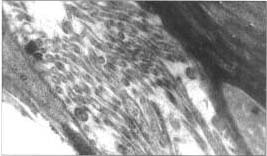
FIGURE 3 BLO in sieve tube of the
peduncular end of the columella of a very young sweet orange. The
inner (cytoplasmic) membrane and the outer (cell-wall) membrane
are clearly visible on this enlarged BLO (Citrus collection
block, Agricultural Research Station. Aussfera farm. Ta'izz.
Yemen) x 55 000
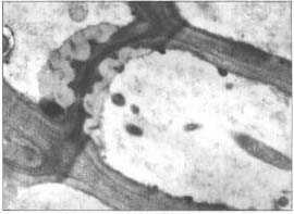
FIGURE 4 BLO in sieve tube of a
sweet orange leaf. Notice the inner and outer membranes of the
BLO (Hassan AI-Buchari orchard, Wadi Dahr, Sana'a area, Yemen) x
30 000
FIGURE 5 BLOs in sieve tube of a
Valencia late sweet orange leaf (Nasser Al Kahr Shufi orchard, Al
Baida area, Yemen) x 30000
FIGURE 6 BLO in sieve tube of a
sweet orange leaf from a eight-year- old tree, originally
imported from Ta'izz (Homegani orchard, Zaher area, Al Baida
region, Yemen) x 25 000
FIGURE 7 Numerous BLOs in sieve tube
of fruit axis of a sour orange fruit from a seedling tree (Ibn
Gemeyh orchard, Taif area, Saudi Arabia) x 7 500
FIGURE 8 Enlargement of part of the
electron micrograph in Figure 7 x 30 000
FIGURE 9 BLOs in sieve tube of a
small-fruited acid lime leaf (Maid Wazen orchard, Turabah, Saudi
Arabia) x 22 000
FIGURE 10 BLOs in sieve tubes of
mandarin feat from tree in Figure 200 (Maid Wazen orchard,
Turabah, Saudi Arabia) x 12 000
FIGURE 11 BLOs in sieve tube of a
small-fruited acid lime leaf (Ode Gambi orchard, Turabah, Saudi
Arabia) x 15 000
FIGURE 12 BLOs in sieve tube of
mandarin leaf. Tree is also affected by severe cachexia (Bakhit
Addaussari orchard, Bishah, Saudi Arabia) x 24 000
FIGURE 13 BLO in sieve tube of sweet
orange leaf (Bakhit Addaussari orchard, Bishah, Saudi Arabia) x
30 000
FIGURE 14 BLOs in sieve tub of
mandarin leaf. Tree is also affected by severe cachexia (see
Figure 38) (Ben Kadassa orchard, Bishah, Saudi Arabia) x 14 000
FIGURE 15 BLO in sieve tube of sweet
orange leaf (Ben Kadassa orchard, Bishah, Saudi Arabia) x 55 000
FIGURE 16 BLOs in sieve tube of
smallfruited acid lime leaf (Boua area, Saudi Arabia) x 40 000
FIGURE 17 BLO in sieve tube of
smallfruited acid lime leaf from tree in Figure 206 (Brehim
Khaibar, Khamis Mushait area, Saudi Arabia) x 55 000
FIGURE 18 BLOs in sieve tube of
mandarin leaf from one of the two mandarin trees in Figure 206
(Brehim Khaibar, Khamis Mushait area, Saudi Arabia) x 40 000
FIGURE 19 BLO in sieve tube of navel
sweet orange leaf from tree in Figure 177. Tree is also infected
with citrus tristeza virus (see Figure 32) (Awadle Elmi-Mohamad
Abdullah Hersi orchard, Hargeisa, Somalia) x 21000
FIGURE 20 BLOs in sieve tube of
sweet orange leaf. Note a mitochondrion in the lower part of the
electron micrograph. Tree is also infected with citrus tristeza
vi us (see Figure 33). A bundle of tristeza virions can be seen
on this electron micrograph below the round form of the BLO
(Osman Ashour Hassan orchard, Hargeisa region, Somalia) x 30 000
FIGURE 21 A high concentration of
greening BLOs (strain from Poona, India) in periwinkle sieve
tubes. Several strains of the greening BLO have been transmitted
from graft-inoculated sweet orange seedlings to periwinkle
(Catharanthus roseus) plants by dodder (Cuscuta campestris)
(INRA, Bordeaux) x 16 000
FIGURE 22 Spiroplasma citri in sieve
tube of a graft-inoculated periwinkle (Catharanthus roseus) plant
(INRA, Bordeaux) x8000
FIGURE 23 Spiroplasma citri in sieve
tube of a naturally infected periwinkle plant (Rabat, Morocco)
x16000
FIGURE 24 Spiroplasma citri in sieve
tube of a naturally infected periwinkle plant (El Annadeh, Syria)
x24000
FIGURES 25 to 28 are electron micrographs of the MLOs
associated with witches' broom disease of small-fruited, acid
lime trees in Oman. They show the MLOs in the sieve tubes of leaf
midveins from various lime trees (see Table 38 in Chapter 16 for
the correspondence between electron micrographs and leaf samples)
FIGURE 25 Adult tree in an advanced
stage of decline (see Figure 138) in Roufeli orchard, Liwa.
Sample E 2-3 x 10 000
FIGURES 26, 27, 28 Three-year-old
tree in Roufeli orchard, Liwa. Sample E 1-1
FIGURES 29 and 30 The MLO associated
with witches' broom disease of lime was transmitted from graft-
inoculated lime seedlings to periwinkle (Catharanthus roseus)
plants by dodder (Cuscuta campestris). The electron micrographs
show how densely the MLOs fill the sieve tubes of periwinkle
leaves
FIGURE 31 Citrus tristeza virion
detected by immunosorbent electron microscopy in satsuma tree
R7T4 on Poncirus trifoliata rootstock of Mahdasht orchard, Sari,
Mazandaran province, Iran (C. Gove, INRA, Bordeaux) x 200 000
FIGURE 32 Closely packed visions of
CTV in sieve tube of 26-year-old navel sweet orange tree (see
Figure 177) also infected with the greening BLO (see Figure 19)
(Awadle Elmi- Mohamad Abdullah Hersi orchard, Hargeisa, Somalia)
x 30 000
FIGURE 33 Closely packed virions of
CTV in sieve tube of Jaffa sweet orange leaf from tree in Figure
178. Tree is also infected with the greening BLO (Awadle
Elmi-Mohamad Abdullah Hersi orchard, Hargeisa, Somalia) x 30 000
FIGURE 34 Neoaliturus (Circulifer)
haematoceps (Baker). This leafhopper is the major insect vector
of Spiroplasma citri in the Old World. It is not present in the
New World (America). It has been reported as a vector of sugar
beet curly top virus in Turkey (INRA, Bordeaux)
FIGURE 35 Neosliturus (Circulifer)
tenellus (Mulsant and Rey). This leafhopper is the major insect
vector of Spiroplasma citri in the United States of America where
it also transmits sugar beet curly top virus. It is a vector of
S. citri in the Old World (Courtesy of G. Oldfield, Riverside,
California)
FIGURE 36 Salsola kali L. (Russian
thistle, tumbleweed Chenopodiaceae), the major host plant of the
leafhopper vectors of S. citri (Neoaliturus haematoceps and/or M
tenellus) in the Old and New Worlds. S. kali is, however, not a
host of S. citri (Fidio, El Annadeh, Syria)
FIGURE 37 Eggs, nymphal instars and
adults of the two citrus psyllids, Trioza erytreae (Del Guercio
and Diaphorina citri (Kuwayama), the vectors of the greening
bacterium in Africa and Asia respectively (Courtesy of B. Aubert,
IRFA, France)
FIGURE 38 Trunk of an old,
cachexia-affected, declining mandarin tree on sour orange
rootstock. Scratching away outer layers of bark across bud-union
reveals streaks of gum in mandarin bark but not in sour orange
bark. Removal of a piece of bark across budunion reveals pits in
the mandarin stem (stem pining) with matching pegs on the inner
face of the bark (see Figure 39) (Ben Kadassa orchard, Bishah,
Saudi Arabia)
FIGURE 39 Pegs on inner (cambial)
face of piece of bark removed from trunk of Figure 38. Note gum
impregnation of mandarin bark only
FIGURE 40 Trunk of 25-year-old
cachexiaaffected Clementine tree on sour orange rootstock.
Removing outer layers of bark reveals mild bark gumming of
Clementine bark only (Agricultural Research Station, Iskenderun,
Turkey)
FIGURE 41 Removal of a piece of bark
across bud-union of trunk in Figure 40 reveals a round, conoid
type of pining on Clementine stem (middle) with matching pegs on
cambial face of bark (left) and relatively mild gumming of
Clementine bark (right)
FIGURE 42 Cachexia-affected mandarin
tree on sour orange rootstock. In severe cases of cachexia, bark
gumming extends high above bud. union (A.H. Al Hassa orchard,
Kassala, the Sudan)
FIGURE 43 Inner (cambial) face of
piece of bark from tree in Figure 42 removed across bud-union.
Note pegs on mandarin bark but no pegs on smooth sour orange
bark. Note also presence of abundant gum in mandarin bark, but
not in sour orange bark
FIGURE 44 Twelve year old,
cachexiaaffected mandarin tree on sour orange rootstock. Removal
of strip of bark across bud-union reveals severe stem pitting,
somewhat resembling cristacortis stem pitting (see Figure 110)
(K. Al Sudeyri orchard, Najran, Saudi Arabia)
FIGURE 45 Lett: inner (cambial) face
of strip of bark removed from trunk in Figure 44. Pegs on the
cambial side of the mandarin bark fit into corresponding pits on
the stem. Right: longitudinal section of strip of bark shows the
presence of gum only in mandarin hark
FIGURE 46 Stunted, cachexia-affected
mandarin tree on sour orange rootstock (Talab orchard, Kassala,
the Sudan)
FIGURE 47 Trunk of stunted,
cachexiaaffected affected mandarin tree in Figure 46. Note bark
cracks above budunion. Such cracks are associated with severe
forms of cachexia. A sucker with typical sour orange leaves grows
out of the trunk well below bud-union, and identifies the
rootstock as sour orange
FIGURE 48 Scratching away outer
layers of bark from trunk shown in Figure 47 reveals very heavy
gum Impregnation of mandarin bark, but not sour orange bark.
Removal of piece of bark across bud-union reveals stem pitting
and staining of wood
FIGURE 49 Gum extends high up above
bud- union of the stunted, cachexia affected mandarin tree on
sour orange rootstock in Figure 46 and of similar mandarin trees
in the same orchard, illustrating the severity of the form of
cachexia involved
FIGURE 50 Trunk of cachexia-affected
mandarin tree on sour orange rootstock. Bark cracks above
budunion are similar to those in Figure 47 (Bakhit Addaussari
orchard, Bishah, Saudi Arabia)
FIGURE 51 Removal of a piece of bark
across bud-union of the trunk in Figure 50 shows the exposed
mandarin wood (left) to be studded with bristly pegs (inverse
stem pitting). The pin- or needle-like pegs fit into holes up to
1 mm in diameter on the inner (cambial) face of the mandarin bark
(pinholing, honeycombing) (right). Note gum impregnation of
mandarin bark
FIGURE 52 Front view of a mandarin
scion growing out of a sour orange trunk. Note cracking and
scaling of the mandarin bark. Removing the scales and scratching
away the outer lavers of bark reveal heavy gum impregnation of
the mandarin bark only. These symptoms are typical of cachexia.
The mandarin bud that was Initially grafted on the sour orange
seedling did not grow well and the sour orange seedling tree took
over. Today, the tree is essentially a sour orange seedling tree
with a lateral mandarin scion. The mandarin scion did not grow
well because it was infected with the cachexia agent as shown in
this figure and in Figure 53 (All Mohson Al Fakir orchard,
Zinjibar-Gaar area, southern Yemen)
FIGURE 53 Upper: longitudinal
section of strip of bark removed across bud-union shown in Figure
52. Note heavy gum in mandarin bark only. Lower: inner (cambial)
face of same strip of bark showing severe pinholing on mandarin
bark
FIGURE 54 Bark was removed from one
of the main branches of this dead mandarin tree on unrecorded
rootstock. Note extent of cachexia viroid-induced stem pitting on
scion but not on tolerant rootstock (Abdel Jalil orchard, Najran
area, Saudi Arabia)
FIGURE 55 Piece of bark removed from
the trunk of an old top-grafled tree. The initial tree was a
mandarin tree on sour orange rootstock; later, sweet orange was
topgrafted on the mandarin scion. Hence, the trunk of this tree
has two bud-unions: one between sour orange and mandarin, and a
second between mandarin and sweet orange. The mandarin portion of
the trunk is sandwiched between sour orange and sweet orange. The
tree is infected by the cachexia agent, but only the mandarin
portion shows (mild) bark gumming (left) and severe bark pegging
(right), as both sour orange and sweet orange are tolerant of the
cachexia agent (Finike, Turkey)
FIGURE 56 Yellowish lemon tree on
the right is on Citrus macrophylla rootstock; green tree (left)
is on sour orange. Dieback of shoots in top of tree is due to the
mal secco fungus. See also Figures 232 to 235 (Siano Experiment
Station, Jable, Syria)
FIGURE 57 Trunk of yellowish lemon
tree on Citrus macrophylla (see Figure 56). Removal of a piece of
bark across bud-union shows the tree to be affected by cachexia,
as indicated by bark gumming end pegging, and wood staining and
pitting of the cachexiasusceptible C. macrophylla rootstock.
There are no symptoms above bud-union on the lemon scion, as
lemon is tolerant of cachexia
FIGURE 58 Parson's Special mandarin
on Citrus volkameriana rootstock, graftinoculated with cachexia
agent. Note gumming at bud-union (Citrus Experiment Station,
Corsica)
FIGURE 59 Healthy Parson's Special
mandarin on Citrus volkameriana- no gumming (Citrus Experiment
Station, Corsica)
FIGURE 60 Trunk of young, gummy
barkaffected Valencia late sweet orange tree on sour orange
rootstock. Scratching away the outer layers of bark reveals the
presence of numerous brownish red flecks of gum in the
susceptible sweet orange bark but not in the symptomless,
tolerant sour orange rootstock bark (Agricultural Research
Centre, Rumais, Oman)
FIGURE 61 Trunk of adult, gummy
bark-affected Washington navel sweet orange tree on sour orange
rootstock with heavy gum impregnation of sweet orange bark, but
no gum in the rootstock bark (All Mohson Al Fakir orchard,
Zinjibar-Gaar, southern Yemen)
FIGURE 62 External face of scratched
piece of bark removed across bud-union of tree in Figure 61; bark
gumming affects only sweet orange bark
FIGURE 63 Inner (cambial) face of
piece of In sweet orange tree on sour orange rootstock - Figure
62 - removed across bud- union of gummy bark- affected showing
round, conoid pegging and some pinholing of sweet orange bark
FIGURE 64 Trunk of old, gummy bark
affected Valencia late sweet orange tree on sour orange rootstock
with mild bark gumming, but conspicuous stem pitting on sweet
orange above budunion (Antalya, Turkey)
FIGURE 65 Piece of bark from trunk
of old, gummy bark-affected Valencia late sweet orange tree on
sour orange rootstock In Figure 64 showing mild gumming and
conspicuous pegging of sweet orange bark
FIGURE 66 Trunk of gummy
bark-affected sweet orange tree on sour orange rootstock showing
heavy bark gumming high above bud- union but relatively mild stem
pitting (Awamia orchard, Syria)
FIGURE 67 Gummy bark-affected sweet
orange tree on unrecorded rootstock (probably sour orange),
showing severe dieback (Al Khader Hassan orchard, MudiaLawdar,
southern Yemen)
FIGURE 68 Trunk of gummy
bark-affected sweet orange tree on unrecorded rootstock in Figure
67 showing bark scaling on sweet orange immediately above
bud-union. As shown in Figure 69, sweet orange bark above
bud-union is heavily impregnated with gum. Bark scaling is often
observed in severe cases of gummy bark. Note also a phytophthora
lesion on the right above bud-union line
FIGURE 69 Trunk of the gummy
bark-affected sweet orange tree on unrecorded rootstock in Figure
67 after scratching away outer layers of bark to show presence of
gum only in sweet orange bark, and removal of a piece of bark
across bud. union to show presence of needle. like pegs only on
sweet orange stem (inverse stem pitting)
FIGURE 70 External face of piece of
bark removed from trunk in Figure 69 showing heavy gumming of
sweet orange bark above bud-union, and no symptoms on rootstock
bark
FIGURE 71 Inner (cambial) face of
piece of bark showing pronounced pinholing of sweet orange bare
These holes correspond to the needle-like pegs on the sweet
orange stem shown In Figure 69
FIGURE 72 Declining adult Valencia
late sweet orange tree on unrecorded rootstock affected by gummy
bark (Mudia nursery, southern Yemen)
FIGURE 73 Trunk of declining adult
Valencia late sweet orange tree in Figure 72. Scratching away
outer layers of across budunion reveals many conspicuous streaks
of gum in the sweet orange bark, but also some less conspicuous
ones in the rootstock bark. Removal of a piece of bark across
bud-union has revealed presence of stem pitting on both sweet
orange scion and rootstock, similar to that shown in Figure 74.
Note cracks in rootstock bark
FIGURE 74 Trunk of a declining,
gummy barkaffected Valencia late sweet orange tree on unrecorded
rootstock with bud-union crease, bark splitting at bud-union and
vertical bark cracks. Removal of a strip of bark reveals severe
stem pitting on rootstock, mild on sweet orange (El Hayed
orchard, MudiaLawdar, southern Yemen)
FIGURE 75 Right: Inner (cambial)
face of strip of bark removed from trunk in Figure 74, showing
pinholing of sweet orange bark and conspicuous pegs on rootstock
bark. Left: longitudinal section of strip of bark showing
bud-union crease, and appreciable gum impregnation of rootstock
bark as compared to sweet orange bark. On the basis of the
symptoms shown by the rootstock of tree in Figure 74, the
rootstock is probably rough lemon. The symptomless rootstock of
the trees in Figures 60, 64, 66 and 68 is probably sour orange
FIGURE 76 One of several declining
sweet orange trees on unrecorded rootstock. Note on the right a
shoot growing from a root. The leaves on this shoot are very
similar to those of rough lemon. Hence, rootstock is very
probably rough lemon (Al Sagifa Abduraba Golan orchard, Harib,
northern Yemen)
FIGURE 77 Trunk of declining sweet
orange tree on unrecorded roostock In Figure 76. Note bud-union
crease. Cambial tree of piece of bark removed across bud-union is
shown on right and presents conspicuous pegging on rootstock bark
and mild pinholing on sweet orange bark. The exposed wood shows
bud-union crease, pitting on rootstock stem and pin-like pegs on
sweet orange stem
FIGURE 78 A piece of bark from trunk
in Figure 76 showing mild but clear-cut gum impregnation of both
sweet orange and rootstock bark. Symptom shown here and in Figure
77 identifies the disease affecting the sweet orange tree in
Figure 76 and similar trees in the same orchard as gummy bark
FIGURE 79 Strip of bark from a
"sandwich" mandarin tree. The initial sweet orange tree
on sour orange was top grafted with mandarin. The tree is
effected by gummy bark, the symptoms of which (gum impregnation
of the bark and bark pegging) are shown on the susceptible
"sandwich" sweet orange bark, but not on the gummy
barktolerant sour orange and mandarin barks. Compare also with
Figure 55 (Mauza, northern Yemen)
FIGURE 80 Upper part of the trunk of
a 20-year-old Foster grapefruit tree on sour orange rootstock.
Bark of the grapefruit scion showed gumming above bud-union.
Removing a strip of bark and scratching away the outer layers of
bark from below bud-union up to 2 m above budunion revealed (in
places taint) gumming (Eastern Government nursery, Kassala, the
Sudan)
FIGURE 81 Strip of bark removed
across bud-union (white line) of tree in Figure 80. Note pegs on
cambial face of grapefruit bark as well as presence of gum
(arrow) in grapefruit bark, but no symptoms on sour orange
rootstock bark
FIGURE 82 Upper: longitudinal
section of a strip of bark removed across bud union of a Marsh
seedless grapefruit tree on unrecorded rootstock (sour orange or
acid lime). Note presence of gum only in the grapefruit bark.
Lower: inner, cambial face of strip of bark showing pegging on
both grapefuit and rootstock bark (Mustapha Osman orchard,
Atbara, the Sudan)
FIGURE 83 Sanguinella sweet orange
tree showing severe bark scaling on the Poncirus trifoliata
rootstock due to the exocortis viroid (Kotra Experiment Station,
Mazandaran province, Iran)
FIGURE 84 Exocortis-free satsuma
tree on Poncirus trifoliata rootstock. The fact that the diameter
of the P. trifoliata rootstock trunk is larger than that of the
scion trunk is normal (Izmir, Turkey)
FIGURE 85 Lisbon lemon tree on
Rangpur lime rootstock. Bark scaling of the Rangpur lime
rootstock is due to exocortis viroids. In addition, phytophthora
gummosis is seen on the lemon scion above bud-union on the left.
Phytophthora invasion was probably favoured by exocortis bark
scaling which provides an entry point for the fungus (Zafarania,
Iraq)
FIGURE 86 Duncan grapefruit tree
top-grafted on Troyer citrange, selt-grafted on Cleopatra
mandarin. The figure shows the Cleopatra mandarin rootstock and
part of the Troyer citrange "sandwich". Clear-cut
symptoms of exocortis are seen on the susceptible citrange
sandwich, but not on the tolerant Cleopatra mandarin rootstock or
the grapefruit (not shown in the figure). Exocortis was probably
introduced into the tree with the exocortis-tolerant Duncan
grapefruit scion. Symptoms have shown up on the citrange, the
only susceptible species among the three partners of the tree
(Zafarania, Iraq)
FIGURE 87 Seven-year-old Bloodred
sweet orange tree on Troyer citrange rootstock. The tree is very
small for its age: it is affected by exocortis as shown by bark
scaling and cracking of the exocortis-susceptible rootstock
(Tarnab Agricultural Research Institute, Peshawar, Pakistan)
FIGURE 88 Local citron (Abaichy)
with bark scaling symptoms caused by exocortis viroids. Nearby
Eureka lemon trees show shell bark symptoms (shell bark is a
genetic disease-see Figure 258). Shell bark is characteristic of
old lines of Eureka lemon, which are known to carry the exocortis
viroids. It is also known that exocortis is mechanically
transmissible, especially to citrons. Hence, the presence of
exocortis in the citron tree shown could be due to transmission
of the viroid from the infected lemon trees to the citron by
pruning hors, scissors, knives, etc. Mechanical transmission of
exocortis viroid to tolerant species (orange, mandarin, etc.)
could also have occurred at Zafarania, but would not have been
noticed since such species are symptomless (Zafarania, Iraq)
FIGURE 89 The three citron twigs on
the right were from the tree in Figure 88; they show cracks and
yellow blotches typical of exocortis. The green twig on the left
is from a healthy citron
FIGURE 90 Etrog citron (cultivar
60-13) on Citrus volkameriana. Healthy control: right.
Graft-inoculated with exocortis viroid(s) inducing severe (left)
or moderate (middle) leaf epinasty (Citrus Experiment Station,
Corsica)
FIGURE 91 Young, soft sweet orange
leaf showing typical vein flecking symptoms. When the leaf is
shaded from direct sun and viewed against a bright background for
light to shine through the leaf, small spots or bands of lighter
colour than the rest of the leaf show up on, and adjacent to,
veins and veinlets. These flecks represent zones where
transmission of light through leaf is higher than for the rest of
the leaf. This so-called "vein flecking" may be general
over the entire leaf, as shown here, or may occur only on
portions of the leaf (see Figure 96). Tristeza virus induces vein
clearing on young, soft leaves of acid lime. Tristeza vein
clearing affects the actual veins or veinlets, not the zones
adjacent to the cleared veins or veinlets (see Figure 128).
Psorosis vein flecking affects the adjacent zones (Mubarak Al
Motlaba orchard, Najran, Saudi Arabia)
FIGURE 92 Young, soft sweet orange
leaf showing vein flecking as well as an oak-leaf pattern. This
pattern results from the fact that on both sides of the midvein,
certain zones do not show vein flecking. The line between these
inner zones without vein flecking, and the outer zones where vein
flecking occurs, are of a lighter colour and show up
conspicuously, suggesting the shape of an oak leaf, hence the
name oak-leaf pattern (Mubarak Al Motlaba orchard, Najran, Saudi
Arabia)
FIGURE 93 Young, soft sweet orange
leaf with vein flecking and oak-leaf pattern. Distinct,
individual flecks are few. Several have coalesced to form
conspicuous blotchy spots or bands. Vein flecking involves large
zones on both sides of the cleared veins and veinlets (Mubarak Al
Motlaba orchard, Najran, Saudi Arabia)
FIGURE 94 Young, soft sweet orange
leaf with conspicuous vein flecking and a narrow but clear-cut
oak-leaf pattern (Marsuk Ali Maheli orchard, Marib-Mukrab,
northern Yemen)
FIGURE 95 Young, soft sour orange
leaf with typical but mild win flecking and oak-leaf pattern. It
is well known that psorosis young leaf symptoms disappear as
leaves mature. This is probably the case here where the symptoms
shown by this leaf seem to fade away. The sour orange leaf was
from a sucker growing on the sour orange rootstock of a
three-yearold sweet orange tree, the leaves of which showed
psorosis young leaf symptoms (see Figure 92) (Mubarak Al Motlaba
orchard, Najran, Saudi Arabia)
FIGURE 96 Right: young, soft sweet
orange leaf with typical vein flecking at the tip of the leaf,
and a large "oak leaf" comprising the vein
flecking-free remaining lower part of the leaf (Marib, northern
Yemen). Left: young, soft navel sweet orange leaf with coalescing
flecks, especially near the midvein, suggestive of an oak-leaf
pattern (Citrus nursery, Ibb, northern Yemen)
FIGURE 97 Mature leaf symptoms of
psorosis B. Right: upper leaf surface. Left: lower leaf surface;
notice gum-impregnated eruptions (Los Mimbrabes orchard, Rocio,
Andalusia, Spain)
FIGURE 98 Typical scaly bark
psorosis symptoms on 30year-old Valencia late sweet orange scion
(A. Katsaris orchard, Phrenaros, Cyprus)
FIGURE 99 Sweet orange tree on sour
orange rootstock showing symptoms of scaly bark psorosis above
bud-union (Unaizah Agricultural Research Station, Saudi Arabia)
FIGURE 100 Sweet orange tree on sour
orange rootstock showing symptoms of scaly bark psorosis
immediately above bud-union. Note sour orange leaf, immediately
below bud-union (Unaizah Agricultural Research Station, Saudi
Arabia)
FIGURE 101 Sweet orange trunk
showing typical symptoms of popcorn. Small scales or flakes of
the outer bark loosen, break away, and finally drop, leaving the
small pustules uncovered (Al Sabahyia orchard, Mogadishu,
Somalia)
FIGURE 102 Trunk of 70 year-old
Shamoutl sweet orange tree on sour orange rootstock showing
typical symptoms of concave gum-blind pocket disease on the sweet
orange scion. Concave gum refers to large, open, concave
depressions or concavities, while blind pocket refers to deep
narrow depressions or pockets, the rims of which are relatively
close together. On this trunk, blind pockets can be seen
immediately above the budunion, while concave gum depressions
occur on the large limb on the left (Finike, Turkey)
FIGURE 103 Sweet orange trunk
showing concave gum symptoms (Mohamed Eberi Saad orchard, Al
Ramsa, Marib, northern Yemen)
FIGURE 104 Valencia late sweet
orange trunk showing concave gum symptoms (Marsuk Ali Maheli
orchard, Mukrab, Marib, northern Yemen)
FIGURE 105 Hamlin sweet orange trunk
showing concave gum symptoms (M. Ali Rabbash orchard,
MudiaLawdar, southern Yemen)
FIGURE 106 Trunk of navel sweet
orange tree on sour orange rootstock showing deep depressions
representative of concave gum, and streaks of gum in the sweet
orange bark, especially at bud-union line, representative of
gummy bark (Government orchard, Zalingei, the Sudan)
FIGURE 107 Mature leaves from
27-year-old Jafla sweet orange trees on sour orange rootstock.
The three leaves on the left are from a normal tree; the three
leaves on the right come from a neighbouring tree, whose leaves
show crinkling and distortion, indicating that the tree is
infected by the infectious variegation-crinkly leaf virus
(Phassouri orchard, Limassol, Cyprus)
FIGURE 108 Upper: normal fruit from
healthy Jaffa sweet orange tree. Lower: bumpy fruits from the
infectious variegation-crinkly leaf virusinfected tree in Figure
107
FIGURE 109 Trunk of mandarin tree on
sour orange rootstock. Bud-union can be seen at upper part of
trunk (see also Figure 112). The small concavities on the sour
orange rootstock are representative of cristacortis (Hammam Ali,
northern Yemen)
FIGURE 110 Trunk in Figure 109 after
removal of a strip of bark. Comparison of trunk before (Figure
109) and after (this figure) removal of bark shows that the
concavities seen in Figure 112 correspond to pits in the stem
(Hammam Ali, northern Yemen)
FIGURE 111 Pegs on the inner
(cambial) face of the strip of bark removed from trunk in Figure
109. These pegs are characteristic of cristacortis and match the
pits of the stem | (compare Figure 110) Hammam Ali, northern
Yemen)
FIGURE 112 Trunk of mandarin tree on
sour orange rootstock in Figure 109. Close-up of bud-union region
after removal of strip of bark. Longitudinal section of strip of
bark is shown on left. The exposed wood shows cristacortis stem
pitting below bud-union and cachexia stem pitting above budunion.
Cachexia infection of the tree is confirmed by presence of gum in
the susceptible mandarin bark, but not in the tolerant sour
orange bark. Mandarin is also susceptible to cristacortis, but
the mandarin parts of the trunk shown in Figure 109 and this
figure appear to be free of cristacortis symptoms (Hammam Ali.
northern Yemen)
FIGURE 113 Pits in sour orange stem
(right) and corresponding pegs on cambial face of bark (left) are
diagnostic of cristacortis. Note gum-like material in the bottom
of pits (Mauza, northern Yemen)
FIGURE 114 Lemon tree of Egyptian
origin on sour orange rootstock. Figure shows sour orange
rootstock near soil level. Note small depressions within incised
bark. These depressions suggest cristacortis (see Figure 115)
FIGURE 115 Trunk in Figure 114 after
stripping off the patch of bark corresponding to incision in the
latter figure. Pits in the sour orange stem corresponding to pegs
in the bark are diagnostic of cristacortis (Citrus nursery, Ibb,
northern Yemen)
FIGURE 116 Upper figure:
impietraturaaffected orange showing a green zone where normal
colour development has failed to occur. Gum pockets are located
underneath such zones. Lower figure: slicing away the outer parts
of the albedo at the green zones reveals gum pocket in
impietratura-affected sweet orange (Adana, Turkey)
FIGURE 117 Sectioned sweet orange
showing impietratura-induced gum pocket in albedo (Emir Nasser
Ben Sehmi orchard, Turabah area, Saudi Arabia)
FIGURE 118 Normal Owari satsuma
shoot on left; satsuma dwarf-affected satsuma shoot on right with
spoon- or boat-shaped leaves (Izmir, Turkey)
FIGURE 119 Lemon leaves photographed
with transmitted light to show yellow vein clearing (Perwaiz Klan
orchard, Sihala, Pakistan)
FIGURE 120 Close-up of Eureka lemon
leaves showing yellow vein clearing. The symptoms essentially
affect the lateral veins, rather than the midveins. The yellowing
may extend into the tissue adjacent to the veins. Most often
lateral veins are not uniformly affected (Faisalabad Agricultural
Research Institute, Pakistan)
FIGURE 121 Close-up of Lisbon lemon
leaves showing yellow vein clearing (Horticultural Research
Station, Sahiwal, Pakistan)
FIGURE 122 Yellow vein
clearing-affected Eureka lemon leaves. Lemon leaves with yellow
vein clearing are sometimes crinkled and/or boat. shaped
(Faisalabad Agricultural Research Institute, Pakistan)
FIGURE 123 Symptoms of ring pattern
leaf of local sweet orange tree graft-inoculated with the disease
agent (Citrus Station, Khorram Abad, Iran)
FIGURE 124 Symptoms of ring pattern
on leaf and fruit of a Clementine tree graft-inoculated with the
disease agent (Khoshkeh-Daran Laboratory for Virus Diseases and
Pests, Tonekabon, Iran)
FIGURE 125 Sweet orange shoot from a
field tree showing various types of ringspot symptoms on mature
leaves: yellow spots, vein clearing and flecking, irregular
chlorotic blotches (Adana, Turkey)
FIGURE 126 Close-up of a sweet
orange leaf from shoot of field tree showing various types of
ringspot symptoms in Figure 125 with irregular yellow spots, vein
clearing and flecking
FIGURE 127 Ringspot pattern on
Washington navel sweet orange (Realengo orchard, Rafelguaraf,
Valencia province, Spain)
FIGURE 128 Young, soft leaves of
small-fruited acid lime tree showing tristeza virus-induced vein
clearing symptoms. To see vein clearing, the leaf should be
shaded from direct sunlight and viewed against a bright
background for light to shine through the leaf. Vein clearing
means that, under these viewing conditions, certain parts of the
veins or veinlets have a lighter colour than the rest. The
lighter colour is restricted to the veins or veinlets and does
not extend out of the vein. Vein clearing on acid lime leaves is
diagnostic of tristeza. With psorosis young leaf symptoms (see
Figures 91 to 96), vein flecking affects not only veins and
veinlets themselves but also the adjacent tissues
FIGURE 129 Left cambial face of
strip of bark removed across bud-union of severely stunted,
tristeza-affected Owari satsuma tree on sour orange rootstock.
Note conspicuous pinholing of sour orange bark immediately below
bud-union. Exposed wood shows bristly pegs (inverse stem pining)
fining into the pinholes of the bark. Sour orange bark pinholing
and inverse stem pining are characteristic but not specific to
tristeza, as stubborn-affected trees, for instance, may show the
same symptoms (Ecref-Seymen orchard, Misis area, Turkey)
FIGURE 130 Frost Valencia late sweet
orange tree on small-fruited acid lime rootstock. Note woody
galls on the lime rootstock (Citrus Collection, Minab, Iran)
FIGURE 131 Local mandarin tree on
Bakravi (small-fruited, acid lime x mandarin) rootstock. Note
conspicuous woody galls immediately below bud-union on the
Bakravi rootstock (Abbes Abad orchard, Jiroft, Iran)
FIGURE 132 Sweet orange tree on
sweet lime rootstock. Gum-impregnated budunion line is revealed
by scraping away the outer layers of bark (Emir Meteb orchard,
Buraidah area, Saudi Arabia)
FIGURE 133 Twenty-two-year-old
Bloodred sweet orange tree on rough lemon rootstock showing
severe bud-union crease. The bud-union shows a pronounced bulge
or protrusion with a rough, uneven surface, forming a prominent
collar or fissure of eruptive bark encircling the trunk (upper
view). Bark breaks easily at constricted budunion line, revealing
gum deposits at union (lower view) (Nasar Ullah Khan orchard,
Sargodha, Pakistan)
FIGURE 134 Bud-union crease on Jaffa
sweet orange tree grafted on rough lemon rootstock (Kaiser Omar
orchard, Awbarkadle, Hargeisa, Somalia)
FIGURE 135 Bud-union crease on sweet
orange tree on unrecorded rootstock, but probably rough lemon.
Note collar of eruptive bark encircling the trunk at budunion.
Removal of piece of bark shows that wood at union line is
invaginated with corresponding pegs or projections on the inner
surface of the bark. There is also gum impregnation of bark at
bud-union (Mohamed Al Shumaymri orchard, Unaizah area, Saudi
Arabia)
FIGURE 136 Early stage of witches'
broom disease on small-fruited acid lime tree. Tree still appears
normal, except for a witches' broom that has suddenly appeared.
Early witches' brooms are perceptible by their dense foliage and
their slightly pale green colour (All Bin Musbeh Said Al Badi
orchard, Sohar, Omen)
FIGURE 137 A more advanced stage of
witches' broom disease. Part of the canopy still has normal
leaves, but many witches' brooms have appeared (Mohamed Ali
Roufeli orchard, Liwa, Oman)
FIGURE 138 Advanced stage of
witches' broom disease on small-fruited acid lime tree.
Practically no normal shoots and leaves are left. Several
witches' brooms have died; on some, the dead leaves are still
present; on others they have dropped, exposing the dead shoots
(Mohamed Ali Roufeli orchard, Lima, Oman)
FIGURE 139 Late stage of witches'
broom disease on small-fruited acid lime tree. The tree is almost
dead, except for a few witches' brooms (Mohamed Ali Roufeli
orchard, Liwa, Oman)
FIGURE 140 Shoots of small-fruited
acid lime. From right to left: shoot, except for some salt burn
symptoms at the tip of the leaves; shoot from a very early
witches' broom (leaves are still relatively large and internodes
are quite long); well-developed witches' broom with compact
foliage, small leaves, short internodes; dead witches' broom with
dry leaves still attached to shoots (Salem Hamdan Al Amri
orchard, Shines, Oman)
FIGURE 141 Troyer citrange seedling
graftinoculated with a witches' broom-effected lime shoot. The
grafted lime shoot can be seen in the lower right hand corner of
the figure. Immediately above the grafted lime shoot, a citrange
shoot has developed and shows very small, pale yellow green
leaves and short internodes. Electron microscopy and
immunofluorescence have detected the witches' broom MLO in the
phloem of the affected citrange leaves (INRA, Bordeaux)
FIGURE 142 Witches' broom disease on
periwinkle (Catharanthus roseus) seedling inoculated through
dodder (Cuscuta campestris) strands connecting a witches"
broom-affected lime seedling to the periwinkle plant. In
comparison with normal periwinkle shoots and leaves still present
in the lower part of the plant, affected parts are characterized
by the growth of many frail, whitish axillary shoots, minute
leaves and virescent flowers (not shown) (INRA, Bordeaux)
FIGURE 143 Longitudinal thin section
through midvein of witches" broomaffected periwinkle
Catharanthus roseus leaf. MAs developed against the witches"
broom MLO have been used to detect the MLOs by
immunofluorescence. When viewed under ultraviolet light, the MLOs
present in the phloem are detected by a greenish-yellow
fluorescence on a red background of plant tissue (INRA, Bordeaux)
FIGURE 144 Twenty-year- old
Washington navel sweet orange tree on sour orange rootstock
severely affected by stubborn. Tree was number 2 on row 8, hence
the designation R8A2 ("A" stands for arbre, the French
for "tree"). The strain of Spiroplasma citri isolated
from this tree was designated as "Maroc R8A2" and Is
the type strain 015. citri) (Gontard orchard, Beni Mellal,
Morocco)
FIGURE 145 Inner (cambial) face of
piece of bark removed across bud-union line of stubborn-affected
tree R8A2 In Figure 144. Note conspicuous pinholing or
honeycombing on the sour orange bark below bud-union. Similar
pinholing Is also seen In the case of tristeza-affected sweet
orange trees on sour orange rootstock. Here pinholing Is due to
stubborn disease, not tristeza (indexing showed the tree to be
free of tristeza virus). In tact, pinholing of sour orange bark
is specific to neither tristeza nor stubborn; it is seen on
suffering, stressed trees, whatever the cause of the stress (see
also Figure 129)
FIGURE 146 Normal, six-year- old
local sweet orange tree on small- fruited acid lime rootstock
(Moïn orchard, Bab Anar, Khafr, Fars province, Iran)
FIGURE 147 Six-year-old local sweet
orange tree on smallfruited acid lime rootstock showing classical
symptoms of severe stubborn disease: stunting; roundheaded
canopy; absence of new shoots; dense, bushy type of growth;
shoots with short internodes; small, spoonshaped leaves; leaf
mottle; poor crop; fruit drop (Moïn orchard, Bab Anar, Khafr,
Fars province, Iran)
FIGURE 148 Ten-year-old Washington
navel sweet orange tree on sour orange rootstock with severe
symptoms of stubborn disease. Note in particular the tendency of
shoots to be oriented in one direction, off-season blooming and
presence of fruits of all ages and sizes (see also Figure 149)
(Toukatly orchard, Saleh Basatine, Syria)
FIGURE 149 Close up of
stubbornaffected Washington navel sweet orange tree on sour
orange rootstock to show offseason blooming and heterogeneity of
crop, ranging from young green fruit to fullsized orange fruit
(Toukatly orchard, Saleh Basatine, Syria)
FIGURE 150 Close up of
stubborn-affected Washington navel sweet orange tree on sour
orange rootstock to show spoonshaped leaves with yellowish
midveins. Nob also that leaves at tip of shoots tend to form
rosettes (Toukatly orchard, Saleh Basatine, Syria)
FIGURE 151 Normal four-yearold
Atwood navel sweet orange tree on sour orange rootstock (Siano
Experiment Station, Jable, Syria)
FIGURE 152 Stunted,
stubbornaffected, four-year-old Atwood navel sweet orange tree on
sour orange (Siano Experiment Station, Jable, Syria)
FIGURE 153 Shoot from four year-old,
stubborn-affected Washington navel sweet orange tree on sour
orange rootstock, showing leaves with mottle and pale green to
yellow tips and margins, characteristic of stubborn (Citrus
office, Amrit, near Tartus, Syria)
FIGURE 154 Stubborn-affected sweet
orange leaves showing typical stubborn mottle. Some leaves are
spoon-shaped with blunt tips. Spiroplasma citri was cultured from
these leaves (Adana, Turkey)
FIGURE 155 Leaves of a Valencia late
sweet orange tree on Poncirus trifoliata rootstock affected
stubborn as shown by culture of Spiroplasma citri from fruit of
this tree in Bordeaux. S. citri often induces yellow tips and
margins on leaves as shown In this figure (Kotra Experiment
Station, Mazandaran province, Iran)
FIGURE 156 In Iraq summers are very
hot, winter can be cold. Citrus is mainly grown in the shade of
date-palm trees for protection against heat and cold. Expression
of stubborn disease is affected by these conditions (Dorah, Iraq)
FIGURE 157 Mahali sweet orange trees
on sour orange rootstock in a palm-shaded orchard.
Stubbornaffected tree on left; normal tree on right. The affected
tree is of a lighter colour, especially in the top. Fruits are
very small and contain many aborted seeds. Leaves are mottled,
but only rarely spoonshaped with blunt tips. Bushy type of growth
is also rare (Aboud El Neimi orchard, Rachidiva area. Iraq)
FIGURE 158 Mottled Mahali sweet
orange leaves of the stubborn-affected tree in Figure 157
FIGURE 159 Leaves grown under high
temperature conditions. They show blunting of leaf tips,
shortening of midribs (resulting in cordate leaves), lateral
veins running parallel to midrib or leaf margins (resulting in
palmate leaves). However, leaves remain uniformly green without
yellow tips or margins (Dijab Mhisan open orchard, Dorah-Um
Elasafir, Iraq)
FIGURE 160 These Valencia late sweet
orange leaves show the effect of heat: they are palmate, i.e.
their lateral veins run more or less parallel to a (reduced)
midrib. In addition, they show stubborn symptoms: pale green to
yellow, pinched-in tips. Such leaves are frequent on
stubborn-affected sweet orange trees in Iraq And Iran (Courtesy
of C. N. Rolstacher, Riverside California)
FIGURE 161 Palmate leaves with
yellow, pinched-in tips from a stubbornaffected Mahali sweet
orange tree on sour orange rootstock. Spiroplasma citri was
cultured from this tree (Aboud El Neimi shaded orchard,
Rachidiya, Iraq)
FIGURE 162 Mahali sweet orange
shoots. Left: normal. Right: stubbornaffected shoot with pale
green, palmate leaves showing pinched-in, yellow tips (Aboud El
Neimi shaded orchard, Rachidiya, Iraq)
Contents
-
Previous - Next